Volume 60 - Issue 9 - September 2020

Consultant

Photoclinic
Photoclinic
09/12/2022
A 3-year-old boy presented for a well-child visit with a history of thrombocytopenia and absent radii (TAR) syndrome. At the well-child visit, the mother has no health concerns about her son and states that...
09/12/2022
Photoclinic
Photoclinic
08/31/2022
A patient in his 30s was referred to a dermatology practice for patch testing due to recalcitrant hand dermatitis. The rash had been present for approximately 5 years. It had begun on his hands and wrists....
08/31/2022
Photoclinic
Photoclinic
04/16/2022
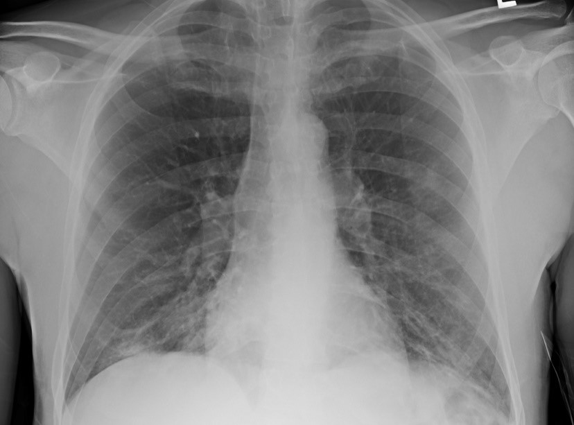
A 45-year-old man with a history of gastroesophageal reflux disease was admitted to the hospital for elective repair of severe mitral valve regurgitation.
04/16/2022
Pulmonary Pitfalls
Pulmonary Pitfalls
03/28/2022
Prednisone is a prodrug. Prednisone is a glucocorticoid. Prednisone is a mineralocorticoid. But is prednisone a poison? What have patients taught us about prednisone?
03/28/2022
What's the Take Home?
What's the Take Home?
11/12/2021
A 31-year-old woman is seen in the office several weeks after having sustained a Doppler ultrasonography–confirmed deep vein thrombosis of her left popliteal vein with some extension proximally. She had...
11/12/2021
Photoclinic
Photoclinic
06/28/2021
A 29-year-old woman with HLA-B27-positive spondyloarthropathy who had been on adalimumab for the past year presented with rapid development of widespread, tender, erythematous, scaly papules and pustules...
06/28/2021
Case In Point
Case In Point
02/09/2021
A 40-year-old man with a history of type 1 diabetes and dyslipidemia presented to the emergency department with a 5-day history of polydipsia, polyuria, and feelings of dehydration.
02/09/2021
Photo Essay
Photo Essay
08/27/2020
This article is part 11 of a 15-part series of Photo Essays describing and differentiating conditions affecting the nails. Parts 12 through 15 will be published in upcoming issues of Consultant. To access...
08/27/2020
Photoclinic
Photoclinic
07/01/2020
A 65-year-old man with no significant medical history presented to the emergency department to which he had been sent from an outside facility to rule out tuberculosis. His primary concern was back pain. ...
07/01/2020