Volume 52 - Issue 11 - November 2012

Consultant

Dermatophyte
Dermatophyte
11/16/2012
David L. Kaplan, MD
An itchy rash on the dorsum of her dominant, right hand prompted a 34-year-old mother of three to try an over-the-counter miconazole and hydrocortisone preparation.
11/16/2012
ringworm
ringworm
11/16/2012
David L. Kaplan, MD
<p class="p1"><img src="/sites/default/files/images/Screen%20Shot%202012-11-16%20at%201.31.52%20PM.png" alt="ringworm" title="ringworm" width="90"...
11/16/2012
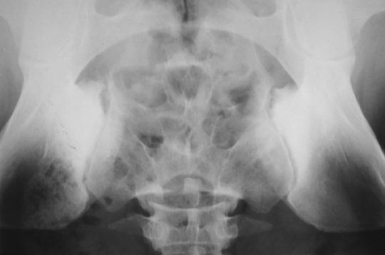
Osteitis Condensans Ilii
Osteitis Condensans Ilii
11/16/2012

N. K. AKRITIDIS, MD, S. PAPADOPULOU, MD,
T. PAPAXANTHIS, MD and S. T. TSIOURIS, MD
G. Hatzicosta General Hospital, Ioannina, Greece

N. K. AKRITIDIS, MD, S. PAPADOPULOU, ...
<p class="p1"><span style="color: #888888;"><img src="/sites/default/files/images/1211Con_PCOsteitis.jpg" alt="osteitis" title="osteitis"...
11/16/2012
Photoclinic
Photoclinic
11/16/2012
Farouk Mookadam, MB, BCh, MBBCh, MD, FRCPC, FACC; Sohail Abdi-Moradi, MD
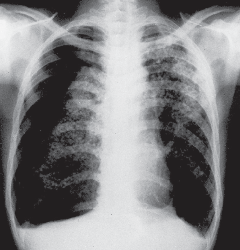
An 88-year-old woman with a history of senile cardiac amyloidosis was seen in the cardiology clinic for heart failure. During the visit, she reported that she had had persistent pain along the lumbo-sacral...
11/16/2012
corneal abrasion
corneal abrasion
11/16/2012
Ameer Hassoun, MD; Nirupama Kannikeswaran, MD
<p class="p1"><img src="/sites/default/files/images/Screen%20Shot%202012-11-16%20at%2010.41.46%20AM.png" alt="corneal abrasion" title="corneal abrasion"...
11/16/2012
Hyperhidrosis
Hyperhidrosis
11/16/2012
Robert P. Blereau, MD
<p class="p1"><img src="/sites/default/files/images/1211Con_PCHyperhidrosis.jpg" alt="hyperhidrosis" title="hyperhidrosis" width="90"...
11/16/2012
Dyspnea
Dyspnea
11/16/2012
N. K. Burki, MD, PhD
The survival of a patient with acute dyspnea may depend on your ability to identify and promptly treat the underlying cause.
11/16/2012
parasites
parasites
11/15/2012
<p>A selection of cases detailing parasitic infections, ranging from lice to ascariasis, and filariasis.</p>
11/15/2012
Nevus
Nevus
11/15/2012
Alexander A.C. Leung, MD
<p>A 17-year-old girl presents with an asymptomatic giant hyperpigmented patch on her left upper back. The lesion was first noted when the patient was 6 months old, and it has gradually...
11/15/2012
car accidents
car accidents
11/15/2012
Christopher J. Rausch, BA; Albert J. Finestone, MD, MSc, FACP
<p>As the elderly population of the United States grows, it will become increasingly important to identify effective ways to determine the fitness of older adults to drive. Age alone is not an...
11/15/2012
hip replacement
hip replacement
11/15/2012
<p>These are just a few of questions you will need to address if your patient suffers from hip joint failure. Each year, more than 285,000 total hip replacements are performed in the United States,...
11/15/2012
Cirrhosis
Cirrhosis
11/15/2012
Gregory W. Rutecki, MD
<p>There has been substantial press attesting to the efficacy and safety of the “vaptans.” These agents are vasopressin receptor antagonists that block so-called “V<sub>2</sub>” receptors...
11/15/2012
melena
melena
11/15/2012
Ronald N. Rubin, MD
<p>A 67-year-old man is admitted to the hospital because of melena. During the past 24 hours, he has had 4 or 5 episodes of melena. He complains of moderate epigastric pain, but he...
11/15/2012
Diabetes Care
Diabetes Care
11/15/2012
Rachmel Cherner, MD
<p>There is no alternative to being eternally suspicious of underlying problems in the patient with erratically controlled diabetes. Glucose control in those with known diabetes may unravel for a...
11/15/2012
chinese medicine
chinese medicine
10/26/2012
Richard Colgan, MD
<p>Chinese medicine can proudly point to the lives of the Three Divine Doctors of Jian An as being exemplary in showing care for others. From the perspective of Dr Marta Hanson, Professor of...
10/26/2012