Imaging

Resource Center

Interactive Features

Photoclinic Challenge
Photoclinic Challenge
04/18/2026
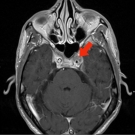
Anthony Calabro, MA
A 29-year-old woman with systemic lupus erythematosus and a history of hypertension presented to the emergency department with acute chest pain and lower extremity paresthesia.
04/18/2026
Photoclinic Challenge
Photoclinic Challenge
03/28/2026
Ashton L. Stahl
A full-term newborn presents with a fully formed, violaceous vascular lesion at birth. With imaging revealing mixed vascular flow and no postnatal proliferation, can you distinguish this rare entity from...
03/28/2026
Photoclinic Challenge
Photoclinic Challenge
10/29/2025
Consultant360’s Photoclinic Challenge is an interactive quiz based on an image featured in a Photoclinic article. View the slideshow for a brief overview of the case, patient history, and a key hint. In...
10/29/2025
Pop Quiz
Pop Quiz
08/11/2025
Miranda Manier, BA
In resource-limited emergency settings, ultrasonography by non-radiologists is common. How accurate is it for pediatric appendicitis? Test your diagnostic insight.
08/11/2025
Photoclinic Challenge
Photoclinic Challenge
05/31/2025
Anthony Calabro, MA
Consultant360’s Photoclinic Challenge is an interactive quiz based on an image featured in a Photoclinic article. For more Photoclinic Case Reports, visit our archive.
05/31/2025
Photoclinic Challenge
Photoclinic Challenge
02/09/2025
Consultant360’s Photoclinic Challenge is an interactive quiz based on an image featured in a Photoclinic article. View the slideshow for a brief overview of the case, patient history, and a key hint. For...
02/09/2025
Slideshow
Slideshow
11/23/2024
Can you make the diagnosis based on the case background, patient history, and a key hint? View the slideshow for five recently published Photoclinic Challenges. Each slide links to the full Photoclinic...
11/23/2024
Photoclinic Challenge
Photoclinic Challenge
11/08/2024
Consultant360’s Photoclinic Challenge is an interactive quiz based on an image featured in a Photoclinic article. View the slideshow for a brief overview of the case, patient history, and a key hint.
11/08/2024
Legal Pearls
Legal Pearls
09/06/2024
A 58-year-old woman with severe colon inertia developed an anastomotic leak after surgery to remove a dead spot on her colon. After several unsuccessful surgeries, the patient underwent a 17-hour...
09/06/2024
Photoclinic Challenge
Photoclinic Challenge
08/04/2024
Consultant360’s Photoclinic Challenge is an interactive quiz based on an image featured in a Photoclinic article. View the slideshow for a brief overview of the case, patient history, and a key hint. For...
08/04/2024