Volume 55 - Issue 2 - February 2015

Consultant

Case Report
Case Report
12/28/2018
Nonna Kozlenko, DO; Nikita Shah, DO
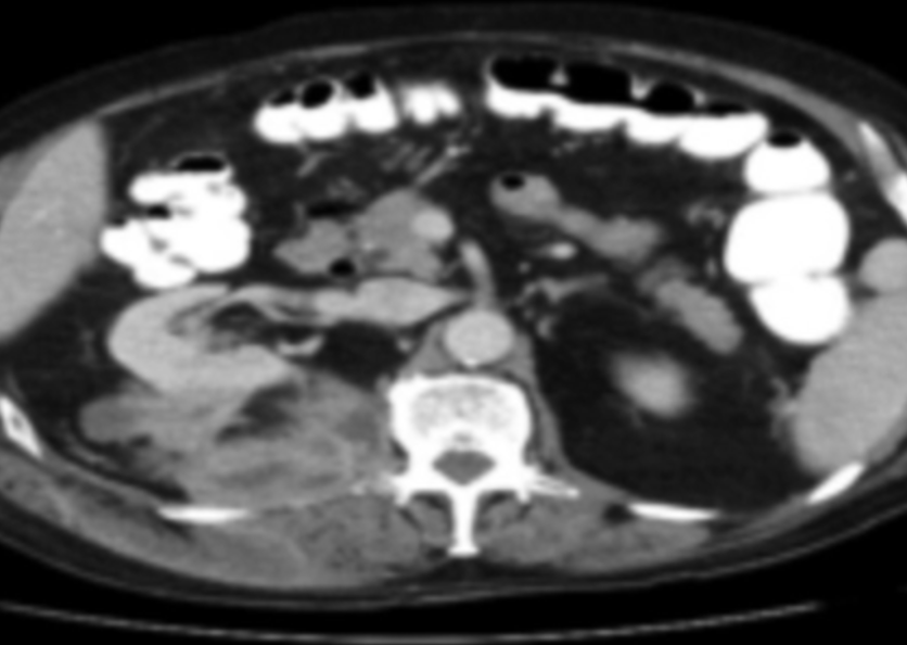
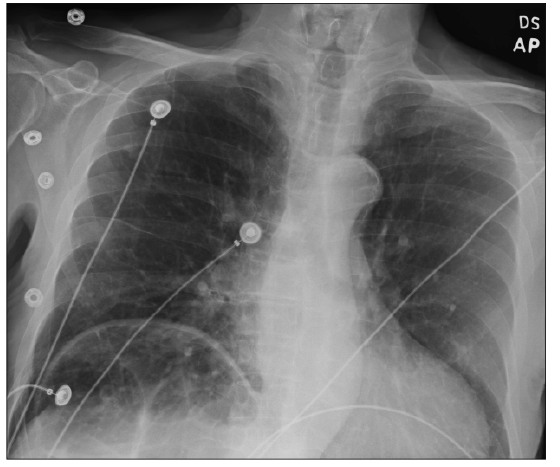
A 74-year-old man presented to his primary care provider with a 1-month history of new-onset low back pain.
12/28/2018
Mental Health
Mental Health
07/05/2017
Rafael Ilyayev, MD; Vanessa Rojas, PGY-1; Michael Megally, PGY-2
A meningioma is a benign tumor of arachnoid origin. Meningiomas account for 15% of all brain tumors, and most grow in a spherical or lobulated form.
07/05/2017
Primary Care
Primary Care
07/05/2017
Sayed K. Ali, MD, FACP; Bahar Kapoor, MD; Mazyar Malakouti, MD
A 62-year-old male with history of diabetes mellitus, hypertension, end-stage renal disease on hemodialysis, and hepatitis C virus (HCV) presented to our clinic for an acute appointment complaining of...
07/05/2017
Pulmonary Pitfalls
Pulmonary Pitfalls
02/23/2017
Samuel Louie, MD; Chinh T. Phan, DO
Interstitial lung disease has a history of baffling clinicians for several reasons—2 of those being confusing terminology and classification, which continue to thwart clinicians’ ability to establish a...
02/23/2017
Photo Quiz
Photo Quiz
02/25/2015
Thomas N. Helm, MD; Jacob Conroy; Bethany Lema, MD
A 23-year-old African American female presented with a 5-month history of a pruritic eruption confined to the abdomen that developed while she was living in Africa.
02/25/2015
Dermclinic
Dermclinic
02/24/2015
David L. Kaplan, MD
A healthy 25-year-old female presented for evaluation of an asymptomatic eruption on both lower legs of 1 to 2 months duration.
02/24/2015
Tinea
Tinea
02/24/2015
David L. Kaplan, MD
A 58-year-old female presented for evaluation of an itchy and tender rash of 3 months duration confined to 1 knee.
02/24/2015
Erythema Annulare Centrifugum
Erythema Annulare Centrifugum
02/24/2015
David L. Kaplan, MD
A 40-year-old male presented with a 2-week history of rhus contact dermatitis.
02/24/2015
men's health
men's health
02/24/2015
A photo-based collection of men's health issues including epidermoid cysts, pituitary macroadenoma, and phimosis.
02/24/2015
orthodexia
orthodexia
02/24/2015
Emir Festic, MD; Andrew K. Kurklinsky, MD; Jose C. Yataco, MD; Mohamed H. Yamani, MD
This article presents a case of a large PFO associated with ischemic stroke and reversible POS due to colonic distention resulting in the right hemidiaphragm elevation in the setting of obstipation.
02/24/2015
Jaundice
Jaundice
02/24/2015
David Berman, MD; Ronald N. Rubin, MD
A 61-year-old woman presents to the emergency room 1 week after resection of a Bartholin’s cyst complaining of fever to 104°F at home.
02/24/2015
Warfarin
Warfarin
02/24/2015
Louis Kuritzky, MD; Eric A. Dietrich, PharmD, BCPS
For 65 years, warfarin has been widely used as an effective medication in the prevention of venous thromboembolism for a variety of disease states, including atrial fibrillation, as well as for the...
02/24/2015
analgesia
analgesia
02/24/2015
Gregory W. Rutecki, MD
No one questions the fundamental premise that people with pain seek relief—but the choices in our therapeutic armamentarium are limited. And here lies what may be the therapeutic paradox of our time.
02/24/2015
Psoriasis
Psoriasis
02/23/2015

Alexander K.C. Leung, MD—Series Editor
Benjamin Barankin, MD

Alexander K.C. Leung, MD—Series Edito...
A 40-year-old East Indian man presented with a chronic, recurrent, erythematous rash limited to the inguinal and axillary areas for the past 3 years.
02/23/2015
joint instability
joint instability
02/23/2015
This article provides an overview of the spectrum of joint laxity syndromes, examining symptoms, assessment, and workup of patients suspected to have such conditions.
02/23/2015
Dermatology
Dermatology
02/23/2015
Joseph R. Kallini, MD; Amor Khachemoune, MD, FAAD, FACMS
Aquagenic syringeal acrokeratoderma, also known as aquagenic palmoplantar keratoderma and transient reactive papulotranslucent acrokeratoderma, was first described in 1974 by Elliott who observed “skin...
02/23/2015
Diabetes Q&A
Diabetes Q&A
02/23/2015
The authors use patient cases to highlight the proper place for insulin therapy in managing T2DM.
02/23/2015
Emergency Medicine
Emergency Medicine
02/23/2015
This article, which is the first of a 2-part series, provides a brief overview of post-resuscitation syndrome, a major contributor to poor outcomes among patients who have had an OHCA.
02/23/2015
Diabetes Q&A
Diabetes Q&A
02/23/2015
Edward Shahady, MD
There are still many unanswered questions regarding the most impactful way to treat diabetes. One of the most exciting of which surrounds the influence of glucagon and the alpha cell.
02/23/2015
cardiovascular disease
cardiovascular disease
02/23/2015
According to the Centers for Disease Control, cardiovascular disease—including heart disease, stroke, and blood pressure—is the top killer of women and men in the United States. Yet, heart disease is...
02/23/2015