Volume 47 - Issue 2 - February 2007

Consultant

impetigo
impetigo
04/28/2011
Noah S. Scheinfeld, MD, JD
<div id="article-content-body"><p><img src="http://imaging.cmpmedica.com/consultantlive/images/articles/2007/01022007/0702ConPESkin3ImpB.jpg" style="margin-right:...
04/28/2011
diabetic
diabetic
04/28/2011
Edward Shahady, MD
OA is the most common cause of musculoskeletal complaints in older patients.
04/28/2011
allergic reaction
allergic reaction
04/28/2011
<div id="article-content-body"><p>A thriving boy was brought to the office 3 weeks after his first birthday. His mother reported that there was "something wrong with his...
04/28/2011
Folliculitis
Folliculitis
04/28/2011
Noah S. Scheinfeld, MD, JD
<div id="article-content-body"><p><img src="http://imaging.cmpmedica.com/consultantlive/images/articles/2007/01022007/0702ConPESkin3FolA.jpg" style="padding-bottom:...
04/28/2011
Severe Abdominal Pain
Severe Abdominal Pain
04/28/2011
Ronald N. Rubin, MD
<div id="article-content-body"> <p>A 48-year-old woman is evaluated for transfer to the ICU. She presented to the emergency department 48 hours ago with severe abdominal pain and...
04/28/2011
Cellulitis and Erysipelas
Cellulitis and Erysipelas
04/28/2011
Noah S. Scheinfeld, MD, JD
<div id="article-content-body"><p>Declining cardiovascular function, poor circulation, diabetes, obesity, cancer, immunodeficiency, renal disease, and thinned, xerotic skin provide the...
04/28/2011
Chronic Kidney Disease
Chronic Kidney Disease
04/28/2011
<p>I read with interest Dr Gregory Rutecki's remarks about the need to implement in our practices the evidence-based guidelines for the care of patients with CKD. In my view, the dilemma is not...
04/28/2011
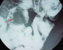
Kidney Stones
Kidney Stones
04/28/2011
Gregory W. Rutecki, MD
<div id="article-content-body"><img alt="" src="/sites/default/files/images/Gregory%20W%20Rutecki%2C%20MD.jpg" style="height:176px; margin-left:8px;...
04/28/2011
Acute Glomerulonephritis
Acute Glomerulonephritis
04/28/2011
Lisa Wray, MD; Anthony A. Donato, MD
<div id="article-content-body"><em><img alt="" src="/sites/default/files/images/ConCPDonato1.jpg" style="height:256px; margin-left:8px; margin-right:8px;...
04/28/2011
Colorectal Cancer Screening
Colorectal Cancer Screening
04/28/2011
Shayan Irani, MD; Benjamin Krevsky, MD, MPH
<div id="article-content-body"> <p><strong>ABSTRACT: Screening options for colorectal cancer (CRC) include colonoscopy every 10 years, annual fecal occult blood testing, flexible...
04/28/2011
Floppy Eyelid Syndrome
Floppy Eyelid Syndrome
04/28/2011
For several days, the left eye and eyelids of a 60-year-old obese man had been red and irritated. The symptoms were worse in the morning after waking. The patient had recently started wearing a nighttime...
04/28/2011
physical diagnosis
physical diagnosis
04/28/2011
Henry Schneiderman, MD
<div id="article-content-body"> <p>Seventeen years ago, "What's Your Diagnosis?" was launched as a monthly service in CONSULTANT. The feature was developed with Dr...
04/28/2011
Right-Sided Infective Endocarditis
Right-Sided Infective Endocarditis
04/28/2011
<div id="article-content-body"> <p><img alt="" src="/sites/default/files/images/ConPCEndoA.jpg" style="height:135px; margin-left:8px; margin-right:8px;...
04/28/2011
Jejunal Metastasis
Jejunal Metastasis
04/28/2011
<div id="article-content-body"> <p><img alt="" src="/sites/default/files/images/ConPCJejun.jpg" style="height:119px; margin-left:8px; margin-right:8px;...
04/28/2011
Review Article
Review Article
04/28/2011
Nina H. Patel, DO; John R. Holman, MD, MPH
Heel pain that occurs with the first several steps in the morning and diminishes as walking continues is the classic symptom of plantar fasciitis.
04/28/2011
Heart failure
Heart failure
04/28/2011
Matthew J. Sorrentino, MD
<div id="article-content-body"><p><strong>ABSTRACT: Angiotensin-converting enzyme (ACE) inhibitor therapy is recommended for all patients with heart failure (HF) and a reduced...
04/28/2011
Granuloma Annulare
Granuloma Annulare
04/28/2011
David L. Kaplan, MD
<div style="width: 100px;"><img src="/sites/default/files/old/img_4db9722a045b0.jpg" alt="Figure" style="float: left; margin-left: 8px; margin-right: 8px;"...
04/28/2011
Chest pain
Chest pain
04/28/2011
William J. Brady, MD; Richard A. Harrigan, MD; Theodore Chan, MD
<p><img src="/sites/default/files/images/ConECG1.jpg" width="200" height="56" style="margin-left: 8px; margin-right: 8px; float: left;">An 80-year-old man...
04/28/2011
Lymphangioma Circumscriptum
Lymphangioma Circumscriptum
04/28/2011
Jonathan Stuart Crane, DO, MD; Ronald P. Benjamin; John D. Schoonmaker, PA-C
<div id="article-content-body"><p><img src="http://imaging.cmpmedica.com/consultantlive/images/articles/2007/01022007/0702ConPCLymph_thumbnail.jpg"...
04/28/2011
therapist
therapist
04/28/2011
Susan M. Murphy, RN, MSN
<div id="article-content-body"> <p>Exercise is a key part of your care plan. It promotes strength and flexibility, helps you maintain a healthy weight, reduces pain, and improves...
04/28/2011