Volume 47 - Issue 9 - September 2007

Consultant

Expiration Dates
Expiration Dates
04/28/2011
<div id="article-content-body"><p>Our office has devised a system to reduce the number of expired drug samples that must be discarded.</p></div>
04/28/2011
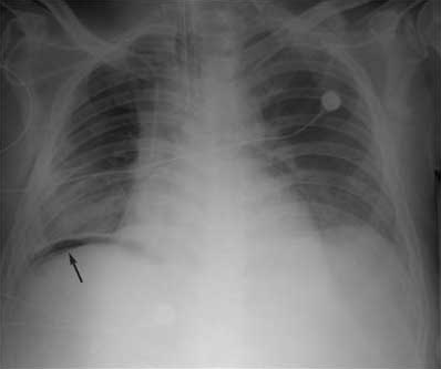
Ecstasy
Ecstasy
04/28/2011
Gregory W. Rutecki, MD
<p><img src="/sites/default/files/old/img_4db964cedd050.jpg" alt="Figure 5" style="float: left; margin-left: 8px; margin-right: 8px;" class="imageBorderBlue"...
04/28/2011
Carotid Bruits
Carotid Bruits
04/28/2011
<div id="article-content-body"><p>Having suffered many assaults on my eardrums from patient vocalizations during auscultation for carotid bruits, I now ask patients to take a deep...
04/28/2011
Granuloma Annulare
Granuloma Annulare
04/28/2011
David L. Kaplan, MD
<div id="article-content-body"><!-- START FIGURE CODE --><!--[if gte mso 9]><xml> <o:OfficeDocumentSettings> <o:AllowPNG></o> ...
04/28/2011
04/28/2011
<div id="article-content-body"> <p>What else can you offer patients with depression and other mood disorders? Listed here are some organizations that provide educational conferences,...
04/28/2011
Oral Histoplasmosis
Oral Histoplasmosis
04/28/2011
George Psevdos, Jr., MD
<p><img alt="Figure 4" class="imageBorderBlue" src="/sites/default/files/old/img_4db964c89242b.jpg" style="height:150px; margin-left:8px; margin-right:8px;...
04/28/2011
coronary artery bypass grafting
coronary artery bypass grafting
04/28/2011
<div id="article-content-body"><p>My patient is an 82-year-old woman with a history of coronary artery bypass grafting (CABG), chronic obstructive pulmonary disease (COPD), pulmonary...
04/28/2011
Heart failure
Heart failure
04/28/2011
Wai Hong Wilson Tang, MD
<div id="article-content-body"><p>Recently updated clinical guidelines reflect major changes in our understanding of and approach to heart failure.<sup>1,2</sup> In my...
04/28/2011
Hernia Exams
Hernia Exams
04/28/2011
<div id="article-content-body"> <p>When you palpate for inguinal hernias, ask the patient to take a deep breath and then bear down in a moderately strenuous Valsalva maneuver—rather...
04/28/2011
Treating Depression
Treating Depression
04/28/2011
Hani Raoul Khouzam, MD, MPH
Although most persons with depression can be successfully treated with medications and/or psychotherapy, many do not seek treatment. Left untreated, depression leads to deterioration of interpersonal,...
04/28/2011
A Right Adrenal Serpent
A Right Adrenal Serpent
04/28/2011
Azam Ansari, MD; Todd M. Tuttle, MD; Sherif Twafic, MD, PhD
<div id="article-content-body"><p><a href="http://imaging.cmpmedica.com/consultantlive/images/articles/2007/01082007/0708ConPCMyeloC.jpg"><img...
04/28/2011
GI Symptoms and Fever
GI Symptoms and Fever
04/28/2011
Jennifer Mathis, MD
<p><img src="/sites/default/files/old/img_4db964c27fa7f.jpg" alt="Figure" width="150" height="150" style="float: left; margin-left: 8px; margin-right:...
04/28/2011
Elderly Patients
Elderly Patients
04/28/2011
Drugs may confer serious risks along with substantial therapeutic benefits. The aging of the population and the trend toward increased outpatient drug use—and hence the likely rise in adverse...
04/28/2011
Atypical Tuberculin Skin Test Responses
Atypical Tuberculin Skin Test Responses
04/28/2011
Kirk H. Waibel, MD; David B. Throwbridge, MD; Syed O. Ali, MD
<div id="article-content-body"> <p><a href="http://imaging.cmpmedica.com/consultantlive/images/articles/2007/01082007/0708ConPCTuberB.jpg"><img alt=""...
04/28/2011
Lens Dislocation
Lens Dislocation
04/28/2011
Leonid Skorin, Jr., DO, MS, OD
<div id="article-content-body"><p>One day after he had been hit in the left eye with a drinking glass, a 48-year-old man sought medical attention. He could see only light and shadows...
04/28/2011
Alzheimer Diagnosis
Alzheimer Diagnosis
04/28/2011
A quick test for detecting Alzheimer disease is to tell the patient that you will try to shake his or her hand—but at the same time tell him not to do it.
04/28/2011
Thigh Pain
Thigh Pain
04/28/2011
Ronald N. Rubin, MD
<div id="article-content-body"> <p>A 77-year-old man complains of deep, aching pain of several months' duration in his left thigh that is exacerbated by both standing and walking....
04/28/2011