Case in Point
Case in Point
06/13/2019
A 2-month-old girl presented to the emergency department for evaluation of fever, fussiness, poor oral intake, and nasal congestion for 1 day.
06/13/2019
Photoclinic
Photoclinic
05/30/2019
Andrew Krispinsky, MD
H pylori is a microaerophilic, spiral-shaped, gram-negative bacterial species that is linked to many GI tract diseases.
05/30/2019
Case in Point
Case in Point
05/29/2019
A 23-month-old girl presented to the hospital for evaluation of a perianal mass. Her grandmother stated that the lesion had appeared 6 months ago.
05/29/2019
Case in Point
Case in Point
05/29/2019
A 23-month-old girl presented to the hospital for evaluation of a perianal mass. Her grandmother stated that the lesion had appeared 6 months ago.
05/29/2019
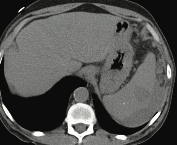
Case In Point
Case In Point
05/14/2019
Tara J. Scheufler, DO; Angela M. Palitto, DO
Patients with chronic or critical illness who develop a splenic abscess present an immediate clinical conundrum for the health care team.
05/14/2019
What's Your Diagnosis?
What's Your Diagnosis?
02/25/2019
A 33-year-old active-duty sailor presented with 2 nonhealing, nonpruritic, painless lesions—1 on his abdomen and 1 on his back—for 2 months after having returned from a deployment in Iraq.
02/25/2019
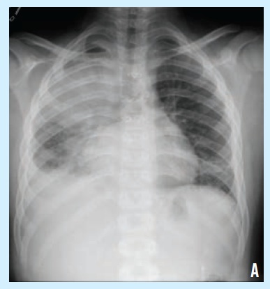
Photoclinic
Photoclinic
01/28/2019
Michael Borchetta, DO
A 9-year-old boy presented to a pediatric hospital for evaluation of fever, cough, and nasal congestion that had been present for 4 days.
01/28/2019
Case In Point
Case In Point
01/14/2019
James J. Contestable, MD; Matthew L. Ward
M pneumoniae infections typically are mild but can be associated with a mucositis similar to that seen with SJS.
01/14/2019
Case In Point
Case In Point
10/12/2018
Niel N. Shah, MBBS; Shuchi Pandya, MD; Ana P. Velez, MD; Sowmya Nanjappa, MBBS, MD; John N. Greene, MD
CMV neurologic disease can involve the brain, spinal cord, dorsal column nerve roots, or peripheral nerves.
10/12/2018
Photoclinic
Photoclinic
08/27/2018
A 6-year-and-10-month-old girl presented with a sore throat and fever of 3 days’ duration. She denied cough, rhinorrhea, dyspnea, diarrhea, and genitourinary tract symptoms. She had no history of recent...
08/27/2018