Volume 58 - Issue 10 - October 2018

Consultant

Case in Point
Case in Point
04/26/2022
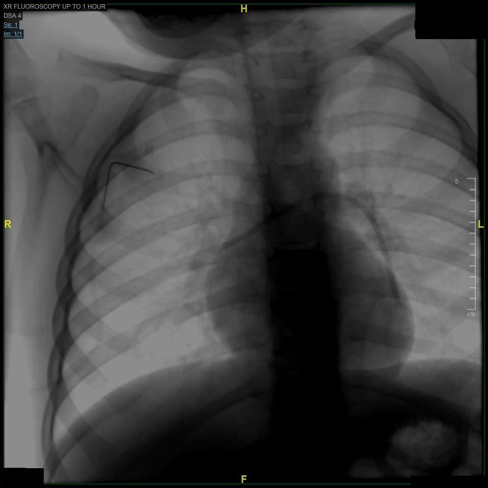
A 23-year-old white man presented to the emergency department with nonradiating epigastric abdominal pain accompanied by nausea and vomiting for 2 to 3 days.
04/26/2022
Photoclinic
Photoclinic
05/24/2019
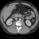
An 80-year-old man underwent a colonoscopy as part of postoperative surveillance. His medical history was significant for colon resection 12 months previously for an invasive adenocarcinoma.
05/24/2019
What's the Take Home?
What's the Take Home?
12/27/2018
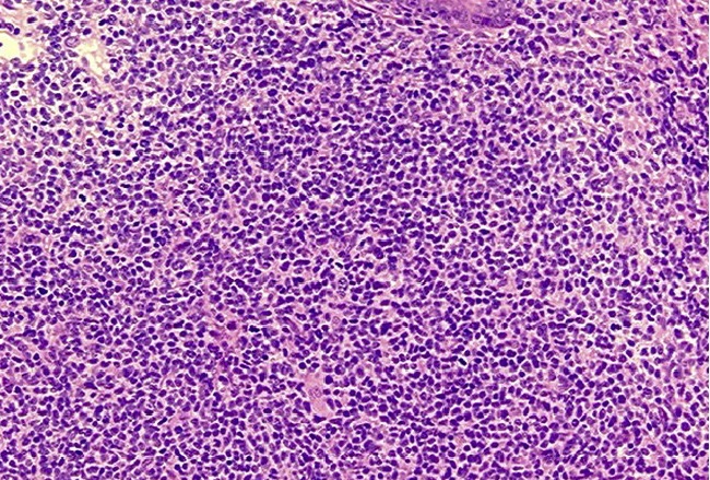
A 32-year-old woman was referred by her dentist for evaluation of a possible bleeding disorder. She had been otherwise well but had begun to notice gum bleeding of unusual severity with brushing.
12/27/2018
Photoclinic
Photoclinic
11/07/2018
Authors: Vaibhav Rastogi, MD
11/07/2018
Photoclinic
Photoclinic
10/28/2018
Authors: Adam Petraglia; Gabi DiMarco, MD; and Barry Zlotoff, MD University of Virginia School of Medicine, Charlottesville, Virginia
10/28/2018
Dermclinic
Dermclinic
10/25/2018
Author:  David L. Kaplan, MD—Series Editor Citation:
10/25/2018
Dermclinic
Dermclinic
10/24/2018
Author:  David L. Kaplan, MD—Series Editor Citation:
10/24/2018
Photoclinic
Photoclinic
10/22/2018
Authors: Ayobami D. Olanrewaju, MD, MTropPaed, MPH; Smita Bhaskaran, MD; and Zaid-Kaylani Samer, MD
10/22/2018
Diabetes Q&A
Diabetes Q&A
10/12/2018
In this Diabetes Q&A, Kim A Carmichael, MD, discusses diabetic gastroparesis, its common clinical manifestations and complications, as well as management of the condition.
10/12/2018
Dermclinic
Dermclinic
10/11/2018
This 66-year-old man presented for an annual skin examination and was noted to have a lesion on his lateral trunk that he had been unaware of.
10/11/2018
Feature
Feature
10/04/2018
This article discusses the use of US in the diagnosis and treatment of osteoarthritic knee pain. It also includes tips for image optimization, offers step-by-step instructions on performing US-guided...
10/04/2018
Feature
Feature
10/04/2018
This article discusses the use of US in the diagnosis and treatment of osteoarthritic knee pain. It also includes tips for image optimization, offers step-by-step instructions on performing US-guided...
10/04/2018
Feature
Feature
10/04/2018
This article discusses the use of US in the diagnosis and treatment of osteoarthritic knee pain. It also includes tips for image optimization, offers step-by-step instructions on performing US-guided...
10/04/2018
Photoclinic
Photoclinic
10/03/2018
An 11-year-old girl presented to the clinic with concern for worsening vision and daily headaches for the past 6 months, which were located diffusely and mildly relieved with ibuprofen.
10/03/2018