Volume 11 - Issue 1 - January 2012

Consultant for Pediatricians

Intraoral Ranula
Intraoral Ranula
01/10/2012
Bhagwan Das Bang, MD
A 2-month-old boy with a bluish swelling under the tongue.
01/10/2012
Urticaria pigmentosa
Urticaria pigmentosa
01/10/2012
Jessie R. Maxwell, MD; Abdulla Ghori, MD
<p><img src="/sites/default/files/transfer/1201CFP_PCUrticaria_thumb.jpg" width="90" height="65" style="float: left;">An 18-month-old boy with nonbloody,...
01/10/2012
Keloids
Keloids
01/10/2012
Kathleen Ryan, MD; Jane Mellot, MD; Maria N. Kelly, MD; Sanjeev Y. Tuli, MD; Sonal S. Tuli, MD
<P><IMG style="FLOAT: left" src="/sites/default/files/transfer/1201CFP_PCKeloid_REar_thumb.jpg" width=58 height=90>A 17-year-old girl presented to the clinic with...
01/10/2012
eosinophilia
eosinophilia
01/10/2012
Nasira Roidad, MD; Jean Someshwar, MD; Linda S. Nield, MD
<p><img alt="" src="/sites/default/files/transfer/1201CFP_CPOsteo_Fg_thumb.jpg" style="height:64px; margin:5px; width:35px; float:left" />A 20-year-old man...
01/10/2012
eosinophilia
eosinophilia
01/10/2012
Alexander K.C. Leung, MD, MBBS, FRCPC, FRCP; Gretchen Stepanovich, MD; Pavitra Kotini, BS ; Kate Crandley, MD
<p><img src="/sites/default/files/transfer/1201CFP_WDDRESS_FaceFg_thumb.jpg" style="margin: 5px; float: left;" height="90" width="67"><br>A...
01/10/2012
HPV vaccination
HPV vaccination
01/10/2012
Larissa Hirsch, MD; Charles A. Pohl, MD
<p><img src="/sites/default/files/transfer/1201CFP_TPHPV_Fg_thumb.jpg" alt="hpv vaccination" title="hpv vaccination" width="90" height="60"...
01/10/2012
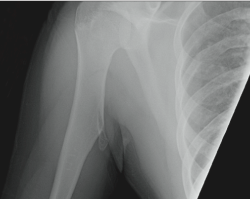
Musculoskeletal Lesions
Musculoskeletal Lesions
01/10/2012
Serle M. Epstein, MD, FACP
<P><SPAN>One fortuitous Saturday in 2001, I met a patient in the office for an urgent visit. His family told me of an Austrian exchange student Georg Nigsch who had lived with them years...
01/10/2012
Musculoskeletal Lesions
Musculoskeletal Lesions
01/10/2012
Alexander K.C. Leung, MD, MBBS, FRCPC, FRCP
<p><img src="/sites/default/files/transfer/1201CFP_PELeung_Ganglion_0_thumb.jpg" style="margin: 5px; float: left;" height="60" width="68">Three cases of...
01/10/2012
Dermatitis
Dermatitis
01/10/2012
Sailaja Ghanta, MD; Chandan N. Lakhiani, MD; Kirk Barber, MD, FRCPC
<p><img src="/sites/default/files/transfer/1201CFP_DC_FaceFg_thumb.jpg" alt="Lichen Nitidus" style="float: left; margin: 5px;" height="80"...
01/10/2012
Medical profession
Medical profession
01/10/2012
Howard Fischer, MD
<p>In February 2006, I wrote a Commentary for this journal titled <em>Skeptical Sentiments,</em> in which I described things that I did not trust; for example, “Doctors who refer to a...
01/10/2012