Volume 52 - Issue 4 - April 2012

Consultant

04/05/2016
Patients will benefit from their practitioners’ participation in this workshop series.
04/05/2016
02/29/2016
Ronald N. Rubin, MD
Forty-eight hours earlier, a 39-year-old man presented to the emergency department with emesis and severe upper abdominal pain of semi-acute onset, which radiated slightly to the back.
02/29/2016
onychogryphosis
onychogryphosis
04/09/2012
David L. Kaplan, MD
<p class="p1"><img src="/sites/default/files/images/Screen%20shot%202012-04-09%20at%2011.44.33%20AM.png" alt="onychogryphosis" title="onychogryphosis"...
04/09/2012
Seborrheic Keratosis
Seborrheic Keratosis
04/09/2012
David L. Kaplan, MD
<p class="p1"><img src="/sites/default/files/images/Screen%20shot%202012-04-09%20at%2011.44.42%20AM.png" alt="Seborrheic Keratosis" title="Seborrheic...
04/09/2012
Spitz nevus
Spitz nevus
04/09/2012
David L. Kaplan, MD
<p class="p1"><img src="/sites/default/files/images/Screen%20shot%202012-04-09%20at%2011.42.54%20AM.png" width="97" height="73" style="float: left;...
04/09/2012
keratosis
keratosis
04/09/2012
David L. Kaplan, MD
<p class="p2"><img src="/sites/default/files/images/Screen%20shot%202012-04-09%20at%2011.42.15%20AM.png" width="98" height="78" style="float: left;...
04/09/2012
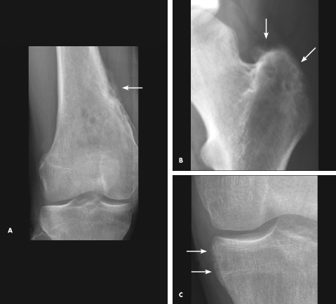
osteomyelitis
osteomyelitis
04/09/2012
Nancy Pan, MD; Robert Schneider, MD; Austin Fragomen, MD; Kyriakos A. Kirou, MD
<P><IMG style="MARGIN: 5px; FLOAT: left" src="/sites/default/files/images/Screen%20shot%202012-04-09%20at%2011.49.54%20AM.png" width=103 height=88>18-year-old boy with a long...
04/09/2012
nodular melanoma
nodular melanoma
04/09/2012
Richard Narins, MD; Thomas N. Helm, MD
<p class="p1"><img src="/sites/default/files/images/Screen%20shot%202012-04-09%20at%2011.49.17%20AM.png" width="77" height="94" style="float: left;...
04/09/2012
stuff
stuff
04/09/2012
Rebecca Galante, MD
Over a period of many months, a 58-year-old man with a history of gout and diabetes had episodic muscle cramps, poor appetite, fatigue, and poor glycemic control.
04/09/2012
white sponge nevus
white sponge nevus
04/09/2012
Chronic irritation from smoking is the most common cause of white mucosal lesions.
04/09/2012
white sponge nevus
white sponge nevus
04/09/2012
Chronic irritation from smoking is the most common cause of white mucosal lesions.
04/09/2012
white sponge nevus
white sponge nevus
04/09/2012
Chronic irritation from smoking is the most common cause of white mucosal lesions.
04/09/2012
pernio
pernio
04/09/2012
Alexander K.C. Leung, MD, MBBS, FRCPC, FRCP; Stewart P. Adams, MD; Andrew S. Wong, BSc
<p>A 17-year-old Canadian girl complains of painful swelling on all her toes, which started 10 days earlier when the weather was very cold. She used to walk around barefoot in a poorly insulated...
04/09/2012
hearing loss
hearing loss
04/09/2012
<p>Sudden hearing loss can be frightening for patients—and challenging for clinicians. One of the many causes is sensorineural hearing loss (SNHL); early recognition and treatment may improve the...
04/09/2012
alcohol abuse
alcohol abuse
04/09/2012
Ronald N. Rubin, MD
Forty-eight hours earlier, a 39-year-old man presented to the ED with emesis and severe upper abdominal pain of semi-acute onset.
04/09/2012
myocarditis
myocarditis
04/05/2012
Deepak Sharma, MD
<p><strong>ABSTRACT:</strong> Children with acute myocarditis often present with dyspnea at rest, exercise intolerance, syncope, tachypnea, tachycardia, and hepatomegaly. Various...
04/05/2012
gastritis
gastritis
04/05/2012
W. Clay Jackson, MD, DipTh; Julie W. Lemmon, MD; Suzanne K. Oss, MD
Eosinophilic gastritis is an autoimmune disorder that is a relatively uncommon cause of dyspepsia.
04/05/2012
mycetoma
mycetoma
04/05/2012
The characteristic lesions of “dyshidrotic” eczematous dermatitis can appear on soles, palms, and sides of toes and fingers.
04/05/2012
osteoarthritis
osteoarthritis
04/05/2012
After a galley door slammed shut on his right wrist, a 37-year-old deckhand sought medical attention.
04/05/2012
Allergic Rhinitis
Allergic Rhinitis
04/05/2012
Gregory W. Rutecki, MD
Allergic rhinitis is an inflammatory disorder of the nasal mucosa with pruritus, sneezing, rhinorrhea, and nasal congestion.
04/05/2012
radiology
radiology
04/05/2012
Jean Someshwar, MD; Linda S. Nield, MD; Nasira Roidad, MD
<p>A 20-year-old man with a history of 22q11.2 deletion syndrome and tetralogy of Fallot repair was concerned about a painful mass in his right upper arm. </p>
04/05/2012
Elderly Patients
Elderly Patients
04/05/2012
Hani Raoul Khouzam, MD, MPH
ABSTRACT: Treatment of depression in the elderly can be easily initiated and implemented in the primary care setting. If biological intervention is required, psychopharmacological therapy is relatively safe...
04/05/2012
physical examination
physical examination
04/05/2012
<p><em><img alt="" height="100" src="/sites/default/files/images/Screen%20shot%202012-04-09%20at%2011.39.06%20AM.png" style="float:left"...
04/05/2012
pertussis
pertussis
04/05/2012
Gregory W. Rutecki, MD
<p><img src="/sites/default/files/Screen%20shot%202012-04-05%20at%2010.46.41%20AM_0.png" width="90" height="90" style="float: left; margin: 5px;">My...
04/05/2012