From the Journal

Photoclinic
Photoclinic
11/22/2023
Kevin T. Wright, MD; David S. Kirwin, BS 
In September 2021, A 27 year-old male came into clinic reporting painful plantar hyperkeratosis. He recently began taking sorafenib, a multi-kinase inhibitor, targeting a desmoid tumor in the patient’s...
11/22/2023
Photoclinic
Photoclinic
10/02/2023
Desmond M. Shipp, MD; Nabiha Islam, BS
Merkel cell carcinoma (MCC) is a rare neuroendocrine tumor, typically described as an asymptomatic violet, dome-shaped nodule found in a sun-exposed area.
10/02/2023
Photoclinic
Photoclinic
08/11/2023
A 65-year-old man presented to our dermatology clinic with a 1-week history of 2 new scalp lesions. He denied any associated pruritus or bleeding.
08/11/2023
Tumors
Tumors
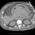
11/04/2022
A 61-year-old woman with a history of bladder prolapse and normal kidney function developed complications after a recent laparoscopic sacral colpopexy for urinary incontinence. Computed tomography scans...
11/04/2022
Photoclinic
Photoclinic
06/03/2022
Approximately 1 week after having been shot in the left eye with a foam dart from a toy gun, a 37-year-old woman presented to an optometrist due to persistent pain in the eye.
06/03/2022
Photoclinic
Photoclinic
04/08/2022
A 70-year-old man with a history of hyperlipidemia, benign prostatic hyperplasia, and cholecystectomy presented to the emergency department with abdominal pain, vomiting and abdominal distention for the...
04/08/2022
Feature Article
Feature Article
07/19/2019
This review highlights the cases of 10 patients with cancer and with culture-confirmed gastrostomy tube site infections.
07/19/2019
Photoclinic
Photoclinic
07/15/2018
A 76-year-old man with a history of left-eye blindness since age 4 presented after having developed swelling of the left orbit. His blindness had begun after accidental trauma to the left eye with a pronged...
07/15/2018
Feature Article
Feature Article
05/25/2018
Pyogenic granuloma, also known as lobular capillary hemangioma, describes a benign vascular tumor with rapid growth and a friable surface that most commonly appears spontaneously on mucosal and cutaneous...
05/25/2018
Case In Point
Case In Point
05/02/2018
Rhabdomyomas are rare and often benign mesenchymal soft-tissue tumors that derive from striated cardiac or skeletal muscle.
05/02/2018