Volume 47 - Issue 1 - January 2007

Consultant

Diabetic Retinopathy
Diabetic Retinopathy
04/01/2016
Leonid Skorin, Jr., DO, MS, OD
A woman reported a red jagged area in her right eye, along with many dark red spots and streaks in that eye.
04/01/2016
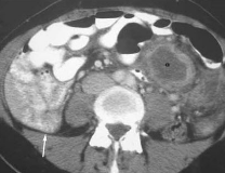
Bowel Malrotation
Bowel Malrotation
04/28/2011
<div id="article-content-body"> <p><img alt="" src="/sites/default/files/images/ConPCAppenA.jpg" style="height:119px; margin-left:8px; margin-right:8px;...
04/28/2011
Avian Flu
Avian Flu
04/28/2011
Humans acquire avian influenza viruses chiefly through direct contact of the mucous membranes with secretions or excreta from infected birds or contaminated poultry products.
04/28/2011
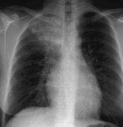
Chest pain
Chest pain
04/28/2011
Navin M. Amin, MD
<div id="article-content-body"><p><strong><img src="/sites/default/files/images/ConWWTPIB.jpg" width="150" height="166" style="margin-left:...
04/28/2011
stuff
stuff
04/28/2011
Gregory W. Rutecki, MD
Television ads promote a quick pharmaceutical "fix" for erectile dysfunction (ED). The afferent limb is greater recognition of the problem by health care providers and the lay public. The efferent...
04/28/2011
Sudden Illness
Sudden Illness
04/28/2011
David Effron, MD
<div id="article-content-body"> <p><strong><img alt="" src="/sites/default/files/images/ConPFCystFg.jpg" style="height:75px; margin-left:8px;...
04/28/2011
Nasal Symptoms
Nasal Symptoms
04/28/2011
Fadi I. Jabr, MD
<div id="article-content-body"><p>Many patients with postnasal drip syndrome, allergic rhinitis, or sinusitis use nasal saline solution erratically and only a few drops at a time....
04/28/2011
Tinea Corporis
Tinea Corporis
04/28/2011
Robert P. Blereau, MD
<div id="article-content-body"><p><img src="/sites/default/files/images/Tinea_Corporis.jpg" style="margin-left: 8px; margin-right: 8px; float: left;"...
04/28/2011
Disciform Macular Scarring
Disciform Macular Scarring
04/28/2011
Leonid Skorin, Jr., DO, MS, OD
<div id="article-content-body"><p><img src="/sites/default/files/images/ConPESkorC2b.jpg" style="margin-left: 8px; margin-right: 8px; float: left;"...
04/28/2011
Aspirin
Aspirin
04/28/2011
Joshua Grossman, MD
<div id="article-content-body"><p>Encourage patients with cardiovascular risk factors who are not allergic to <span class="DrugLink">aspirin...
04/28/2011
Becker Nevus
Becker Nevus
04/28/2011
<div id="article-content-body"><p><img src="/sites/default/files/images/ConPCBeck.jpg" style="float: left; margin-left: 8px; margin-right: 8px;"...
04/28/2011
Complications of Diabetes Mellitus
Complications of Diabetes Mellitus
04/28/2011
Leonid Skorin, Jr., DO, MS, OD
<div id="article-content-body"><p><img src="/sites/default/files/images/ConPESkorC4.jpg" width="150" height="131" style="float: left; margin-left:...
04/28/2011
Hypothermia
Hypothermia
04/28/2011
Selim Krim, MD; Rey Vivo, MD; John Hodgson, MD, FSCAI, FACC
<div id="article-content-body"> <p><em><img alt="" src="/sites/default/files/images/ConCPVivo2.jpg" style="height:109px; margin-left:8px;...
04/28/2011
Progressive Macular Degeneration
Progressive Macular Degeneration
04/28/2011
Leonid Skorin, Jr., DO, MS, OD
<div id="article-content-body"><p><img src="/sites/default/files/images/ConPESkorC5b.jpg" style="margin-left: 8px; margin-right: 8px; float: left;"...
04/28/2011
Cardiac Arrest Rhythms
Cardiac Arrest Rhythms
04/28/2011
William J. Brady, MD; Richard A. Harrigan, MD; Theodore Chan, MD
<p><strong></strong><img src="/sites/default/files/images/ConECGTxt.jpg" style="margin-left: 8px; margin-right: 8px; float: left;" width="150"...
04/28/2011
Unusual Injury to the Mouth
Unusual Injury to the Mouth
04/28/2011
Teresa Holtrop, MD
<div id="article-content-body"><p><strong><img src="/sites/default/files/images/ConCPHolF2.jpg" style="margin-left: 8px; margin-right: 8px; float: left;"...
04/28/2011
Stasis dermatitis
Stasis dermatitis
04/28/2011
David L. Kaplan, MD
<p><img src="/sites/default/files/old/img_4db97256db74a.jpg" alt="Figure" style="margin-left: 8px; margin-right: 8px; float: left;" class="imageBorderBlue"...
04/28/2011
Heat Therapy
Heat Therapy
04/28/2011
Diane M. Purcell
<div id="article-content-body"><p>Suggest that patients make a "rice sock" whenever they have a musculoskeletal injury, abscess, stye, or other condition that might benefit...
04/28/2011
JVP Examination
JVP Examination
04/28/2011
Eleni Patrozou, MD
<div id="article-content-body"><p>To facilitate the assessment of jugular venous pressure, shine a beam of light tangentially across the skin overlying the jugular vein while the...
04/28/2011
Bacterial Scourge
Bacterial Scourge
04/28/2011
Gregory W. Rutecki, MD
<div id="article-content-body"><p>With the significant rise in methicillin-resistant Staphylococcus aureus (MRSA) infections, a small rise in the number of cases of Clostridium...
04/28/2011
Retinal Hemorrhage
Retinal Hemorrhage
04/28/2011
Leonid Skorin, Jr., DO, MS, OD
<div id="article-content-body"><p><img src="/sites/default/files/images/ConPESkorC1a.jpg" style="margin-left: 8px; margin-right: 8px; float: left;"...
04/28/2011
stuff
stuff
04/28/2011
With regard to monitoring therapy, I rely on TSH levels. Hypothyroid symptoms are notoriously unreliable indicators.
04/28/2011
Bilateral Unexplained Upper-Thigh Bruises
Bilateral Unexplained Upper-Thigh Bruises
04/28/2011
Sweet F. Ver, MD; Henry Schneiderman, MD
<div id="article-content-body"><p><img src="/sites/default/files/old/img_4db9724f7a9af.jpg" style="margin-left: 8px; margin-right: 8px; float: left;"...
04/28/2011