Volume 51 - Issue 5 - May 2011

Consultant

pruritic rash
pruritic rash
05/16/2011
<p><span style="font-family:arial,helvetica,sans-serif; font-size:12px">A 16-year-old boy joined the soccer team about 1 month earlier. Shortly thereafter, a persistent,...
05/16/2011
red rash resisted topical antifungals
red rash resisted topical antifungals
05/16/2011
A topical antifungal cream has not cleared the red, bumpy rash on a 6-year-old girl’s chin and paranasal area.
05/16/2011
stubborn lesion
stubborn lesion
05/16/2011
<p style="margin-top: 0px; margin-right: 0px; margin-bottom: 16px; margin-left: 0px;"><img src="/sites/default/files/Untitled-2.jpg" style="display: block; float: left;...
05/16/2011
versicolor
versicolor
05/16/2011
<p><img src="/sites/default/files/Untitled-1_0.jpg" width="250" height="163" style="border-style: none; display: block; border-width: 0px; margin-left: 8px;...
05/16/2011
Pain
Pain
05/13/2011
Ronald N. Rubin, MD
A 57-year-old man presents with pain in his left ankle. He denies trauma to the ankle or foot.
05/13/2011
Pain
Pain
05/13/2011
Ronald N. Rubin, MD
A 57-year-old man presents with pain in his left ankle. He denies trauma to the ankle or foot.
05/13/2011
Pain
Pain
05/13/2011
Ronald N. Rubin, MD
A 57-year-old man presents with pain in his left ankle. He denies trauma to the ankle or foot.
05/13/2011
Elfin Face
Elfin Face
05/13/2011
C. Pion Kao, MD; James S. Leung, BSc
<p><img src="/sites/default/files/Untitled-18.jpg" style="float: left; margin-left: 4px; margin-right: 4px;" width="100" height="168"></p><p>A...
05/13/2011
ACE Inhibitor and ARB Combination Therapy
ACE Inhibitor and ARB Combination Therapy
05/13/2011
Gregory W. Rutecki, MD
ARBs were initially developed because ACE inhibitors were associated with “escape.” That is, after initial blockade of the RAAS with ACE inhibitors (at the step of angiotensin I to II conversion), renin...
05/13/2011
Crepitus
Crepitus
05/13/2011
Andrew L. Chan, MD, MB, FCCP, FRCP; Chandan Saw, DO
<p><img src="/sites/default/files/Untitled-4.jpg" width="200" height="183" style="float: left; margin-left: 8px; margin-right: 8px;"></p><p>A...
05/13/2011
Port-Wine Stain and Leg Hypertrophy
Port-Wine Stain and Leg Hypertrophy
05/13/2011
Richard W. Hartmann, Jr., MD
<p><img src="/sites/default/files/Untitled-19.jpg" style="margin-left: 8px; margin-right: 8px; float: left;" width="200" height="101">This newborn was...
05/13/2011
and Varicosities
and Varicosities
05/13/2011
Barbara B. Wilson, MD; Bridget M. Bryer Groff, MD; Adam A. Martin, MD
<p><img src="/sites/default/files/Untitled-9_0.jpg" style="margin-left: 8px; margin-right: 8px; float: left;" width="142" height="271">A 7-year-old girl...
05/13/2011
Kaposi Varicelliform Eruption
Kaposi Varicelliform Eruption
05/13/2011
John Cole, MD; Kathy Kobraei, MD; Lauren N. Elliot, MD
<p><img src="/sites/default/files/Untitled-10.jpg" style="margin-left: 8px; margin-right: 8px; float: left;" width="200" height="108">A 46-year-old man...
05/13/2011
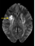
Cerebral Venous Sinus Thrombosis
Cerebral Venous Sinus Thrombosis
05/13/2011
Dalia Hammoud, MD; Bout Rosel Haddad, MD; Georges El Homsy, MD
<p><img src="/sites/default/files/images/May_figA%26B_CTscan.jpg" style="margin-left: 8px; margin-right: 8px; float: left;" width="250" height="149">A...
05/13/2011
Gastroesophageal reflux disease and Inhalers
Gastroesophageal reflux disease and Inhalers
05/13/2011
Girish B. Nair, MD, FACP, FCCP; Jonathan S. Ilowite, MD, FCCP
<p><strong>ABSTRACT: There are a number of options to consider in patients with difficult to control asthma. Education can help improve compliance with inhaled corticosteroid therapy or correct...
05/13/2011
Peripheral Artery Disease
Peripheral Artery Disease
05/13/2011
Gregory W. Rutecki, MD
<P><IMG style="FLOAT: left; MARGIN-LEFT: 8px; MARGIN-RIGHT: 8px" src="/sites/default/files/images/Gregory%20W%20Rutecki%2C%20MD.jpg" width=150 height=176>Recently published...
05/13/2011
Lambl Excrescences
Lambl Excrescences
05/12/2011
Gregory W. Rutecki, MD; Catherine Manolakis, MD; Charles I. Bie, MD
<p><img src="/sites/default/files/images/May_MRI_Scan_2011.jpg" style="float: left; margin-left: 8px; margin-right: 8px;" height="135" width="100">A...
05/12/2011
Chronic Fatigue
Chronic Fatigue
05/12/2011
Hani Raoul Khouzam, MD, MPH
<p><img alt="" height="112" src="/sites/default/files/images/adrenal_insufficiency_2011.jpg" style="float:left" width="100" />Among the symptoms...
05/12/2011
prevention
prevention
05/12/2011
Jacqueline Bradley, MD; C. Noel Bairey Merz, MD
Coronary artery disease (CAD) continues to be the leading cause of mortality and morbidity in the United States.
05/12/2011