Volume 59 - Issue 7 - July 2019

Consultant

Photo Essay
Photo Essay
05/31/2022
This article is part 3 of a 5-part series of Photo Essays describing and differentiating conditions affecting the tongue and related structures in the oral cavity.
05/31/2022
What's the Take Home?
What's the Take Home?
02/06/2022
A 22-year-old man seeks medical attention at his college’s infirmary. He had been in excellent health until 1 week earlier, when he had noted the onset of fever, headache, and malaise.
02/06/2022
Photoclinic
Photoclinic
04/01/2020
A 5 ½-month-old girl was referred to the pediatric emergency department by her primary care provider (PCP) for a temperature of 39.2°C. The infant’s mother had taken her to the PCP for evaluation of fever...
04/01/2020
Photoclinic
Photoclinic
02/21/2020
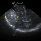
A 71-year-old woman came to the clinic with concern for worsening abdominal distention, shortness of breath when walking, and swelling of her legs.
02/21/2020
Photoclinic
Photoclinic
12/13/2019
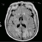
An 86-year-old woman presented to our institution from an outside hospital for management of altered mental status.
12/13/2019
Diabetes Q&A
Diabetes Q&A
07/02/2019
What are the standards for foot care in persons with diabetes? Diabetes expert Kim Carmichael, MD, answers this question and others about the care of the diabetic foot.
07/02/2019
Photoclinic
Photoclinic
05/10/2019
An 84-year-old man presented to the emergency department for 6 months of progressive headache, blurry vision, and chemosis.
05/10/2019
Review
Review
04/10/2019
This article reviews the guidelines for treatment and prevention of microalbuminuria in T2DM and the evidence from recent research.
04/10/2019
Photoclinic
Photoclinic
02/13/2019
A 43-day-old girl was brought to the clinic for the first time by her mother due to a dry rash along the girl’s face and cheeks.
02/13/2019
Photoclinic
Photoclinic
02/12/2019
A newborn boy was noted to have a diffuse erythematous rash at birth. He had been born at 40 weeks of gestation to a 19-year-old gravida 2, para 2 mother who had had adequate prenatal care.
02/12/2019