Skip to main content
Menu
Menu
Main navigation
Home
Education
Featured Topics
AAEM 32nd Annual Scientific Assembly
Depression Care 360
Emergency Medicine Excellence Forum
Emergency Medicine
GSK Partner Spotlight
Gynecologic Oncology
HIV Management
HIV Prevention
Migraine Excellence Hub
Severe Hypertriglyceridemia (sHTG)
Transthyretin Amyloid Cardiomyopathy (ATTR-CM)
Vaccines
Resources
Atlas of Lumps and Bumps
Case Presentations
Commentary
Disease State and Specialty Directory
FDA Alerts
Multidisciplinary Roundtables
Pearls
Podcasts
Polls
Q&A
Quizzes
Research Summaries
Slideshows
Videos
Featured Conferences
67th ASH Annual Meeting & Exposition
AAEM 32nd Annual Scientific Assembly
AANA 2025 Annual Congress
ANESTHESIOLOGY Annual Meeting
AANP National Conference
AAOMS 107th Annual Meeting
AAPM - PainConnect 2025
ACOG Annual Clinical & Scientific Meeting
ACR Convergence
ADA 85th Scientific Sessions
American Academy of Orthopaedic Surgeons 2025 Annual Meeting
American Association of Clinical Endocrinology 2025
American College of Cardiology 2025 Annual Meeting
American College of Foot and Ankle Surgeons 2025
American College of Physicians Internal Medicine Meeting
American Society of Clinical Oncology 2025
American Society of Hematology Annual Meeting & Exposition
APG Spring Conference 2025
APMA 2025 Annual Scientific Meeting
ASCO Annual Meeting
ASCRS Annual Scientific Meeting
ASHP Midyear Clinical Meeting and Exhibition
ASMBS 2025 Annual Meeting
ASRA Spring 2025
Consultant360's Practical Updates in Primary Care
Conference on Retroviruses and Opportunistic Infections
ENDO 2025
Kidney Week 2025
NCQA Health Innovation Summit
Plastic Surgery: The Meeting
SGO Annual Meeting on Women's Cancer
Society of Gynecologic Oncology Annual Meeting
Society of Hematologic Oncology's Annual Meeting
Society of Hospital Medicine Converge
Clinical Updates
Allergic Asthma
Alzheimer Disease
Atopic Dermatitis
Cardiovascular Disease
Chronic Obstructive Pulmonary Disease
COVID-19
Endometrial Cancer
Endometrial Hyperplasia
Endometriosis
Eosinophilic Disorders
Exocrine Pancreatic Insufficiency
Familial Chylomicronemia Syndrome
Generalized Pustular Psoriasis
Major Depressive Disorder
Myelofibrosis
Nasal Polyps
Ovarian Cancer
Rheumatoid Arthritis
Schizophrenia
Ulcerative Colitis
Uterine Polyps
Publication
About Consultant
Advertising With Consultant360
Author Guidelines
Call for Papers
Case Report Templates
Consultant Current Issue
Consultant Archive
Consultant Early View
FAQ
Get Permissions
Get Permissions
Search
Contact
Login
Menu
Menu
Main navigation
Home
Education
Featured Topics
AAEM 32nd Annual Scientific Assembly
Depression Care 360
Emergency Medicine Excellence Forum
Emergency Medicine
GSK Partner Spotlight
Gynecologic Oncology
HIV Management
HIV Prevention
Migraine Excellence Hub
Severe Hypertriglyceridemia (sHTG)
Transthyretin Amyloid Cardiomyopathy (ATTR-CM)
Vaccines
Resources
Atlas of Lumps and Bumps
Case Presentations
Commentary
Disease State and Specialty Directory
FDA Alerts
Multidisciplinary Roundtables
Pearls
Podcasts
Polls
Q&A
Quizzes
Research Summaries
Slideshows
Videos
Featured Conferences
67th ASH Annual Meeting & Exposition
AAEM 32nd Annual Scientific Assembly
AANA 2025 Annual Congress
ANESTHESIOLOGY Annual Meeting
AANP National Conference
AAOMS 107th Annual Meeting
AAPM - PainConnect 2025
ACOG Annual Clinical & Scientific Meeting
ACR Convergence
ADA 85th Scientific Sessions
American Academy of Orthopaedic Surgeons 2025 Annual Meeting
American Association of Clinical Endocrinology 2025
American College of Cardiology 2025 Annual Meeting
American College of Foot and Ankle Surgeons 2025
American College of Physicians Internal Medicine Meeting
American Society of Clinical Oncology 2025
American Society of Hematology Annual Meeting & Exposition
APG Spring Conference 2025
APMA 2025 Annual Scientific Meeting
ASCO Annual Meeting
ASCRS Annual Scientific Meeting
ASHP Midyear Clinical Meeting and Exhibition
ASMBS 2025 Annual Meeting
ASRA Spring 2025
Consultant360's Practical Updates in Primary Care
Conference on Retroviruses and Opportunistic Infections
ENDO 2025
Kidney Week 2025
NCQA Health Innovation Summit
Plastic Surgery: The Meeting
SGO Annual Meeting on Women's Cancer
Society of Gynecologic Oncology Annual Meeting
Society of Hematologic Oncology's Annual Meeting
Society of Hospital Medicine Converge
Clinical Updates
Allergic Asthma
Alzheimer Disease
Atopic Dermatitis
Cardiovascular Disease
Chronic Obstructive Pulmonary Disease
COVID-19
Endometrial Cancer
Endometrial Hyperplasia
Endometriosis
Eosinophilic Disorders
Exocrine Pancreatic Insufficiency
Familial Chylomicronemia Syndrome
Generalized Pustular Psoriasis
Major Depressive Disorder
Myelofibrosis
Nasal Polyps
Ovarian Cancer
Rheumatoid Arthritis
Schizophrenia
Ulcerative Colitis
Uterine Polyps
Publication
About Consultant
Advertising With Consultant360
Author Guidelines
Call for Papers
Case Report Templates
Consultant Current Issue
Consultant Archive
Consultant Early View
FAQ
Get Permissions
Get Permissions
Volume 58 - Issue 9 - September 2018
Consultant
Photoclinic
Photoclinic
Bilateral Developmental Dysplasia of the Hip
05/25/2022
A 12-year-old girl presented to with left-sided hip pain and a limp that had been progressively worsening over the past 8 months.
05/25/2022
Photoclinic
Photoclinic
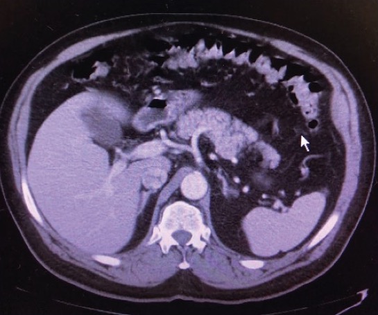
Gadolinium-Induced Acute Pancreatitis
11/01/2019
A 56-year-old man with a history of recently diagnosed nasopharyngeal neoplasm presented with 2 months of sinus congestion and headache.
11/01/2019
Photoclinic
Photoclinic
Crohn Disease
09/11/2019
A previously healthy 7-year-old boy presented after 3 weeks of recurrent fevers, left lower-extremity pain, and mild diarrhea.
09/11/2019
Article
Article
Sjögren Syndrome: Clinical Manifestations, Diagnosis, and Management
07/29/2019
Sjögren syndrome is a systemic autoimmune disease characterized mainly by the presence of keratoconjunctivitis sicca and xerostomia.
07/29/2019
Photoclinic
Photoclinic
Colonic Intussusception Due to Mucinous Appendiceal Adenocarcinoma
06/12/2019
A 51-year-old woman with a history of irritable bowel syndrome and hypothyroidism presented to the emergency department with worsening abdominal pain for a period of 24 hours.
06/12/2019
Pulmonary Pitfalls
Pulmonary Pitfalls
Challenging the Diagnosis of Asthma With Methacholine
05/20/2019
A patient with a history of hay fever and smoking has wheezing, a productive cough, and dyspnea—it must be asthma. Or is it?
05/20/2019
What's Your Diagnosis?
What's Your Diagnosis?
What Is the Cause of This Patient’s Ocular Symptoms?
09/07/2018
An 87-year-old woman presented with a several-month history of persistent swelling and pain of the medial aspect of the right superior eyelid.
09/07/2018