HIV Management
HIV Management
12/28/2015
HIV Management
HIV Management
12/28/2015
Original Research
Original Research
10/02/2015
Faith Powell, MD; Alexis Shahidi, MD; Ravina Patel, BS; Kwaku Gyekye, BS
The prevalence of HIV in the United States is currently 1.2 million, peaking between the ages of 20 and 30 years of age, while AIDS peaks at close to 45 years of age.
10/02/2015
Photo Essay
Photo Essay
08/10/2015
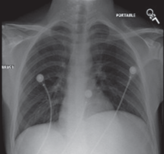
A 77-year-old woman presented with shortness of breath and intermittent left flank pain of 2- to 3-day duration.
08/10/2015
cyst
cyst
04/15/2014
Tameka Simpson, DO; Ramneet Wadehra, DO; Jamey Hourigan, DO; Alan Lucerna, DO
A previously healthy 18-year-old white male presented to the emergency room with complaint of sharp left upper quadrant pain—exacerbated with deep inspiration—that had been gradually worsening over the past...
04/15/2014
cyst
cyst
04/15/2014
Tameka Simpson, DO; Ramneet Wadehra, DO; Jamey Hourigan, DO; Alan Lucerna, DO
A previously healthy 18-year-old white male presented to the emergency room with complaint of sharp left upper quadrant pain—exacerbated with deep inspiration—that had been gradually worsening over the past...
04/15/2014
cyst
cyst
04/15/2014
Tameka Simpson, DO; Ramneet Wadehra, DO; Jamey Hourigan, DO; Alan Lucerna, DO
A previously healthy 18-year-old white male presented to the emergency room with complaint of sharp left upper quadrant pain—exacerbated with deep inspiration—that had been gradually worsening over the past...
04/15/2014
Photoclinic
Photoclinic
11/12/2013
A 44-year-old male presents to the emergency department with a 3-week history of rash on his left foot.
11/12/2013
Conjuctivitis
Conjuctivitis
09/26/2013
Wendy Hoffner, MD; Cyrus Golshani; Shagun Sachdeva, MD; Noureen J. Khan, MD
A full-term male infant, born via normal spontaneous vaginal delivery, presented at 17 hours of life with bilateral purulent conjunctivitis. Findings from the initial physical examination shortly after...
09/26/2013
Conjuctivitis
Conjuctivitis
09/26/2013
Wendy Hoffner, MD; Cyrus Golshani; Shagun Sachdeva, MD; Noureen J. Khan, MD
A full-term male infant, born via normal spontaneous vaginal delivery, presented at 17 hours of life with bilateral purulent conjunctivitis. Findings from the initial physical examination shortly after...
09/26/2013