Volume 59 - Issue 2 - February 2019

Consultant

What's Your Diagnosis?
What's Your Diagnosis?
08/05/2021
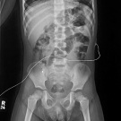
A 2-week-old girl had been born to a 28-year-old gravida 2, para 1 mother at 39 weeks of gestation following normal spontaneous vaginal delivery. The mother was concerned that the umbilicus of the infant...
08/05/2021
Photo Quiz
Photo Quiz
06/03/2021
A 22-year-old woman with a history of type 1 diabetes mellitus presented with a several-year history of large asymptomatic plaques on her right shin that had been stable for the past 2 years.
06/03/2021
Consultations & Comments
Consultations & Comments
01/15/2021
Speaking words of encouragement and gratitude to our colleagues may seem like a small thing. Not so—it is an important, easy way to reduce social isolation among physicians and restore meaning to the...
01/15/2021
Feature Article
Feature Article
01/20/2020
Diverticulitis is a common occurrence in the hospital setting and presents with fever, pain, and a palpable mass in the left lower quadrant.
01/20/2020
Photoclinic
Photoclinic
01/15/2020
A 2-year-old otherwise healthy girl presented to a hospital emergency department with 2 days of worsening oral intolerance, worsening nonspecific abdominal pain, and nonbilious nonbloody vomiting.
01/15/2020
What's the Take Home?
What's the Take Home?
02/04/2019
A 74-year-old man had changed health care providers and presented for his initial office visit. He simply did not want a colonoscopy but was willing to consider alternatives for colorectal cancer...
02/04/2019
Photoclinic
Photoclinic
01/10/2019
An 8-day-old boy was found to have small, smooth cystic masses of approximately 1 cm in diameter located on the crest of the alveolus, where the canine adult tooth eventually erupts.
01/10/2019
Photoclinic
Photoclinic
01/03/2019
A well-appearing young woman with an unremarkable medical history presented with a 6-month history of an intensely pruritic eruption affecting the axillae, the areolae, and the genital region.
01/03/2019
Photoclinic
Photoclinic
01/03/2019
An 87-year-old man presented for a routine skin examination. On physical examination, he was noted to have scattered, 6- to 10-mm, asymptomatic purple lesions on his scalp.
01/03/2019
Photoclinic
Photoclinic
01/03/2019
Two pediatric patients presented to clinic for well child visits and had blackened toenails on physical examination.
01/03/2019