Volume 52 - Issue 6 - June 2012

Consultant

contact dermatitis
contact dermatitis
06/07/2012
David L. Kaplan, MD
<p><img src="/sites/default/files/1206Con_DC_C4_0.jpg" alt="Contact dermatitis" title="Contact dermatitis" width="90" height="90"...
06/07/2012
Tinea pedis
Tinea pedis
06/07/2012
David L. Kaplan, MD
<p>An itchy, blistering eruption on the side of a 67-year-old woman’s foot has worsened during the past 2 weeks. She has never had athlete’s foot and has not recently purchased new shoes.</p> ...
06/07/2012
Tinea capitis
Tinea capitis
06/07/2012
David L. Kaplan, MD
<p class="p1"><img src="/sites/default/files/1206Con_DC_C2.jpg" alt="Tinea capitis" title="Tinea capitis" width="90" height="90"...
06/07/2012
Folliculitis
Folliculitis
06/07/2012
Robert P. Blereau, MD
<p class="p1"><img src="/sites/default/files/1206Con_PCFolliculitis_0.jpg" width="90" height="90" style="float: left; margin: 5px;">Erythematous...
06/07/2012
eruptive xanthomas
eruptive xanthomas
06/07/2012
Joe R. Monroe, PA-C, MPAS, PA
<p><img src="/sites/default/files/1206Con_PCXanthoma_0.jpg" width="90" height="90" style="float: left; margin: 5px;">These pruritic papules of acute onset...
06/07/2012
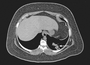
pulmonary arteriovenous malformations
pulmonary arteriovenous malformations
06/07/2012
Hetal Thakore, MD; Farhan Maqsood, MD
<p class="p1"><img src="/sites/default/files/1206Con_PCPulmoAVM_0.jpg" width="90" height="90" style="float: left; margin: 5px;">Progressive...
06/07/2012
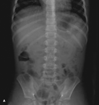
trichobezoars
trichobezoars
06/07/2012
La Donna J. Johnson, MD; Poonam Mahajan, MD
<p><img src="/sites/default/files/1206Con_PCTrichobez_A_0.jpg" width="85" height="90" style="float: left; margin: 5px;">For the second time in a week, a...
06/07/2012
Biopsy
Biopsy
06/07/2012
Thomas J. Zuber, MD, MPH
<p><strong><img alt="" height="90" src="/sites/default/files/Screen%20shot%202012-06-07%20at%2011.25.40%20AM.png" style="float:left"...
06/07/2012
Wounds
Wounds
06/07/2012
Sharon A. Aronovitch, PhD, RN, ACNS-BC, CWOCN-AP
When wounds become chronic—ie, have not proceeded expediently through the four stages of healing and/or have languished for 3 months or more, usually “stuck” in the inflammatory or proliferative phase—a...
06/07/2012
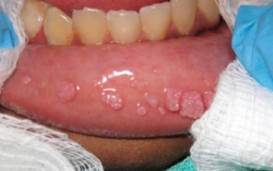
Oral Lesions
Oral Lesions
06/07/2012
Alexander K.C. Leung, MD, MBBS, FRCPC, FRCP; Stamatia Alexiou, MD; Gary Griffin, MD; Brett Laggan, DDS; James J. Burns, MD, MPH
A 10-year-old African American boy with lumps in the mouth for the past 2 years. The lesions had increased in size and number.
06/07/2012
Feature
Feature
06/07/2012
William Lawson, MD, DDS
Erythroplakia requires biopsy followed by wide local excision, since about 50% of these lesions represent invasive carcinomas.
06/07/2012
Sun Exposure
Sun Exposure
06/05/2012
<p>An assortment of cases documenting the consequences of sun exposure, including basal cell carcinoma, solar elastosis, and actinic keratoses.</p>
06/05/2012
Cancer
Cancer
06/05/2012
About 68% of Americans who receive a diagnosis of cancer live longer than 5 years.
06/05/2012
Q&As
Q&As
06/05/2012
Edward Shahady, MD; Tara Dall, MD; Steven Milligan, MD
<p>As the chair for the Cardiometabolic Risk Summit, which will be held this coming September in Las Vegas, I am very excited about this meeting and our partnership...
06/05/2012
acute cholecystitis
acute cholecystitis
06/05/2012
Ronald N. Rubin, MD
<p>A 50-year-old woman is hospitalized after she presents with abdominal pain. The pain is episodic and is located in the epigastric area and toward the right upper quadrant (RUQ). It awakened her...
06/05/2012
backache
backache
06/05/2012
Zacharia Isaac, MD; Bamidele Adeyemo, MD
<p><strong>ABSTRACT:</strong><strong> </strong>The vast majority of episodes of low back pain have musculoskeletal causes and resolve on their own, although recurrence is...
06/05/2012
06/05/2012
Gregory W. Rutecki, MD
When discussing type 2 diabetes mellitus, there is good news and bad news. The good news is that the armamentarium for treatment has been growing with recent potent additions. The incretins have...
06/05/2012
Primary Care
Primary Care
06/05/2012
Edward Shahady, MD
<p><img alt="" height="90" src="/sites/default/files/1206Con_GCShahady_Tb.gif" style="float:left" width="90" />Primary care clinicians view...
06/05/2012