Volume 52 - Issue 3 - March 2012

Consultant

pityriasis rubra pilaris
pityriasis rubra pilaris
03/13/2012
Joe R. Monroe, PA-C, MPAS, PA
<p><img src="/sites/default/files/images/1203Con_PC_Pityriasis.jpg" alt="Pityriasis Rubra Pilaris " width="90" height="90" style="float: left; margin:...
03/13/2012
Photoclinic
Photoclinic
03/13/2012
Kathleen B. Elmer, MD
For 2 months, a pruritic rash had been present on the upper back of a 48-year-old woman with a 1-year history of chronic myelogenous leukemia and a 2-year history of hepatitis C.
03/13/2012
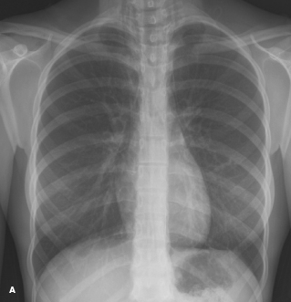
spontaneous pneumomediastinum
spontaneous pneumomediastinum
03/13/2012
Lisa M. Clewner, MD
<p><img src="/sites/default/files/images/1203Con_PCPneumo_A.jpg" alt="Spontaneous Pneumomediastinum" width="90" height="90" style="float: left; margin:...
03/13/2012
carbohydrate counting
carbohydrate counting
03/13/2012
Bithika Thompson, MD; Kim A. Carmichael, MD, FACP
<p><img src="/sites/default/files/images/1203Con_DQACarbs_Fg_thumb.jpg" width="90" height="90" style="float: left; margin: 5px;">Carbohydrate counting...
03/13/2012
Elderly Patients
Elderly Patients
03/13/2012
Hani Raoul Khouzam, MD, MPH
ABSTRACT: Depression could affect people at any age; however, it may have a different presentation in the elderly. It can be easily overlooked, misdiagnosed, or considered a natural consequence of aging,...
03/13/2012
unicameral bone cyst
unicameral bone cyst
03/13/2012
Gregory F. Hayden, MD; Nathan T. Cohen, MD, BS; Mark J. Romness, MD
<p>A 9-year-old boy presents with a 10-day history of left leg pain and limp. The pain waxes and wanes, and it increases with ambulation. The limp worsens with activity. The boy plays soccer but has...
03/13/2012
food allergy
food allergy
03/13/2012
Patients often attribute an adverse reaction to food contaminants to “food allergy,” but a true food allergy is hypersensitivity triggered by the immune system.
03/13/2012
tremors
tremors
03/13/2012
<p>Although estimates of its prevalence vary widely, essential tremor is one of the most common neurologic disorders in adults.<sup>1,2</sup> It may be up to 20 times more...
03/13/2012
Nevus
Nevus
03/13/2012
Test your diagnostic acumen with 7 cases of nevi. Can you identify them all?
03/13/2012
hepatorenal syndrome
hepatorenal syndrome
03/12/2012
Gregory W. Rutecki, MD
<p>The combination of acute/subacute renal failure in the setting of cirrhosis can be caused by many factors, but one entity—hepatorenal syndrome (HRS)—is the most serious, with a prohibitive...
03/12/2012
Wounds
Wounds
03/12/2012
Chronic wounds are notorious for copious exudate production. Too much exudate can inhibit wound repair and cause periwound maceration because chronic wound fluid can break down extracellular matrix proteins...
03/12/2012
keratosis
keratosis
03/12/2012
Noah S. Scheinfeld, MD, JD
<p class="p1"><span class="s1"><strong><img src="/sites/default/files/images/Screen%20shot%202012-03-12%20at%203.57.33%20PM_0_thumb.png"...
03/12/2012
Peer Reviewed
Peer Reviewed
03/12/2012
Ronald N. Rubin, MD
<p>Hepatitis C virus (HCV) infection was recently diagnosed in an asymptomatic 53-year-old African American fireman. He had applied for a new life insurance policy prior to retirement some months...
03/12/2012
Granuloma Annulare
Granuloma Annulare
03/12/2012
David L. Kaplan, MD
<p class="p1"><img src="/sites/default/files/1203Con_DC_C4_0.jpg" alt="granuloma annulare" width="90" height="90" style="float: left; margin:...
03/12/2012
Basal cell carcinoma
Basal cell carcinoma
03/12/2012
David L. Kaplan, MD
<p class="p1">During a general skin examination, a lesion is noted on the chest of a 44-year-old man. The patient was completely unaware of this erythematous, scaly patch and is unable to...
03/12/2012
diabetic dermopathy
diabetic dermopathy
03/12/2012
David L. Kaplan, MD
<p><img src="/sites/default/files/1203Con_DC_C2.jpg" alt="diabetic dermopathy" style="float: left; margin: 5px;" height="90" width="90">A...
03/12/2012
candidiasis
candidiasis
03/12/2012
David L. Kaplan, MD
<p class="p2"><span class="s1"><strong><img src="/sites/default/files/images/1203Con_DC_C1.jpg" width="90" height="90"...
03/12/2012
nickel hypersensitivity
nickel hypersensitivity
03/12/2012
Elaine T. Kaye, MD; Alexander K.C. Leung, MD, MBBS, FRCPC, FRCP; Alex H.C. Wong, MD; Carolyn F. Sax, MD; Elisabeth K. DiPietro, MD
<p>A 10-year-old boy was brought for evaluation of a spreading, intensely pruritic erythroderma of 6 days’ duration. The mother, a nurse, reported that the child had intermittent low-grade...
03/12/2012
sprue
sprue
03/12/2012
Jack A. Di Palma, MD; Meredith C. Roath, MD
There is growing evidence that a significant number of patients with idiopathic pancreatitis, both acute and chronic, have an underlying genetic predisposition.
03/12/2012
Hearing impairment
Hearing impairment
03/12/2012
Gregory W. Rutecki, MD
<p>In this age of “technological gadgetry,” everything and everyone seems a pushbutton away. We are constantly reminded of the ubiquity of “real time,” when mundane occurrences in the work place are...
03/12/2012