Volume 56 - Issue 3 - March 2016

Consultant

04/10/2017
David L. Kaplan, MD
This 40-year-old woman presented for evaluation of an itchy spot on her forearm that had suddenly turned black.
04/10/2017
10/15/2016
David L. Kaplan, MD
This 37-year-old man presented for evaluation of an asymptomatic purpuric eruption on both lower shins of a few days’ duration.
10/15/2016
03/10/2016
Ronald N. Rubin, MD; Chethan Ramamurthy, MD
A 45-year-old man presented to the office of a primary care provider (PCP) with a 2-month history of a noticeable lump in his right neck.
03/10/2016
03/10/2016
Kanwar Rauhila, MD; Mamta Verma, MD; Sonia Arunabh Talwar, MD
A 42-year-old woman with no known relevant past medical history presented with a sudden onset of slurred speech and right-arm weakness.
03/10/2016
Psoriasis
Psoriasis
03/10/2016
Nathan G. Miller, DO, LT, MC
The Koebner phenomenon is the appearance of lesions at the site of physical trauma such as sunburn, scratching, or as in this case, a tattoo.
03/10/2016
Lymphoma
Lymphoma
03/10/2016
Ebtesam A. Islam, PhD; Kenneth Nugent, MD; J. Drew Payne, DO
Diffuse large B-cell lymphoma is the most common type of non-Hodgkin lymphoma and can occur almost anywhere in the body.
03/10/2016
Photoclinic
Photoclinic
03/10/2016
Michelle Leff, MD, FAAP; Shira L. Robbins, MD
A 4559-g boy was born postterm, at 42 weeks and 3 days’ gestation, to a primiparous 26-year-old mother via cesarean delivery secondary to failure to progress after postdates induction.
03/10/2016
03/10/2016
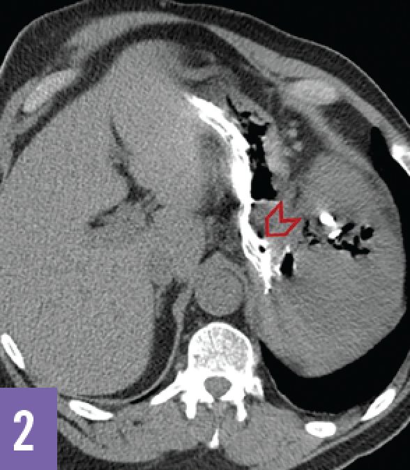
Arielle Gire-Dumas, MD; Mamta Parikh, MD; Jeremy DiMartini, MD; Paul Aronowitz, MD
A 62-year-old man with a history of stage 5 chronic kidney disease, type 2 diabetes mellitus, gout, and hypertension presented to the emergency department after having run out of peritoneal dialysate...
03/10/2016
Photoclinic
Photoclinic
03/10/2016
Krista N. Larson, BS; Barbara B. Wilson, MD
The patient received a diagnosis of postradiation acneiform eruption, also known as comedo reaction.
03/10/2016
03/10/2016
Eric A. Dietrich, PharmD, BCPS; Kyle Davis, PharmD, BCPS
Renal function plays a significant role in the selection and dosing of numerous medications, including antibiotics.
03/10/2016
03/10/2016
David L. Kaplan, MD
This 77-year-old man presented for evaluation of painful erosive dermatitis on his penis. He initially was believed to have an infection and was given cephalexin.
03/10/2016
Oncology
Oncology
03/10/2016
Sayed K. Ali, MD, FACP; Mustafa Kinaan, MD
Urgent ultrasonography and urologic evaluation are recommended when testicular lumps do not transilluminate or when the body of the testis cannot be palpated.
03/10/2016
Photo Quiz
Photo Quiz
03/10/2016
Syed A.A. Rizvi, PhD, MBA; Sultan S. Ahmed, MD; Ayman M. Saleh, PhD; Jasmin Ahmed, BS, MS, MD; Christopher Tournade, BS
Uremic pruritus is a complex condition of uncertain etiology with a number of hypothesized contributing factors.
03/10/2016
03/10/2016
Gregory W. Rutecki, MD
<p>Gregory W. Rutecki, MD, discusses the history of controversy over grapefruit-statin interactions, and how recent research affects traditional outlooks.</p>
03/10/2016
Oral Health
Oral Health
03/10/2016
A collection of different conditions that affect the lips, tongue, and other parts of the mouth.
03/10/2016
Pitfalls in Prescribing
Pitfalls in Prescribing
03/10/2016
Timothy H. Self, PharmD; Benjamin T. Duhart, Jr., MS, PharmD
Proton pump inhibitors (PPIs) are one of the most prescribed classes of medications in the United States.
03/10/2016
Ophthalmology
Ophthalmology
03/10/2016
Benjamin Barankin, MD, FRCPC; Alexander K.C. Leung, MD, MBBS, FRCPC, FRCP
A 25-year-old woman presented with multiple flesh-colored papules in the infraorbital areas.
03/10/2016
Mental Health
Mental Health
03/10/2016
Philip J. Gyura, MS, FNP-BC
This article discusses the goals of substance use disorder intervention, including building a relationship with patients, identifying the substance being used, and employing patient-centered methods to help...
03/10/2016
Hypertension
Hypertension
03/10/2016
Gregary D. Marhefka, MD
This review summarizes what is known about managing hypertensive urgency and emergency, with an emphasis on guideline-directed therapy.
03/10/2016
Review Article
Review Article
03/10/2016
Hani Raoul Khouzam, MD, MPH
This review summarizes the second-generation antipsychotics used as augmenting agents for the treatment of resistant major depressive disorder and the pharmacologic mechanisms involved in this combined...
03/10/2016
03/10/2016
Richard Colgan, MD
Tips on how to practice etiquette-based medicine, as advanced by Michael W. Kahn, MD,are presented here in the first part of this guest commentary.
03/10/2016
03/10/2016
Readers of Consultant tell me they appreciate articles that describe a particular condition and offer practical guidance about the best approach to its management, including diagnostic tests,...
03/10/2016