Volume 60 - Issue 8 - August 2020

Consultant

Case In Point
Case In Point
07/15/2022
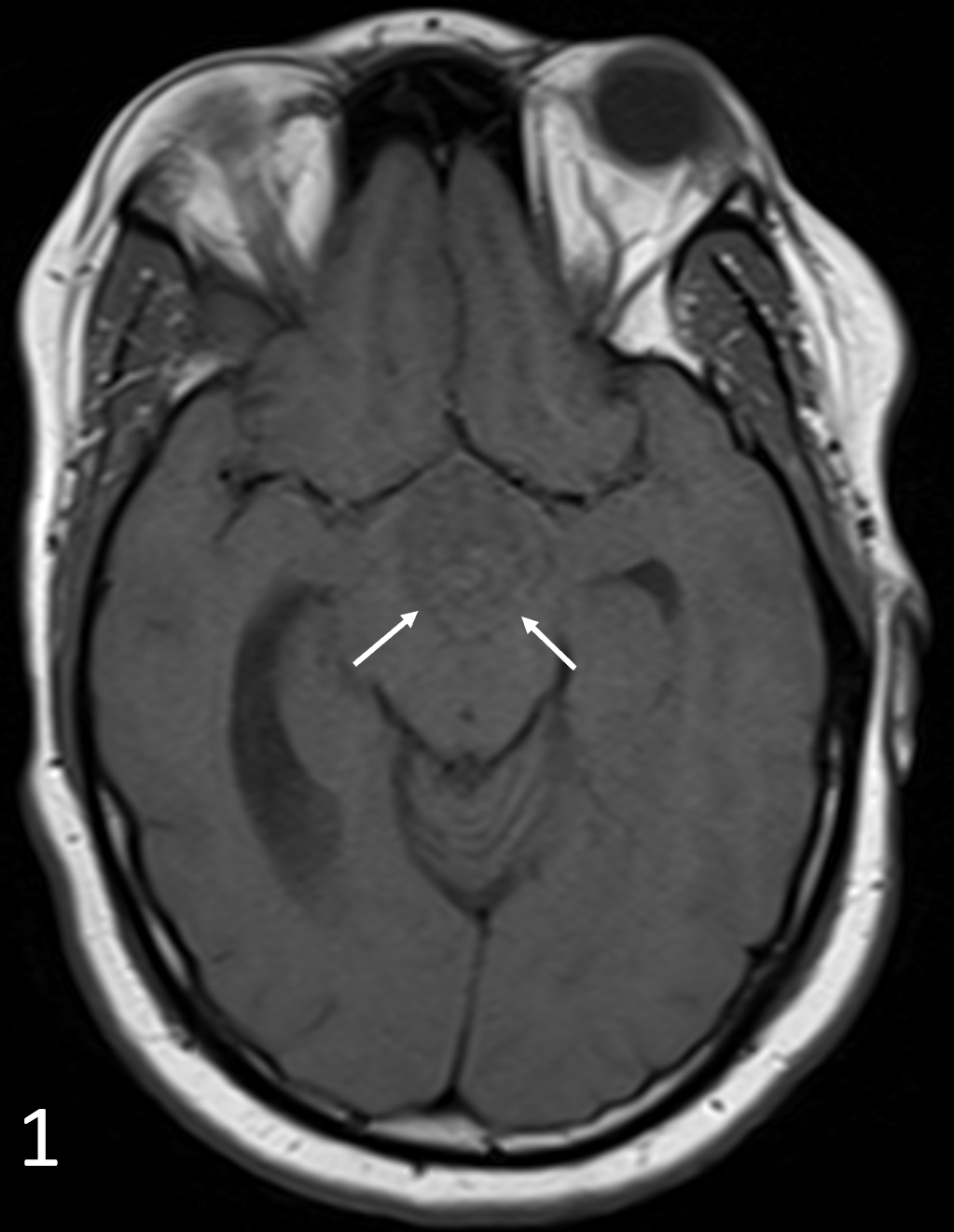
A 36-year-old man was referred to a psychiatry practice for a years-long history of migraines that had been unresponsive to treatment with numerous medications. The patient had sustained a significant TBI...
07/15/2022
Review Article
Review Article
06/03/2022
Attention-deficit/hyperactivity disorder is the childhood mental health condition for which pharmacotherapy is best understood. But stimulants “fail” to assist many patients with ADHD, and this presents a...
06/03/2022
Photo Essay
Photo Essay
04/06/2022
This article is part 10 of a 15-part series of Photo Essays describing and differentiating conditions affecting the nails. This section discusses psoriatic nails, which affects up to 90% of patients with...
04/06/2022
Photoclinic
Photoclinic
04/01/2022
A 67-year-old woman with a history of irritable bowel syndrome (IBS) and diverticulitis presented to her primary care provider for evaluation of a leg wound. Over the course of a few days, the patient had...
04/01/2022
Diabetes Q&A
Diabetes Q&A
06/25/2021
The Centers for Medicare and Medicaid Services have expanded access to telehealth medicine during the COVID-19 pandemic, and many institutions have developed systems for commercial and Medicaid/Medicaid...
06/25/2021
Diabetes Q&A
Diabetes Q&A
06/25/2021
The Centers for Medicare and Medicaid Services have expanded access to telehealth medicine during the COVID-19 pandemic, and many institutions have developed systems for commercial and Medicaid/Medicaid...
06/25/2021
Case In Point
Case In Point
06/04/2021
An 87-year-old gravida 2, para 2, postmenopausal woman with a history of vaginal vault prolapse and cystocele presented for a pessary fitting. She recently had been fitted for a size 5 pessary ring;...
06/04/2021
What's the Take Home?
What's the Take Home?
11/23/2020
An 18-year-old boy has collapsed during a football practice. He is a high-school varsity player in a Southern city, and he has been attending the late summer (last 2 weeks in August) obligatory practices...
11/23/2020
Photoclinic
Photoclinic
05/13/2020
A 30-year-old woman presented with a syncopal episode 3 days prior. She reported having stood up from the kitchen table, becoming dizzy, and falling to the floor. She felt that she was “out for seconds.”...
05/13/2020
Photoclinic
Photoclinic
05/13/2020
A 77-year-old man presented to the emergency department with bilateral lower extremity weakness. He had undergone 4-vessel coronary artery bypass graft surgery approximately 4 years previously and...
05/13/2020