Volume 55 - Issue 7 - July 2015

Consultant

Photoclinic
Photoclinic
04/08/2019
Luis L. Perez, DO
A 72-year-old white woman with hypertension, hypothyroidism, breast cancer (in remission), and monoclonal gammopathy of undetermined significance presented with a sore throat and sinus congestion of 1-month...
04/08/2019
Letters to the Editor
Letters to the Editor
07/29/2015
After recently penning an editorial titled, “Medical Scribes: Red Ink or Revenue-Sustainable Innovation?”, I was convinced that the use of medical scribes were not only a substantive step forward, but also...
07/29/2015
Oral Health
Oral Health
07/20/2015
John Chin, MD, MBChB
A 19-year-old African-American male with a history of frenectomy and recurrent sublingual cysts presented to the emergency department for sublingual swelling.
07/20/2015
Photoclinic
Photoclinic
07/20/2015
Kyle A. Burton, MD, BS; Tania Lalani, MD
A 47-year-old black female presented with a 2-day history of right-sided facial and hand numbness.
07/20/2015
vertigo
vertigo
07/20/2015
Navid Farajipour, MD; Rex D. Wilford, DO, RPh
A 57-year-old female with a past medical history of diabetes mellitus type 2 presented with a chief complaint of dizziness, nausea, and vomiting.
07/20/2015
07/20/2015
A 55-year-old male presented with complaints of a persistent nonitchy rash.
07/20/2015
07/20/2015
David L. Kaplan, MD
A 69-year-old female presents with an itchy rash on the upper chest of 2 weeks duration. She does not remember any exposure history. She denies rash elsewhere and is otherwise healthy.
07/20/2015
07/20/2015
David L. Kaplan, MD
An 80-year-old female presents with a persistent red bump on her back of 3 months duration. She is otherwise healthy and has been taking the same statin drug for over 5 years. She said the bump is...
07/20/2015
Demodex folliculitis
Demodex folliculitis
07/20/2015
David L. Kaplan, MD
A 79-year-old male presented with a very itchy eruption on his chest of 2 weeks duration. He is otherwise healthy.
07/20/2015
herpes
herpes
07/17/2015
This article contains multiple photo-based clinical cases of herpes manifestations and herpes-associated syndromes.
07/17/2015
Diabetes Q&A
Diabetes Q&A
07/17/2015
Gregory W. Rutecki, MD
As the first stop for most patients, primary care practitioners must be equipped to provide specialized care. Two recent Top Papers offer key take-aways.
07/17/2015
Pressure Ulcers
Pressure Ulcers
07/17/2015
Gregory Walker, MD, MBA; Ashley Sturgeon, MD; Ikue Shimizu, MD; Cloyce L. Stetson, MD
The burden of melanoma and nonmelanoma skin cancer (NMSC) in the elderly population is well known, with basal cell carcinoma (BCC) being the most common malignancy in humans.
07/17/2015
Lesion
Lesion
07/16/2015
Ronald N. Rubin, MD
A 22-year-old man presents for evaluation of a skin rash of 2 weeks duration.
07/16/2015
radiology
radiology
07/16/2015
William Yaakob, MD
A 56-year-old white woman complains of wrist pain, primarily located in the right wrist but to a lesser degree in the left as well.
07/16/2015
sarcoma
sarcoma
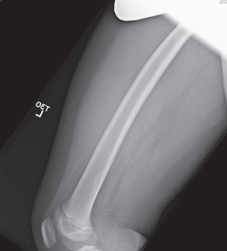
07/16/2015
Danielle Massarella, MD; David Effron, MD
A 9-year-old African American female presented with a painless left thigh swelling first noted 3 weeks prior, which had been slightly increasing in size over.
07/16/2015
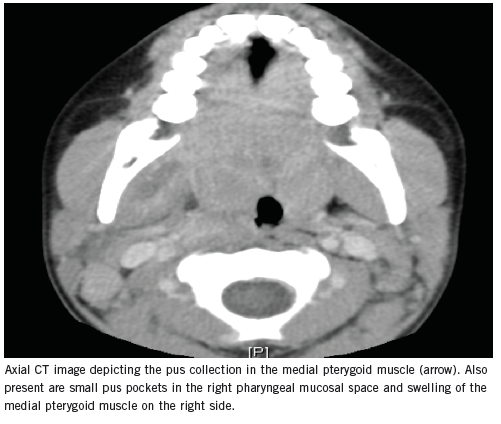
Abscess
Abscess
07/16/2015
Usha Sethuraman, MD; Rajkumar Agarwal, MD
A 7-year-old boy presented to the emergency department with pain and swelling of the right side of his face and difficulty in opening his mouth.
07/16/2015
Diabetes Q&A
Diabetes Q&A
07/16/2015
Kim A. Carmichael, MD, FACP; Conor Best, MD
Iatrogenic hypoglycemia, which is most commonly driven by insulin but can be due to other antidiabetic agents, is a common problem for patients with diabetes.
07/16/2015
stroke
stroke
07/16/2015
Eric A. Dietrich, PharmD, BCPS; Kyle Davis, PharmD, BCPS
Ischemic stroke affects millions of Americans and is associated with significant morbidity and mortality.
07/16/2015
stroke
stroke
07/16/2015
Eric A. Dietrich, PharmD, BCPS; Kyle Davis, PharmD, BCPS
Ischemic stroke affects millions of Americans and is associated with significant morbidity and mortality.
07/16/2015
stroke
stroke
07/16/2015
Eric A. Dietrich, PharmD, BCPS; Kyle Davis, PharmD, BCPS
Ischemic stroke affects millions of Americans and is associated with significant morbidity and mortality.
07/16/2015
Lyme Disease
Lyme Disease
07/16/2015
Bensson Samuel, MD, PG Dip, PhD, DBA; Jennifer Axelband, DO; Kevin Mckim, MD; David Leh, MD
It is evident that Lyme disease is not isolated to North America alone, making it important for clinicians to have a low clinical suspicion in order to initiate appropriate treatment.
07/16/2015
Cardiac Arrest
Cardiac Arrest
07/14/2015
William J. Brady, MD; Thomas Hartka, MD, MS
This conclusion to this 2-part series will summarize the role of AEDs in cardiac care.
07/14/2015
otalgia
otalgia
07/14/2015
Sheldon P. Hersh, MD, FACS; Joshua N. Hersh, MD
This article reviews how to identify cases of referred otalgia along with an overview of possible underlying pathologies.
07/14/2015
07/13/2015
Richard Colgan, MD
The good news is that once you are a licensed professional healer in service to mankind, you will likely live relatively comfortable lives.
07/13/2015
07/13/2015
Between 2012 and 2015, the United States is posed to experience considerable growth in the older population. In 2050, individuals aged 65 and older are projected to number 83.7 million, compared to 43.1...
07/13/2015