Volume 51 - Issue 10 - October 2011

Consultant

Peer Reviewed
Peer Reviewed
10/05/2011
David L. Kaplan, MD
Chronic sun exposure produces actinic skin changes—referred to as dermatoheliosis—such as actinic comedones.
10/05/2011
10/05/2011
David L. Kaplan, MD
<p>A 50-year-old woman is concerned about a persistent white papule that erupted on her chest a few months ago. The lesion is asymptomatic.</p>
10/05/2011
10/05/2011
David L. Kaplan, MD
<p>A 42-year-old man presents with an asymptomatic, annular, keratotic lesion of several months’ duration on his upper arm.</p>
10/05/2011
10/05/2011
David L. Kaplan, MD
<p>A pruritic, papular eruption arose on a 38-year-old woman’s forehead 1 week earlier. A day before the rash erupted, the patient was given a permanent wave.</p>
10/05/2011
10/05/2011
Serle M. Epstein, MD, FACP
<p>Zamora-Chinchipe Province in Ecuador is home to about 90,000 people and abuts other Andean provinces of similar size. Most residents of this agrarian region are indigenous Shuar, Saraguro, or mixed...
10/05/2011
Interactive Features
Interactive Features
10/05/2011
<p>Does your patient who received last year’s influenza vaccine need to be revaccinated this fall? What about a child who was given 1 dose of vaccine last year—will 1 dose suffice this...
10/05/2011
Interactive Features
Interactive Features
10/05/2011
<p>Does your patient who received last year’s influenza vaccine need to be revaccinated this fall? What about a child who was given 1 dose of vaccine last year—will 1 dose suffice this...
10/05/2011
10/05/2011
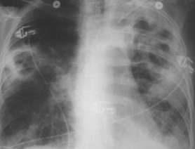
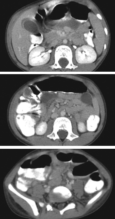
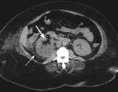
Shaun Isaac, MD
<p>A 48-year-old woman with a 50-pack year smoking history presented with worsening dyspnea and progressive weight loss of 25 lb over the previous 4 months. In addition, she had a...
10/05/2011
10/05/2011
<p><strong>Case 1:</strong> Rheumatoid vasculitis<br /> <strong>Case 2:</strong> Idiopathic dermatomyositis<br /> <strong>Case 3:</strong> Progressive...
10/05/2011
Epilepsy
Epilepsy
10/04/2011
Andrew S. Wong, BSc; Alexander K.C. Leung, MD, MBBS, FRCPC, FRCP
The clinical diagnosis of tuberous sclerosis complex (TSC) in this patient is based on the presence of facial angiofibromas and hypomelanotic macules
10/04/2011
10/04/2011
Halima S. Janjua, MD; Rose Ayoob, MD; John David Spencer, MD
Renal artery stenosis is an important cause of surgically correctable hypertension in children.
10/04/2011
10/04/2011
Eric Peeples, MD; Anthony Yaghmour, MD; Archana Chatterjee, MD, PhD; Meera Varman, MD
<p>A 4-year-old Latino boy with mosaic Turner syndrome (45,XY/45,XO) presented with fever, temperature up to 40.5ºC (105ºF), of 3 days’ duration. He also had swelling on the right side...
10/04/2011
10/04/2011
Gregory W. Rutecki, MD
<p>What has long been the “state of the art” for cervical cancer screening in primary care? Everyone would appropriately answer the Pap smear, of course. Has it worked? Despite false-positive and...
10/04/2011
10/04/2011
Gregory W. Rutecki, MD
<p>A curious thing happened along what has been a muddy and meandering road to health care reform. </p>
10/04/2011
10/04/2011
Natasha Sidhu, MD; Pisespong Patamasucon, MD
<p>A 4-year-old boy of Nicaraguan descent was hospitalized because of worsening perium<span>bilical abdominal pain. The pain began 6 days </span>earlier and was...
10/04/2011
10/04/2011
Tenecia Deans, MD; Stacy Higgins, MD
<p>For 4 days, a 62-year-old woman with type 2 diabetes mellitus had constant, severe, crampy abdominal pain associated with nausea, non-bloody emesis, and anorexia, but not fever. She reported that...
10/04/2011
10/04/2011
Noah S. Scheinfeld, MD, JD
<p>The most common ulcer on the lower back and buttocks is the decubitus ulcer (also known as the pressure sore, or bedsore). Most of these ulcers occur in elderly patients, particularly those who...
10/04/2011
Review Article
Review Article
10/04/2011
Rebecca Kowalczyk, MD; Sunanda Kane, MD, MSPH, FACG
<p>Inflammatory bowel disease (IBD) encompasses a variety of clinical signs and symptoms, and the diagnosis is made with a combination of modalities, including radiographic, endoscopic, and pathologic...
10/04/2011
Anticoagulants and Antiplatelet Agents
Anticoagulants and Antiplatelet Agents
10/04/2011
Ronald N. Rubin, MD; Vikram R. Paralkar, MD
<p>Heparin and warfarin have been mainstays of anticoagulation for decades. Advantages of these agents include their low cost and ready reversibility of anticoagulant effect; however, their major...
10/04/2011