Volume 11 - Issue 3 - March 2012

Consultant for Pediatricians

piezogenic papules
piezogenic papules
03/09/2012
Michael W. Cater, MD
<P class=p1><IMG style="MARGIN: 5px; FLOAT: left" src="/sites/default/files/transfer/Screen_shot_2012-03-09_at_3.26.49_PM_thumb.png" width=90 height=90><BR>A...
03/09/2012
osteomyelitis
osteomyelitis
03/09/2012
Nancy Pan, MD; Robert Schneider, MD; Austin Fragomen, MD; Kyriakos A. Kirou, MD
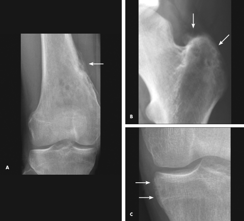
An 18-year-old boy with a long history of subjective fevers associated with recurrent right knee pain and swelling presented to our institution for a second opinion.
03/09/2012
factitious purpura
factitious purpura
03/09/2012
Deepak M. Kamat, MD, PhD; Dora Acevedo, NP; James A. Meltzer, MD
<P>A 7-year-old boy with a history of asthma was brought to the emergency department by his parents because of a “strange” rash on the chin. The parents noticed the rash when he awoke in the...
03/09/2012
Systemic Lupus Erythematosus
Systemic Lupus Erythematosus
03/09/2012
Chyi-Sen Wu, MD; Chia-Wai Chang, MD; Kong-Sang Wan, MD, PhD
<p><img src="/sites/default/files/transfer/1203CFP_CPWan_Fg1_thumb.jpg" width="90" height="90" style="float: left; margin: 5px;">A 13-year-old...
03/09/2012
osteochondritis
osteochondritis
03/09/2012
William Yaakob, MD; Roli Agrawal, MD; Sarah Kizilbash, MD
<P><IMG style="MARGIN: 5px; FLOAT: left" src="/sites/default/files/transfer/1203CFP_RQAgrawal_IndexFg_thumb.jpg" width=90 height=70><BR>A 14-year-old boy presents to...
03/09/2012
fluoride supplementation
fluoride supplementation
03/09/2012
Linda S. Nield, MD; Jane E. Holt, DO
<p class="p1"><img src="/sites/default/files/transfer/1203CFP_PaCFlouride_Fg_thumb.jpg" width="90" height="86" style="float: left; margin:...
03/09/2012
Alopecia
Alopecia
03/09/2012

ALEXANDER K. C. LEUNG, MD—Series Editor,
STEWART P. ADAMS, MD, and ALEX H. C. WONG, MD
University of Calgary

Dr Adams is clinical associate professor of medicine and Dr Wong is clinical lecturer of family medicine at the University of Calgary.

Alexander K. C. Leung, MD—Series Editor: Dr Leung is clinical professor of pediatrics at the University of Calgary and pediatric consultant at the Alberta Children’s Hospital in Calgary.

ALEXANDER K. C. LEUNG, MD—Series Edit...
<p><img src="/sites/default/files/transfer/1203CFP_WDLeung_IndexFg_thumb.jpg" width="90" height="68" style="float: left; margin: 5px;">An 11-year-old girl...
03/09/2012
Hernia
Hernia
03/09/2012

ALEXANDER K. C. LEUNG, MD
University of Calgary

Dr Leung is clinical professor of pediatrics at the University of Calgary and a pediatric consultant at the Alberta Children’s Hospital in Calgary, Alberta.

ALEXANDER K. C. LEUNG, MDUniversity o...
<P><IMG style="MARGIN: 5px; FLOAT: left" src="/sites/default/files/transfer/1203CFP_PELeung_UmbHernia_thumb.jpg" width=90 height=90><BR>Cases of abdominal and inguinal...
03/09/2012
Feature
Feature
03/09/2012
La Donna J. Johnson, MD
The most important diagnostic tool in the evaluation of the wheezing infant is the history. After the initial assessment, further investigation is necessary to determine the underlying cause of wheeze. ...
03/09/2012
Feature
Feature
03/09/2012
La Donna J. Johnson, MD
The most important diagnostic tool in the evaluation of the wheezing infant is the history. After the initial assessment, further investigation is necessary to determine the underlying cause of wheeze. ...
03/09/2012
Feature
Feature
03/09/2012
La Donna J. Johnson, MD
The most important diagnostic tool in the evaluation of the wheezing infant is the history. After the initial assessment, further investigation is necessary to determine the underlying cause of wheeze. ...
03/09/2012
Stridor
Stridor
03/09/2012
<P><EM>After reading <EM><A href="http://www.pediatricsconsultant360.com/content/stridor-neonate-and-young-child-evaluation-and-treatment-underlying-causes">“Stridor in the...
03/09/2012
Tinea Faciei
Tinea Faciei
03/09/2012
Smitha Kuppalli, MD; Barbara B. Wilson, MD; Kirk Barber, MD, FRCPC
<p>The 5-cm, well-demarcated, erythematous, annular, scaly plaque involves the entire left eyelid and extends onto the nasal bridge. Physical examination findings are otherwise normal.</p> ...
03/09/2012