Volume 58 - Issue 8 - August 2018

Consultant

Photoclinic
Photoclinic
09/09/2021
A 90-year-old white woman with poorly differentiated squamous cell lung carcinoma presented for evaluation of a submammary and inguinal rash.
09/09/2021
What's the Take Home?
What's the Take Home?
07/16/2019
A 48-year-old man who had had fever and malaise for several days presented for clinical evaluation. He had been well until approximately 3 days previously, when he had awakened at night feeling feverish and...
07/16/2019
Feature
Feature
11/06/2018
Authors: Alexander K. C. Leung, MD, and Alexander A. C. Leung, MD
11/06/2018
Dermclinic
Dermclinic
11/04/2018
Author:  David L. Kaplan, MD—Series Editor Citation:
11/04/2018
Photoclinic
Photoclinic
09/20/2018
A 56-year-old man with history of end-stage renal disease secondary to diabetic nephropathy had been on hemodialysis since 2012; he also had hypertension and hepatitis C virus (HCV) infection.
09/20/2018
Dermclinic
Dermclinic
08/29/2018
This 58-year-old man presented for the sudden onset of an asymptomatic but dramatic change in color of a lesion that had been on his forearm for several months.
08/29/2018
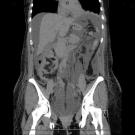
Case In Point
Case In Point
08/28/2018
A 64-year-old man was referred to a hepatology clinic for evaluation of ascites. He had type 2 diabetes mellitus, coronary artery disease, hypertension, hyperlipidemia, and end-stage renal disease (ESRD). ...
08/28/2018
Dermclinic
Dermclinic
08/21/2018
This patient returned to Kansas City from Florida with a 2-day history of this tender pustular eruption on both lower extremities.
08/21/2018
Photoclinic
Photoclinic
08/20/2018
A 27-year-old woman underwent uncomplicated laparoscopic right oophorectomy for a dermoid ovarian cyst. Her postprocedural recovery had been uneventful, and she had been discharged home the same day.
08/20/2018
Photoclinic
Photoclinic
08/13/2018
A 34-year-old woman presented with a history of bilateral galactorrhea for the past 4 years. She also reported having amenorrhea and chronic low-grade persistent headache.
08/13/2018
Photoclinic
Photoclinic
08/13/2018
A 17-year-old black girl, a new immigrant from Ethiopia to Israel, presented for a routine checkup. Her medical history was unremarkable, and physical examination findings were normal.
08/13/2018