Volume 51 - Issue 9 - September 2011

Consultant

09/09/2011
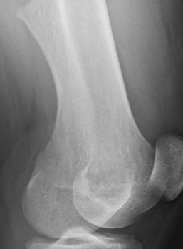
Roli Agrawal, MD; Sarah Kizilbash, MD; William Yaakob, MD
<p>An 18-year-old boy presents with pain and swelling of his left thigh that developed suddenly 2 days earlier. He denies any recent traumato the site, fevers, or weight loss.</p>
09/09/2011
Interactive Features
Interactive Features
09/09/2011
<p>The cornerstone of asthma management is patient education—and an active partnership between patients and their health care teams. Guidelines from the Expert Panel of the National Asthma Education...
09/09/2011
09/09/2011
Gregory W. Rutecki, MD
<p>Have you noticed that as central venous catheters, pacemakers, and defibrillators have become more common, complications consequent to their use, such as upper extremity...
09/09/2011
09/09/2011
The mucocutaneous lesions seen in these photographs—facial cutaneous papules and oral papillomas—are among the most constant diagnostic features of what disease?
09/09/2011
09/09/2011
L. Ashley Beech, MD; Rita K. Cydulka, MD; David Effron, MD
<p>A 58-year-old woman complains of generalized weakness, diplopia, and dysphagia. Symptoms began 1 week earlier and have progressively worsened. She can no longer walk without assistance. Has not...
09/09/2011
Ophthalmology
Ophthalmology
09/09/2011
David L. Kaplan, MD
Woman with atopic dermatitis has itchy eyelids that have bothered her intermittently for several years.
09/09/2011
09/08/2011
David L. Kaplan, MD
<p>This asymptomatic, light-colored patch appeared on a 16-year-old girl’s upper arm 1 month ago. For the past week, she has applied a topical antifungal cream, but the lesion...
09/08/2011
09/08/2011
David L. Kaplan, MD
<p>A 53-year-old woman is concerned about this asymptomatic, slow-growing lesion on her left cheek, which she first noticed a few months ago. She denies bleeding or pain.</p>
09/08/2011
09/08/2011
David L. Kaplan, MD
A 47-year-old woman cut her finger while chopping celery earlier in the week. For the past 4 days, she has applied an antibiotic ointment to the wound, but the site has become itchy and more red and...
09/08/2011
09/08/2011
<p><em>[Editor’s note: In his Top Papers of the Month column, “Biological Agents and the Risk of Mycobacterial Disease: A Primary Care Concern”...
09/08/2011
09/08/2011
<p>I enjoyed Dr Gregory Rutecki’s Top Papers of the Month column “The Ritual of Preoperative Consultation: Essential or Superfluous?” (CONSULTANT, June 2011, page 361), in which he mentioned that for...
09/08/2011
09/08/2011
Richard A. Honaker, MD
<p>On many of our patient charts, we have red, blue, and yellow dots to alert us to 3 particular problems:</p>
09/08/2011
09/08/2011
Christine Jones, NP
<p>Nocturia is often caused by non-urinary issues. During the physical examination, don’t forget to “look down” to detect lower extremity edema or cystocele in your female patients.</p>
09/08/2011
09/08/2011
Sunil Dacha, MD; Manjari Devidi, MD
<p>Patients with diabetic ketoacidosis (DKA) frequently have hyperglycemia. Serum sodium in these patients should not be corrected for hyperglycemia to calculate the anion gap for acidosis because...
09/08/2011
09/08/2011
Benjamin Barankin, MD, FRCPC
<p>For melasma that does not respond to over-the-counter hydroquinone creams coupled with excellent UV protection, try betamethasone valerate 0.1% cream mixed 1:1...
09/08/2011
09/08/2011
Gregory W. Rutecki, MD
<p>A recent issue of the <em>Annals of Internal </em><em>Medicine </em>focused on women’s health from a number of perspectives. Among the...
09/08/2011
09/08/2011
Sanjeev Y. Tuli, MD; Sonal S. Tuli, MD
<p>The mother of a 3-month-old boy brought her baby for evaluation of a generalized rash of 3 weeks’ duration. She had a similar severely itchy rash on her right shoulder and...
09/08/2011
Photoclinic
Photoclinic
09/08/2011
Fadi I. Jabr, MD; Tenn Nedaa Skeik, MD
A 64-year-old woman with a history of recurrent kidney stones presented with severe left flank pain radiating to the left lower quadrant of 4 days’ duration. She brought with her a large fragmented 70-mg...
09/08/2011
09/08/2011
Saleem Raza, MD; Rajan Arora, MD
<p>The family of a 3-year-old girl was concerned about a painful lump in her right palm that they suspected was the result of a spider bite. The lesion had developed 2 days earlier and had...
09/08/2011
Feature
Feature
09/08/2011
Noah S. Scheinfeld, MD, JD
The skin of elderly persons possesses a greater number of benign growths and neoplasms than the skin of younger and middle-aged persons.
09/08/2011
Feature
Feature
09/08/2011
Noah S. Scheinfeld, MD, JD
The skin of elderly persons possesses a greater number of benign growths and neoplasms than the skin of younger and middle-aged persons.
09/08/2011
Feature
Feature
09/08/2011
Noah S. Scheinfeld, MD, JD
The skin of elderly persons possesses a greater number of benign growths and neoplasms than the skin of younger and middle-aged persons.
09/08/2011
Pain
Pain
09/08/2011
Steven A. King, MD, MS
Chronic pain is a significant public health problem that affects over 100 million American adults.1Multiple guidelines have been propagated on the management of chronic pain, but many patients still suffer...
09/08/2011
What's The Take-Home?
What's The Take-Home?
01/20/2011
Ronald N. Rubin, MD
<p>During the past 2 days, a 29-year-old woman has noted shortness of breath when walking and taking care of her 4-week-old daughter. She never experienced such symptoms previously.</p>
01/20/2011