Volume 13 - Issue 3 - March 2014

Consultant for Pediatricians

Pain
Pain
02/25/2014
Benjamin Barankin, MD, FRCPC; Alexander K.C. Leung, MD, MBBS, FRCPC, FRCP
A 17-year-old male presented with a 4-year history of greasy, hyperkeratotic papules and plaques on his chest, abdomen, and upper extremities.
02/25/2014
Pain
Pain
02/25/2014
Chalanda Jones, MD
CBT combined with traditional pharmacotherapy knocked down children’s chronic migraine better than medications alone.
02/25/2014
Dermatologic disorders
Dermatologic disorders
02/25/2014
Charles Powers; Kendall Riley, MD; Sarah Tatum Ritchie, MD
A 3-week-old, full-term boy born via spontaneous vaginal delivery presented with a 1-day history of a vesiculopustular rash on his right palm.
02/25/2014
Aplasia Cutis Congenita
Aplasia Cutis Congenita
02/24/2014
Bhagwan Das Bang, MD
A 4-year-old girl presented with this scalp lesion, which had been present since birth. She received a diagnosis of aplasia cutis congenita.
02/24/2014
Langerhans Cell
Langerhans Cell
02/24/2014
Neha H. Shah, MD, MPH; Rebecca Carter, MD; Cristina Tuluca, MD; Zubin Modi, MD
A 17-year-old male presented with anogenital erosions of 2 years’ duration, extending from the perianal region to the scrotum.
02/24/2014
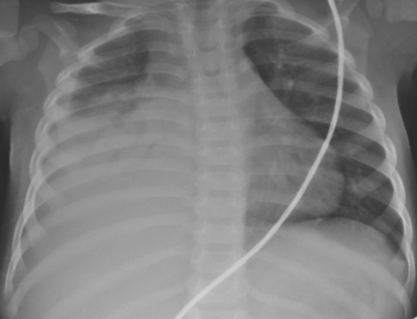
Pneumonia
Pneumonia
02/24/2014
Mairelys Gonzalez, MD; Joanne Holliman, MD; Betzi Teran, MD; Yekaterina Sitniskaya, MD; Elita Gose-Balakrishnan, MD; Magda Mendez, MD, FAAP
A 19-month-old boy known to have intermittent asthma and a history of prior right lower-lobe pneumonia presented to the emergency department (ED) with a 1-week history of cough, runny nose, chest...
02/24/2014
Molluscum Contagiosum
Molluscum Contagiosum
02/24/2014
Collin Luk, BHSc; Alexander K.C. Leung, MD, MBBS, FRCPC, FRCP
A 13-year-old boy presented with a cluster of pearly white papules on the right side of his back.
02/24/2014
Fractures
Fractures
02/24/2014
Roli Agrawal, MD
A 15-year-old previously healthy boy presented to the emergency department with a left wrist injury that had occurred 2 to 3 months ago.
02/24/2014
undefined
undefined
02/24/2014
Maheshwar Mahaseth, MD
This review describes the pathogenesis, etiology, epidemiology, presentation, diagnosis, supportive management, and prognosis of this serious condition that, while rare in children, carries significant...
02/24/2014
fever
fever
02/24/2014
Linda S. Nield, MD; Sarah J. Radis
Do I have to treat my daughter’s fever when she is acting fine? What fever reducer should I use, acetaminophen or ibuprofen? And can I use them together and/or alternate them?
02/24/2014
Meningococcus
Meningococcus
02/24/2014
Kyrie Shomaker, MD
A 7-month-old girl presented to the emergency department in the early afternoon with an abrupt onset of excessive sleepiness, new fever, and a rash on the lower extremities.
02/24/2014
Diaper dermatitis
Diaper dermatitis
02/24/2014
Sharon E. Jacob, MD; Elise M. Herro, MD
This article explores the most common allergens and allergic diaper dermatitis presentations, as well as clinical tips for diagnosis and treatment.
02/24/2014
hemophilia
hemophilia
02/24/2014
Barry Weinberger, MD; Thomas Hegyi, MD; Surasak Puvabanditsin, MD; Imteyaz Khan, MD; Syed-Saif Abbas Rizvi, MBBS; Imran Malik, MD
An infant was born via cesarean delivery to a 29-year-old, gravida 3, para 2 mother at 31 weeks’ gestation.
02/24/2014
hemophilia
hemophilia
02/24/2014
Irina Trifonova, MD; Magda Mendez, MD, FAAP; Nithi Fernandes, MD; July K. Jean, MD; Laura Castellanos, MD
A previously healthy 18-month-old boy presented to the emergency department (ED) with a chief complaint of a 1-day history of refusal to bear weight on his left foot.
02/24/2014