Volume 61 - Issue 8 - August 2021

Consultant

Featured
Endocrinology
Endocrinology
08/09/2021
The optimal dietary goal to achieve therapeutic glucose and lipid levels in patients with type 2 diabetes remains unclear. This review aims to summarize existing evidence from systematic reviews and...
08/09/2021
Photoclinic
Photoclinic
02/23/2023
A 74-year-old man with a history of oxygen-dependent chronic obstructive pulmonary disease, hypertension, tobacco use disorder, recurrent left pleural effusion, and latent tuberculosis was admitted at an...
02/23/2023
Case in point
Case in point
01/25/2023
The patient is a 30-year-old woman with a 10-year history of episodic severe anxiety that is characterized by aggressive self-induced vomiting and that cannot be redirected.
01/25/2023
Diabetes Q&A
Diabetes Q&A
11/16/2022
Diabetes prevention and adequate management is essential for preventing progression of chronic kidney disease. Preventive measures should include blood pressure and glucose control with initiation of...
11/16/2022
Tumors
Tumors
11/04/2022
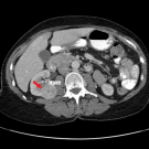
A 61-year-old woman with a history of bladder prolapse and normal kidney function developed complications after a recent laparoscopic sacral colpopexy for urinary incontinence. Computed tomography scans...
11/04/2022
photoclinic
photoclinic
10/11/2022
A 64-year-old Nigerian man with no pertinent medical history was admitted to the hospital for evaluation of the recurrence of a painful left axillary nodule.
10/11/2022
Dermatologic Conditions
Dermatologic Conditions
08/20/2021
This article is part of a series describing and differentiating dermatologic lumps and bumps. In part 7, smegma pearl and penile lichen sclerosus are described.
08/20/2021
Pediatrics
Pediatrics
08/13/2021
A 6-year-old boy with obesity presented to the clinic with a 7-month history of worsening “bruising” scattered across his entire body. His mother had initially noted a small purplish-brown lesion on his...
08/13/2021
Viral Infections
Viral Infections
08/06/2021
There are numerous similarities between polio and COVID-19. Fear and anxiety is gripping the entire world. Public health measures have been implemented, social distancing has been put into effect, and the...
08/06/2021
Awareness
Awareness
08/04/2021
August is National Immunization Awareness Month and Psoriasis Awareness Month. In recognition of these important topics, Consultant360 has compiled a list of valuable resources for you and your colleagues. ...
08/04/2021
Dermatologic Conditions
Dermatologic Conditions
08/04/2021
A 50-year-old man presented to the dermatology clinic for a routine skin examination. On physical examination, the patient had multiple asymptomatic, pale yellow, slightly raised, linear plaques on his...
08/04/2021
Pain Management
Pain Management
08/04/2021
A previously healthy 24-year-old man was working at his job as an automechanic when he acutely developed pleuritic chest pain on the right side and dyspnea. The pain was initially sharp and prompted him to...
08/04/2021
Photoclinic
Photoclinic
11/09/2020
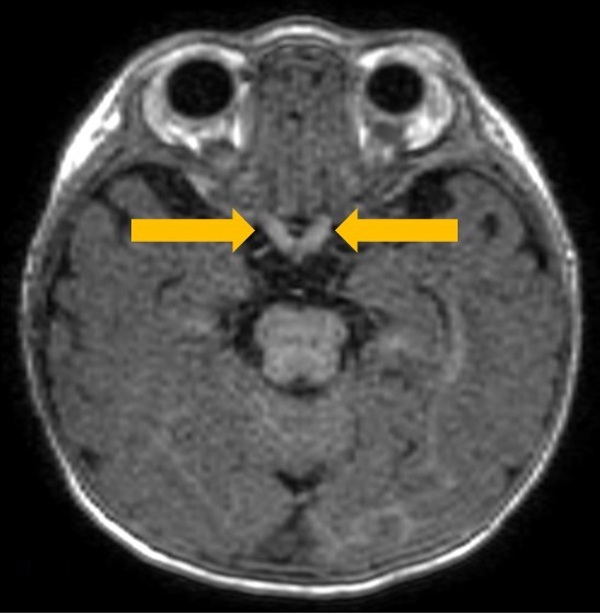
A 5-month-old boy presented with decreased oral intake and poor urine output. On admission, he was hypertonic and irritable. The boy’s parents reported worsening irritability since birth, poor weight gain...
11/09/2020
Viral Infections
Viral Infections
08/12/2020
We report the management conundrum involving the case of a newborn boy whose initial nasopharyngeal test results were positive for COVID-19, born to a mother suspected to have COVID-19 but whose test...
08/12/2020