Volume 55 - Issue 12 - December 2015

Consultant

Photoclinic
Photoclinic
05/20/2016
Gerard Chaaya, MD; Mahmoud Farhoud, MD; Esteban Janolo, Jr., MD; Sayed K. Ali, MD, FACP
A 58-year-old woman with a past medical history of type 2 diabetes mellitus and hypothyroidism was admitted to a hospital for chronic, worsening abdominal pain.
05/20/2016
02/24/2016
Tin Kyaw, MD
A 90-year-old man came to emergency department (ED) with a few days history of redness and swelling at back of the left leg.
02/24/2016
12/31/2015
David L. Kaplan, MD
A 35-year-old man presented for evaluation of a slowly worsening itchy rash on both feet and ankles over 2 weeks this past summer. He denies any new exposure history and is otherwise healthy.
12/31/2015
12/21/2015
David L. Kaplan, MD
A 57-year-old woman presents with a few month history of tender vulvar skin interfering with intercourse or sitting for extended periods.
12/21/2015
12/21/2015
David L. Kaplan, MD
A 55-year-old man presents with a 4-week history of asymptomatic flat bumps on the head of his penis only.
12/21/2015
12/21/2015
David L. Kaplan, MD
A 35-year-old man presented for evaluation of a slowly worsening itchy rash on both feet and ankles over 2 weeks this past summer. He denies any new exposure history and is otherwise healthy.
12/21/2015
Lupus
Lupus
12/21/2015
Ryan E. Owens, PharmD, BCPS; Timothy H. Self, PharmD
Hydralazine was introduced as an antihypertensive agent in the early 1950s and was quickly found to induce systemic lupus erythematosus (SLE).
12/21/2015
12/21/2015

Alexander K.C. Leung, MD, and Benjamin Barankin, MD

Alexander K.C. Leung, MD, and Benjami...
A 52-year-old white woman presented with an asymptomatic solitary nodule on the right breast.
12/21/2015
12/15/2015
A 6-year-old boy had redness and pain of skin on his left upper abdomen for the past 3 days. Physical examination revealed a large cluster of vesicles with underlying erythema and mild warmth.
12/15/2015
Corticosteroid
Corticosteroid
12/15/2015
Eric A. Dietrich, PharmD, BCPS; Kyle Davis, PharmD, BCPS
Systemic corticosteroids are commonly prescribed to treat acute exacerbations of respiratory diseases, such as asthma and chronic obstructive pulmonary disease.
12/15/2015
12/15/2015
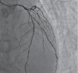
Courtney R. Usry, DO; Sean P. Javaheri, DO
A 51-year-old man with a past medical history significant for hypertension and hyperlipidemia was admitted for evaluation of chest pain.
12/15/2015
12/15/2015
Norman Weinberg, MD; William B. Stason, MD
Increased attention to establishing advance directives and using them to guide clinical decisions near the patient’s end of life holds promise to improve his or her quality of life and to reduce health care...
12/15/2015
12/15/2015
Gregory W. Rutecki, MD
In this era of unprecedented technological innovations, it is rare to still be able to diagnose certain diseases solely on patient history and physical examination. One such disease that primary care...
12/15/2015
12/15/2015
Nipa R. Shah, MD; Carlos A. Arango, MD; Swati Sharma, MD; Lynn Waters, DO; Christopher Scuderi, DO
Ebola virus was first identified in 1976 when an outbreak of Ebola hemorrhagic fever occurred in Zaire (now the Democratic Republic of the Congo).
12/15/2015
12/15/2015
Katelyn R. Smithling, MD; Cheryl B. Iglesia, MD
This article reviews the diagnosis of OAB and urge urinary incontinence and discusses the many available treatments.
12/15/2015
12/14/2015
Richard Colgan, MD
Many physicians I know seem to wear their lack of routine health care as a badge of honor. It is quite the contrary.
12/14/2015
12/14/2015
Our weekly pearls are only available at Consultant360.com. And while you are there, sign up for our daily e-newsletters and have breaking news, including our weekly pearls, delivered directly to your...
12/14/2015
06/20/2015
Tokunbo Ajayi, MD; Almaddah Nureddin, MD; Jasleen Minhas, MD; David Roberts, MD
A 58-year-old man presented with a sudden onset of dyspnea at rest. He had become nonverbal and had been intubated in the field due to hypoxia, with an oxygen saturation of 58% on room air.
06/20/2015
06/20/2015
Clifford Madsen, DO; B. Chance Gentry, MD
A mother brought her 6-week-old daughter to the office for a well-baby examination. The girl had been born by spontaneous vaginal delivery at term.
06/20/2015