Volume 54 - Issue 10 - October 2014

Consultant

Radiology Quiz
Radiology Quiz
03/03/2016
William Yaakob, MD
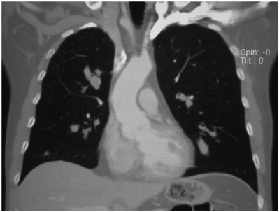
A 42-year-old male comes to your office after a bout of hemoptysis 2 days prior that he said was “concerning.”
03/03/2016
meningitis
meningitis
10/22/2014
Damian Casadesus, MD, PhD; Mustaq Anis, MD; Tania Calzada, MD; Chetan Shah, MD; Daniel Goldsmith, MD
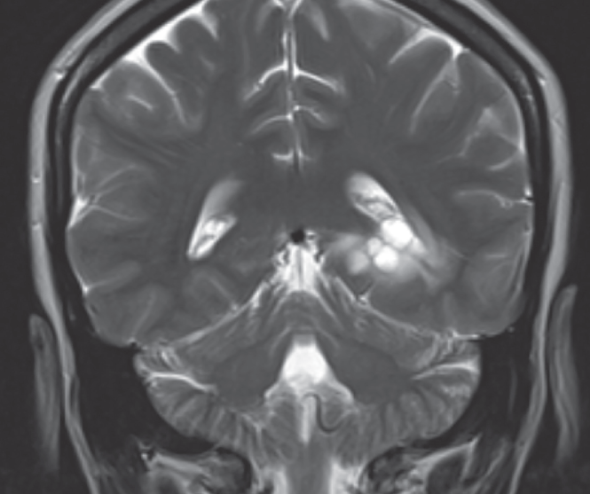
A 43-year-old African American female came to the emergency department of our institution with 1-week history of headache and fever.
10/22/2014
Granulomatous cheilitis
Granulomatous cheilitis
10/22/2014
Michael Kaplan, DO, MC; Jeannette M. McIntyre, MD, LT, MC; James C. Higgins, DO
A 47-year-old African American female presents to her primary care physician with a 1- month history of a persistent swollen left lower lip.
10/22/2014
coumadin
coumadin
10/21/2014
Louis Kuritzky, MD; Eric A. Dietrich, PharmD, BCPS
LH is a 60-year-old white male with a 10-year history of longstanding hypertension as well as systolic heart failure (sys-HF) with a reduced ejection fraction (EF) of 20%.
10/21/2014
Case In Point
Case In Point
10/21/2014
Ross Jones, MD; Reetu Grewal, MD; Carlos A. Arango, MD
A 21-year-old female initially presented to her primary care physician with a 1-week history of right eye redness, eyelid swelling, thin drainage, and a gritty sensation in her eye.
10/21/2014
Neurocysticercosis
Neurocysticercosis
10/21/2014
Hanns Frimpong, MS; Ronda D. Edwards, MPH; Syed A.A. Rizvi, PhD, MBA; Sultan S. Ahmed, MD
A 33-year-old Asian American female who came to our practice with her husband complaining of intermittent dizziness and near-syncopal attacks that have been going on for 10 years now.
10/21/2014
dermoid
dermoid
10/21/2014
Kanwal Pratap Singh Raghav, MD; Kimberly Jegel, MD
A 59-year-old woman with past history of seizure disorder of unknown etiology since childhood came to hospital for incision and drainage of a right thigh abscess.
10/21/2014
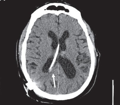
Seizure
Seizure
10/20/2014
William Horn, Jr., ARNP
CT scan also showed conjugately deviated pupils to the right side, which is highly specific for seizures
10/20/2014
Hodgkin Lymphoma
Hodgkin Lymphoma
10/20/2014
David L. Kaplan, MD
A 59-year-old male presents with a pruritic eruption on his trunk and proximal extremities of a few months duration that started 2 to 3 months prior.
10/20/2014
Gastrointestinal Disorders
Gastrointestinal Disorders
10/20/2014
This article features a collection of photo-based cases of gastrointestinal disorders including zenker diverticulum, duodenal adenocarcinoma, and strongyloidiasis.
10/20/2014
Insulin Management
Insulin Management
10/20/2014
Conor Best, MD; Kim A. Carmichael, MD, FACP
Insulin should be discussed early with patients who are beginning to show progression of their diabetes to ease the transition when the time to start insulin therapy arrives.
10/20/2014
diarrhea
diarrhea
10/20/2014
Ronald N. Rubin, MD
A 32-year-old woman presents with diarrhea of about 36 hours duration
10/20/2014
lichen simplex chronicus
lichen simplex chronicus
10/19/2014
David L. Kaplan, MD
A 60-year-old male presented for evaluation and treatment of persistent itching involving the anterior half of his scrotum.
10/19/2014
Lichen planus
Lichen planus
10/19/2014
David L. Kaplan, MD
A 68-year-old male presented for evaluation of a unilateral, itchy eruption confined to the left inguinal crease only.
10/19/2014
mastocytosis
mastocytosis
10/15/2014
Tamara Brainard, DO
A 21-year-old female presented with a 4-year history of numerous reddish brown macules on her trunk and extremities.
10/15/2014
Arterial and Venous Thrombosis
Arterial and Venous Thrombosis
10/15/2014
Gregory W. Rutecki, MD
This months’ Top Paper took Polonius’ advice to Laertes in Hamlet and penned a succinct review of new thrombosis guidelines. Since the primary document is meant to serve as a reference source, consider this...
10/15/2014
pachyonychia
pachyonychia
10/15/2014
Pachyonychia congenital (PC) is an autosomal dominant skin disorder that is caused by mutations affecting a group of keratins found in specific regions of the epidermis.
10/15/2014
10/15/2014
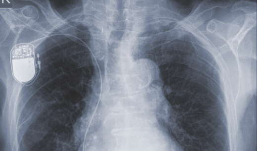
Aman Chugh, MD; Preeti N. Malani, MD; Yasser Rodriguez, MD, MBA; Frank Davis, BS
Implantable cardioverter-defibrillators (ICDs) are small, battery-powdered electrical impulse devices that can be implanted in patients at-risk for sudden cardiac death due to ventricular tachycardia and...
10/15/2014
sepsis
sepsis
10/15/2014
R. Philip Dellinger, MD
The Surviving Sepsis Campaign includes both guidelines for the management of severe sepsis and septic shock as well as an international performance improvement program centered around the sepsis bundles. ...
10/15/2014
10/15/2014
Richard Colgan, MD
The skill of presentation is fundamental to practicing medicine. It is important to convey the logic behind your actions, both in writing or oral presentation.
10/15/2014
enterovirus
enterovirus
10/14/2014
From Ebola to enterovirus D68 (EV-D68) and chikungunya, widespread diseases have recently captured national and international headlines. Primary care practitioners are often the first to see these patients...
10/14/2014