Volume 55 - Issue 9 - September 2015

Consultant

Controversies in Clinical Care
Controversies in Clinical Care
04/26/2019
Eric A. Dietrich, PharmD, BCPS; Kyle Davis, PharmD, BCPS
A 63-year-old white woman presented for continued workup for shortness of breath and an ongoing cough.
04/26/2019
09/29/2015
Adam D. Perry, MD; John E. Jackson, MD; Joanna Bolton, MD
A 67-year-old morbidly obese male with diabetes and chronic renal insufficiency presented for evaluation of long-standing lower extremity edema.
09/29/2015
09/08/2015
David L. Kaplan, MD
An 11-year-old female presented for evaluation of a slightly itchy sparse eruption that was slowly spreading on her arms, trunk, and legs over the last 6 months.
09/08/2015
09/08/2015
David L. Kaplan, MD
A 66-year-old female presented with a several month history of a painful lesion on her sole that had been treated by multiple specialties.
09/08/2015
09/08/2015
Jay Mohan, DO; Craig Backous, DO; Omar Hasan, DO; Merin Mathew, MS-IV
A 49-year-old male presented to the emergency room with hemoptysis, coughing up 400 cc of bright red blood.
09/08/2015
Photoclinic
Photoclinic
09/08/2015
A 71-year-old female with no significant past medical history presented to the hospital with sudden onset of massive hemoptysis.
09/08/2015
Photoclinic
Photoclinic
09/08/2015
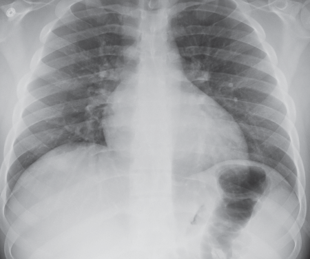
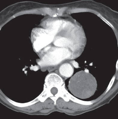
Amrinder Rana, MD; Sonia Arunabh Talwar, MD; Palika Anand, MD
A 46-year-old male presented with a history of intermittently increasing dyspnea on exertion over the past 3 years.
09/08/2015
Infectious Diseases
Infectious Diseases
09/08/2015
Barbara Zeiger
Honey may be the oldest known wound dressing, but scientists only recently have been able to explain how the substance’s bioactivities and physical characteristics play a role in wound healing.
09/08/2015
09/08/2015
Timothy H. Self, PharmD; Ryan E. Owens, PharmD, BCPS
While digoxin is often added as adjunctive therapy for atrial fibrillation and heart failure, the narrow therapeutic index of the drug may cause some practitioners to shy away from its use.
09/08/2015
poison ivy
poison ivy
09/08/2015

Alexander K.C. Leung, MD, and Benjamin Barankin, MD

Alexander K.C. Leung, MD, and Benjami...
A 44-year-old otherwise healthy man presented with pruritic linear erythematous plaques on his left wrist.
09/08/2015
09/08/2015
Ronald N. Rubin, MD; Nasheed M. Hossain, MD; John Kaczmar, MD
A 36-year-old female was admitted to the hospital with a 3-day history of nausea, emesis, and abdominal pain.
09/08/2015
pharyngitis
pharyngitis
09/08/2015
Aldo Alleva, MD; Tetyana Divinskiy, MD; Jana Galan, MD; Anthony Caporaso, MD
A 19-year-old white male college student presented to the hospital with high fever, night sweats, neck and left jaw pain and generalized malaise.
09/08/2015
Gout
Gout
09/08/2015
Gregory W. Rutecki, MD
This article looks at several tried-and-true uses for colchicine—a mainstay in the treatment and prevention of gout—and adds some new uses as well.
09/08/2015
Diabetes Q&A
Diabetes Q&A
09/08/2015
Devin M. Burr, MS-IV, DO; Byron C. Edwards, PA-C, PhD; Kraig K. Jenson, MD
To prevent lower extremity amputation, primary care physicians must understand the risk factors and pathophysiology contributing to ulcer formation.
09/08/2015
Vision Loss
Vision Loss
09/08/2015
Leonid Skorin, Jr., DO, MS, OD
Temporal arteritis is a true ocular emergency that may initially present with systemic manifestations to primary care practitioners.
09/08/2015
09/08/2015
Kathleen Bernock, FNP
This article provides a thorough review of available literature to provide healthcare professionals with a better understanding of synthetic cannabinoid use and offer 3 strategies to enhance primary care...
09/08/2015
09/08/2015
Richard Colgan, MD
The door was open to the exam room and inside I saw a 6 ft 2 in tall white man pacing back and forth.
09/08/2015
Dementia
Dementia
09/08/2015
This September marks the 4th annual World Alzheimer’s Month, and Consultant360 has recently highlighted several articles focused on dementia.
09/08/2015