Volume 55 - Issue 1 - January 2015

Consultant

Case In Point
Case In Point
01/21/2020
Julie S. Berg, MD; Neha H. Shah, MD, MPH
A 5-year-old boy presented to the emergency department with a 1-month history of cough that had been unresponsive to albuterol.
01/21/2020
Diabetes
Diabetes
11/26/2019
Ronald N. Rubin, MD
A 34-year-old woman reports sudden onset of shortness of breath while walking and caring for her 4-week-old daughter.
11/26/2019
Photoclinic
Photoclinic
11/14/2019
Brittany Gallaher, DO
A 26-year-old woman presented with intermittent vision changes in her left eye of 5 months' duration. Episodes that lasted 1 to 8 seconds were described as darkening of vision in her left eye, which was...
11/14/2019
Lice infestation
Lice infestation
02/11/2015
Tokunbo Ajayi, MD
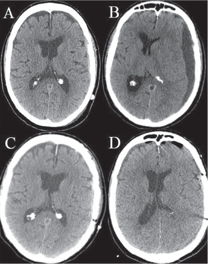
A 73-year-old white female was becoming increasingly forgetful, reclusive, and had declining medical care in the past year. She presented with confusion, and her daughter-in-law said she was pulling out her...
02/11/2015
Lentigo
Lentigo
01/28/2015
David L. Kaplan, MD
A 41-year-old female presented with concerns about an enlarging irregular pigmented macule on the left temple that has changed over the last year in both size and color.
01/28/2015
Blue Nevus
Blue Nevus
01/28/2015
David L. Kaplan, MD
A 66-year-old male presented with a small, asymmetrical, 2 mm blue nodule on the sun-exposed portion of his arm of a few months duration. There is no history of trauma and it does not blanch.
01/28/2015
fibroxanthomas
fibroxanthomas
01/28/2015
David L. Kaplan, MD
A 56-year-old male presented with a sudden enlarging tumor on his ear of less than 1 month duration.
01/28/2015
encephalopathy
encephalopathy
01/28/2015
Emily Ann K. Andaya, MD; Nabil Rizk, MD; Sumit Folga, MD
A 51-year-old white male with mental disability and known seizure disorder presented to his neurologist with a new onset of headache, dizziness, confusion, weakness, lethargy, and hand tremors.
01/28/2015
aphasia
aphasia
01/28/2015
Michelle Feinberg, MD; Donald Shields, MD
A 76-year-old male was brought to the hospital following a ground-level fall. Despite an initial loss of consciousness, he was at his normal neurological baseline upon hospital admission.
01/28/2015
Granulomatous cheilitis
Granulomatous cheilitis
01/26/2015
Mustafa Al Maini, MD; Shabeer Nellikode, MD; Asim Abbasi, MD; Babar Navid, MD; Ramzi Ghanem, MD; Rani Jacob, MD; Samer Nuhaily, MD; Zujajah Hassan, MD
A 29-year-old Indian female with a past medical history of right cervical tuberculosis lymphadenitis was referred to our clinic from ophthalmology for worsening uveitis.
01/26/2015
Radiology Quiz
Radiology Quiz
01/26/2015
William Yaakob, MD
An 18-year-old male comes to your office complaining of right knee pain.
01/26/2015
Diabetes Q&A
Diabetes Q&A
01/22/2015
Karin Sterl, MD; Kim A. Carmichael, MD, FACP
Since type 2 diabetes is associated with multiple physiologic abnormalities, combination therapy may help address many of these concerns concomitantly so as to minimize side effects and provide rapid...
01/22/2015
coumadin
coumadin
01/22/2015
Eric A. Dietrich, PharmD, BCPS
Home monitoring of blood pressure and blood glucose have become mainstays in the treatment of hypertension and diabetes, allowing patients to take an active role in their disease management.
01/22/2015
discitis
discitis
01/22/2015
David Effron, MD; Maya C. Myslenski, MD
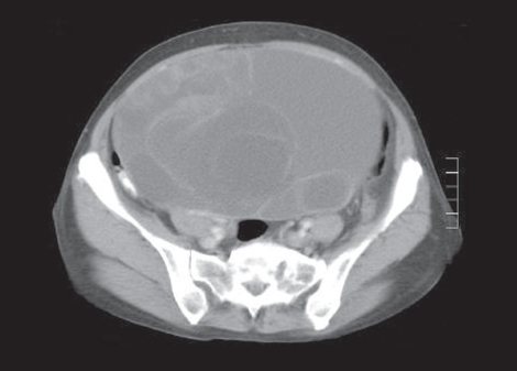
A 25-month-old white female presented with a 1.5-week history of intermittent, cramping, diffuse abdominal pain, increasing irritability, and decreased activity.
01/22/2015
01/22/2015
A collection of photo-based cases focused on women's health issues.
01/22/2015
antibiotics
antibiotics
01/22/2015
Gregory W. Rutecki, MD
It should come as no surprise that physicians have repeatedly (and correctly) been accused of overprescribing antibiotics. The blame is not necessarily one-sided; patients often demand antibiotics to treat...
01/22/2015
prediabetes
prediabetes
01/19/2015
Bonnie Wong, DO; Steven Milligan, MD
This article provides an overview of prediabetes and reviews the lifestyle interventions that can play a critical role in preventing patients from developing diabetes.
01/19/2015
Pseudocellulitis
Pseudocellulitis
01/19/2015
Daniela Kroshinsky, MD, MPH
Since prompt identification and treatment of cellulitis is critical, primary care physicians should be familiar with the condition and know when to reach out to a specialist for assessment to provide the...
01/19/2015
mild cognitive impairment
mild cognitive impairment
01/19/2015
Ira Goodman, MD; Nima Khosravani, MS; Kurt Cicillioni, BS; Anamaria Shanley, MSN, ARNP-BC
This article reviews the prevalence, cost, and diagnosis of AD and presents 2 case studies demonstrating the clinical utility of florbetapir, an amyloid imaging compound, as part of the diagnostic...
01/19/2015
Primary Care
Primary Care
01/19/2015
Gabriel Aisenberg, MD
According to Herbert Fred, MD, “to learn medicine, all you need is a patient, a medical library, and someone who knows more medicine than you do.”
01/19/2015
Primary Care
Primary Care
01/19/2015
January brings with it the start of a fresh year and here, at Consultant, we’re gearing up for a big 2015. In the coming months, you’ll see a continued focus on publishing visually engaging case reports,...
01/19/2015