Volume 59 - Issue 6 - June 2019

Consultant

Photo Essay
Photo Essay
05/27/2022
This article is part 2 of a 5-part series of Photo Essays describing and differentiating conditions affecting the tongue and related structures in the oral cavity.
05/27/2022
Photoclinic
Photoclinic
06/03/2020
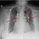
A 64-year-old African American woman presented to the emergency department with constant unremitting sharp pain in the epigastric region, which she rated as 10 of 10 in severity.
06/03/2020
Case In Point
Case In Point
04/09/2020
Mycoplasma pneumoniae–induced rash and mucositis (MIRM) is a newly categorized clinical entity consisting of prominent mucositis and variable skin involvement in patients with a recent mycoplasma infection....
04/09/2020
Photoclinic
Photoclinic
12/19/2019
A 12-month-old boy presented to a local emergency department with a 2-hour history of a protruding anal mass that had been incidentally noted when his parents had changed his diaper after a bowel movement....
12/19/2019
Feature Article
Feature Article
06/21/2019
Differences in the major bleeding risks between the DOACs and warfarin in patients with NVAF have been reported in the literature. This article summarizes and highlights these findings.
06/21/2019
Photoclinic
Photoclinic
05/07/2019
A 60-year-old woman presented with a 4-day history of right-sided anginal chest pain, palpitations, vaginal pain, and dysuria.
05/07/2019
Photoclinic
Photoclinic
04/16/2019
A 12-year-old boy presented with abdominal pain, which he had been experiencing for the past 3 days. When asked to localize the pain with 1 finger, he pointed to the left lower quadrant.
04/16/2019
Case In Point
Case In Point
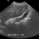
03/14/2019
Sayed K. Ali, MD, FACP; Adam-Mahdi Jaffer; Hammad Bhatti, MD
A 58-year-old woman presented with a giant hepatic hemangioma, which had been detected via ultrasonography and abdominal computed tomography (CT) scans 6 years prior.
03/14/2019