Melanoma

Disease State Hub

Featured

Photoclinic
Photoclinic
12/22/2025
Nandini N. Patel, BS; Rei Kola, MS; Xuefeng Zhang, MD; Robert Bales, MD, MPH, FAAFP
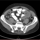
A 66-year-old man presented to the emergency department (ED) with mid and left upper quadrant abdominal pain and shortness of breath. The patient had been complaining of coughing and increased shortness of...
12/22/2025
Research Summary
Research Summary
11/26/2025
Anthony Calabro, MA
For oncologists considering immunotherapy sequencing, a Nature report from MD Anderson Cancer Center in Houston, TX, suggests that receipt of a SARS-CoV-2 mRNA vaccine near the start of immune checkpoint...
11/26/2025
Case Report Insights
Case Report Insights
04/02/2025
Nandini N. Patel, BS
In this Consultant Case Report Insights, Nandini N. Patel, OMS III, speak about her study, “Metastatic Malignant Melanoma from Unknown Origin to the Jejunum: A Case Report.” Nandini Patel discusses the...
04/02/2025

Interactive Features

Melanoma
Melanoma
04/04/2018
Allison is a 36-year-old fair-skinned white woman who has spent too much time in the sun and has a family history of skin cancer. She presents with a lesion that is moderately suspicious for melanoma on her...
04/04/2018
Nodules
Nodules
03/12/2018
Welcome to Consultant360's new interactive diagnostic quiz. Over the next few pages, we'll present a case and ask you to make the diagnosis. Along the way, we'll provide details about the case, and at the...
03/12/2018
Screening
Screening
10/15/2015
Jeremy is a 32-year-old man with a history of skin cancer in his family. At his latest exam, he mentions a dark spot on the tip of his ear that he had never paid much attention to in the past. He asks if...
10/15/2015

Clinical Insights

Case Report Insights
Case Report Insights
04/02/2025
Nandini N. Patel, BS
In this Consultant Case Report Insights, Nandini N. Patel, OMS III, speak about her study, “Metastatic Malignant Melanoma from Unknown Origin to the Jejunum: A Case Report.” Nandini Patel discusses the...
04/02/2025