Volume 54 - Issue 1 - January 2014

Consultant

cyst
cyst
01/23/2014
Dhyan Rajan, MD; Robin Jacob, MD; Mahreema Jawairia, MD; Asif Lakhani, MD; Sadat Rashid, MD; Paul Mustacchia, MD
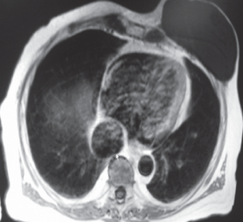
A 43-year old female with a history of autosomal dominant polycystic kidney disease (ADPKD) presented to the emergency room with a gradual onset of right upper quadrant abdominal pain for the past 7 days. ...
01/23/2014
renal failure
renal failure
01/23/2014
Parham Eftekhari, DO; Julietta Militello, DO; Aaron B. Heath, DO; Kevin Weiss; Natasha Bray, DO; Naomi Montague, MD; Guillermo A. Herrera, MD
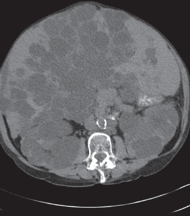
A 26-year-old Caucasian male with no past medical history presented to the emergency department with increasing abdominal pain, vomiting, and polydipsia.
01/23/2014
renal failure
renal failure
01/23/2014
Parham Eftekhari, DO; Julietta Militello, DO; Aaron B. Heath, DO; Kevin Weiss; Natasha Bray, DO; Naomi Montague, MD; Guillermo A. Herrera, MD
A 26-year-old Caucasian male with no past medical history presented to the emergency department with increasing abdominal pain, vomiting, and polydipsia.
01/23/2014
renal failure
renal failure
01/23/2014
Parham Eftekhari, DO; Julietta Militello, DO; Aaron B. Heath, DO; Kevin Weiss; Natasha Bray, DO; Naomi Montague, MD; Guillermo A. Herrera, MD
A 26-year-old Caucasian male with no past medical history presented to the emergency department with increasing abdominal pain, vomiting, and polydipsia.
01/23/2014
diarrhea
diarrhea
01/23/2014
Arpan Patel, MD, PGY-1; Alex Rico, MD; David Swoboda, MS
A 41-year-old Venezuelan male with history of HIV, not currently on HAART, presents to the emergency department with nausea, vomiting, diarrhea, and abdominal cramps for 2 weeks.
01/23/2014
herpes
herpes
01/23/2014
David L. Kaplan, MD
A 16-year-old male has broken out like this 4 times over the last year.
01/23/2014
Mycosis Fungoides
Mycosis Fungoides
01/23/2014
David L. Kaplan, MD
A 50-year-old female presented for evaluation of a 10-year history of an itchy rash that failed to respond to topical and systemic steroids.
01/23/2014
keratodema
keratodema
01/23/2014
David L. Kaplan, MD
A 57-year-old female presented for evaluation of asymptomatic bumps on her palms and soles.
01/23/2014
Hepatitis C
Hepatitis C
01/23/2014
Ronald N. Rubin, MD
Man with cirrhosis of the liver due to hepatitis C was diagnosed via a liver biopsy.
01/23/2014
vision
vision
01/23/2014
Jon Dylan Girard, MD
Horner’s syndrome is a result of disruption of sympathetic input from the stellate ganglion resulting in ipsilateral myosis, ptosis, and anhidrosis.
01/23/2014
01/23/2014
Gregory W. Rutecki, MD
This months’ Top Paper presents a rational, evidence-based examination for rotator cuff injuries.
01/23/2014
retrocardiac mass
retrocardiac mass
01/23/2014
Bisrat Haile, MD; Orlando Carpio, MD; Sameh Abdelaal, MD; Rafael Ilyayev, MD; Rajat Mukherji, MD
A 73-year-old female, nursing home resident, with a past medical history of dementia and breast cancer, was found to have a significant weight loss over a period of 5 months associated with poor appetite. ...
01/23/2014
adenocarcinoma
adenocarcinoma
01/23/2014
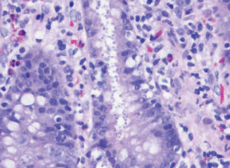
A collection of photo-based articles centered on adenocarcinoma and its accompanying comorbidities.
01/23/2014
appendicitis
appendicitis
01/23/2014
David Effron, MD; Maya C. Myslenski, MD
An 8-year old previously healthy boy presents to your office with a poor appetite, nausea, vomiting, and intermittent abdominal pain.
01/23/2014
cyst
cyst
01/23/2014
Nishit Patel, MD; Greg Dupuis, MD; Robert Wild, MD, PhD, MPH
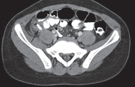
A 17-year-old girl with a recently discovered ovarian cyst was referred to the emergency department (ED) by her primary care provider.
01/23/2014
asthma
asthma
01/20/2014
This article will focus on the benefits and applications of acupressure in family primary care settings.
01/20/2014
Diabetes Q&A
Diabetes Q&A
01/20/2014
Kim A. Carmichael, MD, FACP; Paulina Cruz, MD
Insulin is generally recommended as a second-line therapy when non-insulin agents alone or in combination at maximal tolerated doses fail to achieve glucose targets within a 3 to 6 month period.
01/20/2014
sporotrichosis
sporotrichosis
01/16/2014
Precise identification of S schenckii requires histopathological assessment conducted with periodic-acid Schiff staining. The accepted treatment of sporotrichosis varies around the world—from potassium...
01/16/2014
Feature
Feature
01/15/2014
Edward Shahady, MD
This article reviews the epidemiology, cost, stages, screening, prevention strategies, and treatment options for patients with diabetes and CKD.
01/15/2014
Feature
Feature
01/15/2014
Edward Shahady, MD
This article reviews the epidemiology, cost, stages, screening, prevention strategies, and treatment options for patients with diabetes and CKD.
01/15/2014
Feature
Feature
01/15/2014
Edward Shahady, MD
This article reviews the epidemiology, cost, stages, screening, prevention strategies, and treatment options for patients with diabetes and CKD.
01/15/2014
Primary Care
Primary Care
01/15/2014
Dean G. Gianakos, MD, FACP
In college, I remember being conflicted about becoming a doctor. Competitive, pre-medical students made me anxious—they seemed to know exactly what they wanted to do and where they wanted to go in life. ...
01/15/2014
CONSULTANT
CONSULTANT
01/15/2014
The start of a new year brings with it new beginnings and here, at Consultant, we’re ready for 2014
01/15/2014