Volume 52 - Issue 12 - December 2012

Consultant

Peer Reviewed
Peer Reviewed
04/05/2016
Michael J. Bloch, MD; Louis Kuritzky, MD
As chronic kidney disease progresses, patients may present with comorbidities such as hypertension, cardiovascular disease, dyslipidemia, and anemia.
04/05/2016
Basal cell carcinoma
Basal cell carcinoma
12/11/2012
David L. Kaplan, MD
This solitary, nonresolving erythematous lesion has been present on the mid thigh of a 73-year-old woman for several months. She reports that the lesion is asymptomatic, has not changed in size, and has...
12/11/2012
contact dermatitis
contact dermatitis
12/11/2012
David L. Kaplan, MD
<p><img src="/sites/default/files/images/Screen%20Shot%202012-12-11%20at%201.24.53%20PM.png" alt="contact dermatitis" title="contact dermatitis"...
12/11/2012
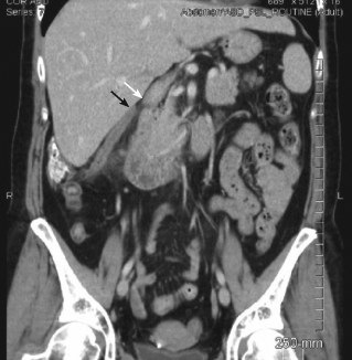
Hernia
Hernia
12/11/2012
Lauren Ng, MD, MPH; Adam Possner, MD
<p><img src="/sites/default/files/images/1212Con_PCHernia.jpg" alt="hernia" title="Grynfeltt-Lesshaft Hernia" style="margin-left: 5px; margin-right: 5px; float:...
12/11/2012
Bone fractures
Bone fractures
12/11/2012
Aditya V. Badheka, MD; Thant Zin, MD
<p><img src="/sites/default/files/images/1212Con_PCBoxer_AB.jpg" alt="boxer's fracture" title="boxer's fracture" style="float: left; margin-left: 5px;...
12/11/2012
appendicitis
appendicitis
12/11/2012
Mohammad R. Mohebbi, MD; Travis R.B. Brownell, MD; Michael L. Wolpert, MD; Marwan F. Jarmakani, MD
<p><img src="/sites/default/files/images/Screen%20Shot%202012-12-11%20at%2011.26.46%20AM.png" alt="appendicitis" title="appendicitis" style="float: left;...
12/11/2012
Pruritic Dermatitis
Pruritic Dermatitis
12/11/2012
Mumtaz Jahan, MD; Nada Al-Hashimi; Vasantha Kondamudi, MD
<p>A 72-year-old woman with a history of hypertension and degenerative joint disease presents with severe vulvar pruritus of 10 years’ duration. The itching worsens with hot weather, anxiety, and...
12/11/2012
Chest pain
Chest pain
12/11/2012
Said B. Iskandar, MD; I. Garcia, MD; Stephen Fahrig, MD, FACC
A 50-year-old man presents to the emergency department (ED) with midsternal chest discomfort. The pain started at 3:00 AM and was 6/10 in intensity; it was relieved by 2 sublingual nitroglycerin tablets. ...
12/11/2012
Chest pain
Chest pain
12/11/2012
Said B. Iskandar, MD; I. Garcia, MD; Stephen Fahrig, MD, FACC
A 50-year-old man presents to the emergency department (ED) with midsternal chest discomfort. The pain started at 3:00 AM and was 6/10 in intensity; it was relieved by 2 sublingual nitroglycerin tablets. ...
12/11/2012
HIV infection
HIV infection
12/11/2012
Gina M. Simoncini, MD; Giuliana I. DeFrancesch, MD; Mary Van den Berg-Wolf, MD; Ronald N. Rubin, MD
Due to his age, an older man with HIV infection presents for a preoperative risk assessment before a total hip replacement.
12/11/2012
hair loss
hair loss
12/11/2012
Joe R. Monroe, PA-C, MPAS, PA
<p><br /> This 40-year-old woman complains of “hair loss,” although she has not noticed any unusual amounts of hair on her brush or comb or in the sink when she shampoos. She says that the...
12/11/2012
Pain
Pain
12/11/2012
<p>Pain need not be an unbearable fact of life for most adults who have, or who have been treated for, cancer. Cancer-related pain can usually be controlled.</p>
12/11/2012
Kidney
Kidney
12/10/2012
Gregory W. Rutecki, MD
<p><img alt="" height="90" src="/sites/default/files/images/generic%20icon3_4.jpg" style="float:left" width="90" /><br /> Does acute...
12/10/2012
Eyes
Eyes
12/10/2012
Solomon M. Pearce, DO
<p>“You’ll shoot your eye out!” the classic warning to Ralphie Parker in the 1983 movie <em>A Christmas Story</em> elucidates the danger of BB guns, but somehow that caution has not...
12/10/2012
sleep
sleep
12/10/2012
Britney Blair, PsyD; Jennifer L. Martin, PhD
Insomnia is associated with medical and mental health problems. If left untreated, it can negatively impact quality of life and cause pain and depression.
12/10/2012
CONSULTANT
CONSULTANT
12/10/2012
In this, the last issue of our 52nd year of publication, we want to extend our thanks to the following reviewers who appraised at least one manuscript for us in 2012.
12/10/2012
CONSULTANT
CONSULTANT
12/10/2012
<p>As we look forward to 2013, our 53rd year of publication, we are pleased to announce the launch of the tablet edition of Consultant—and a new online contest, Photo Quiz Challenge, on the official...
12/10/2012