Volume 14 - Issue 9 - September 2015

Consultant for Pediatricians

Dermatologic disorders
Dermatologic disorders
10/16/2015
Olivia L. Quach; Barbara B. Wilson, MD
A 10-year-old African American boy presented with a chief concern of severe hyperkeratosis of the hands and feet.
10/16/2015
Dermatologic disorders
Dermatologic disorders
10/16/2015
Olivia L. Quach; Barbara B. Wilson, MD
A 10-year-old African American boy presented with a chief concern of severe hyperkeratosis of the hands and feet.
10/16/2015
Dermatologic disorders
Dermatologic disorders
10/16/2015
Olivia L. Quach; Barbara B. Wilson, MD
A 10-year-old African American boy presented with a chief concern of severe hyperkeratosis of the hands and feet.
10/16/2015
peanut allergy
peanut allergy
09/16/2015
William Shin, MD
A 10-month-old infant presented with a 3- to 4-day history of a rash on her arms, legs, and ankles bilaterally.
09/16/2015
peanut allergy
peanut allergy
09/16/2015
Lindsay M. Moye, MD; Mark H. Luquette, MD; Pisespong Patamasucon, MD
A 2½-year-old boy with no significant medical history presented to the emergency department with a 1-month history of generalized abdominal pain.
09/16/2015
peanut allergy
peanut allergy
09/16/2015

Alexander K. C. Leung, MD

University of Calgary, Alberta, Canada

Benjamin Barankin, MD

Toronto Dermatology Centre, Toronto, Ontario, Canada

Alexander K. C. Leung, MDUniversity o...
A 17-year-old adolescent presented to his family physician with a 9-month history of condylomata acuminata on the left side of the scrotum.
09/16/2015
peanut allergy
peanut allergy
09/16/2015
Magda Mendez, MD, FAAP; Evelyn Erickson, MD; Aurea Thomas, MD
A boy with history of atopic dermatitis was brought to the emergency department with difficulty breathing and 4 episodes of nonmucous, non bloody vomiting.
09/16/2015
sickle cell disease
sickle cell disease
09/16/2015
Monaliza S. Evangelista, MD; Surabhi Kaul, MD, MPH; Erin Josserand
A 12-year-old African American girl with hemoglobin SS genotype sickle cell disease presented after having experienced 5 weeks of unrelenting abdominal pain.
09/16/2015
hematoma
hematoma
09/16/2015
Shraddha Mittal, MD; Rashida Pittalwala, MD
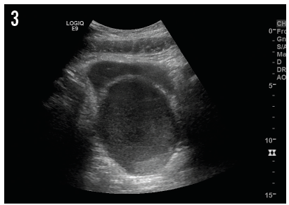
A previously healthy 12-year-old girl presented to the ED with a 3-day history of worsening perineal, abdominal, and low back pain.
09/16/2015
hematoma
hematoma
09/16/2015
Guenette Degaffe, MD; Carlos A. Perez, MD; David E. McMann, MD; James R. Murphy, PhD; Lynnette J. Mazur, MD, MPH
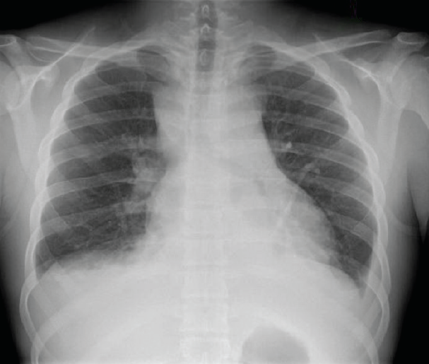
A 17-year-old presented to the emergency department after his mother witnessed him having a syncopal episode.
09/16/2015
hematoma
hematoma
09/16/2015
Dana M. Kaplan, MD; Amy Goldberg, MD; Christine Barron, MD
The parents of an 8-month-old boy brought him to the emergency department (ED) after a change in his mental status.
09/16/2015
urinalysis
urinalysis
09/16/2015
Jessica Tomaszewski, MD
Urine culture is the gold standard for the diagnosis of urinary tract infections (UTIs) in children because of the reported suboptimal sensitivity of urinalysis.
09/16/2015
meningitis
meningitis
09/16/2015
Pisespong Patamasucon, MD; Yasmina Ahmed, BA; Jack Lazerson, MD
A previously healthy 11-year-old girl presented to the emergency department (ED) with a 3-day history of headaches, intermittent fever, nausea, vomiting, and photophobia.
09/16/2015
morphea
morphea
09/16/2015
Linda S. Nield, MD; Bryce M.J. Harvey, MD
A Parent Asks: This year my 10-year-old son plans to go trick-or-treating with his friends without my supervision. What Halloween health hazards have been reported? What are some Halloween safety tips? ...
09/16/2015
morphea
morphea
09/16/2015

Alexander K. C. Leung, MD—Series Editor, and Benjamin Barankin, MD

Alexander K. C. Leung, MD—Series Edit...
A 17-year-old presented with asymptomatic patchy skin discoloration on his back of 2 years’ duration.
09/16/2015
syphilis
syphilis
09/16/2015
Alessandra Guiner, MD; Pisespong Patamasucon, MD
Desquamation of the palms and soles, such as that seen in the two infants’ cases described here, is a known but uncommon presentation of congenital syphilis.
09/16/2015
Erythema multiforme
Erythema multiforme
09/16/2015
Germaine L. Defendi, MD, MS
A 13-year-old girl presented to the pediatric urgent care clinic with concerns of headache, fever, pharyngitis, cough, and myalgia.
09/16/2015
Erythema multiforme
Erythema multiforme
09/16/2015
Germaine L. Defendi, MD, MS
A 13-year-old girl presented to the pediatric urgent care clinic with concerns of headache, fever, pharyngitis, cough, and myalgia.
09/16/2015
Erythema multiforme
Erythema multiforme
09/16/2015
Germaine L. Defendi, MD, MS
A 13-year-old girl presented to the pediatric urgent care clinic with concerns of headache, fever, pharyngitis, cough, and myalgia.
09/16/2015