Volume 51 - Issue 11 - November 2011

Consultant

diabetic kidney disease
diabetic kidney disease
11/23/2011
Holly Koncicki, MD; Brian Radbill, MD
<div class="column"><p><span>ABSTRACT: Current guidelines recommend screening patients with diabetes for diabetic kidney disease (DKD) using measurements of kidney damage...
11/23/2011
thyroxine
thyroxine
11/23/2011
Douglas S. Ross, MD
Subclinical hypothyroidism is associated with elevated low-density lipoprotein cholesterol levels and several factors related to atherosclerosis.
11/23/2011
11/23/2011
Gregory W. Rutecki, MD
Recently, the CDC reported the deadliest out- break of foodborne illness in the United States in over a decade.1 The sou
11/23/2011
aphthous stomatitis
aphthous stomatitis
11/23/2011
Alexander K.C. Leung, MD, MBBS, FRCPC, FRCP
<p>A 6-year-old girl with painful oral lesion. The pain intensified when she ate or drank anything sour or salty. She had similar painful lesions in the oral cavity before. No history of...
11/23/2011
Pneumonia
Pneumonia
11/23/2011
Andrew L. Chan, MD, MB, FCCP, FRCP; Jordan D. Fein, MD; Timothy E. Albertson, MD, PhD, FRCP
<p>THE CASE: An 81-year-old retired obstetrician who had never smoked tobacco presented with a 6-week history of cough with clear sputum, fever, chills, and a 30-lb weight loss. He...
11/23/2011
11/23/2011
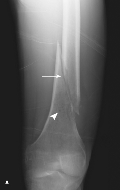
Robert P. Blereau, MD; Timothy J. Haley, MD
<div class="column"><p><span>During the evaluation of a 15-year-old boy with an injury to the right foot, an unexpected radiographic finding was noted.<br> The lateral...
11/23/2011
11/23/2011
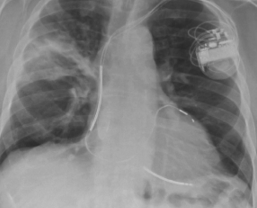
Wael AlJaroudi, MD, MS
<div class="column"><p>A 41-year-old woman presented to the emergency department (ED) with a 3-day history of left thigh pain and swelling. She denied any precipitating trau-...
11/23/2011
11/23/2011
Sunita Puri, MD
<P>This rash on both palms concerned a 35-year-old hairdresser, who said she always wears vinyl gloves while working. She recalled using a new hair coloring product on a client a few days...
11/23/2011
funal infections
funal infections
11/23/2011
Sanjeev Y. Tuli, MD; Sonal S. Tuli, MD
<P>For the past 2 weeks, a 13-year-old African American girl had fever and blisters on her lips. Two days earlier, a rash appeared under her arm and on her face. The rash caused slight discomfort,...
11/23/2011
COPD
COPD
11/23/2011
Samuel Louie, MD; Nicholas J. Kenyon, MD, MAS
Dr Petty was among the first to expound on the importance of patient education in chronic lung diseases. He understood the pain and suffering endured by patients with chronic lung diseases, particularly...
11/23/2011
Diabetes Q&A
Diabetes Q&A
11/23/2011
Kim A. Carmichael, MD, FACP
In this Diabetes Q&A column, Kim Carmichael, MD, answers common questions from primary care providers on when pancreas transplantation is needed.
11/23/2011
Diabetes Q&A
Diabetes Q&A
11/23/2011
Kim A. Carmichael, MD, FACP
In this Diabetes Q&A column, Kim Carmichael, MD, answers common questions from primary care providers on when pancreas transplantation is needed.
11/23/2011
pityriasis rosea
pityriasis rosea
11/23/2011
David L. Kaplan, MD
<div class="column"><p><span>For the past few years, itchy red bumps have appeared on a 59-year-old man’s trunk during the winter; the lesions slowly resolve as the weather...
11/23/2011
renal mass
renal mass
11/23/2011
Ronald N. Rubin, MD
<p>A renal mass was found incidentally in a 69-year-old man during his hospitalization for an episode of sigmoid diverticulitis. Abdominal CT scans with and without contrast demonstrated the presence...
11/23/2011
T cell lymphoma
T cell lymphoma
11/23/2011
Huy M. Phan, MD, PhD; Ana-Maria Lopez, MD, MPH
<div class="section"> <div class="section"> <div class="layoutArea"> <div class="column"> <p>A previously healthy 35-year-old man...
11/23/2011
11/23/2011
Alice Charach, MD, MSc
<div class="column"><p><span>The likelihood that patients with attention-deficit hyperactivity disorder (ADHD) will start stimulant medication can generally be identified at the...
11/23/2011
11/23/2011
Gregory W. Rutecki, MD
<div class="section"> <div class="layoutArea"> <div class="column"> <div class="section"> <div class="section"> <div...
11/23/2011
analgesia
analgesia
11/23/2011
Aaron S. Geller, MD
<p><span>Dr </span><span>Steven King is commended for sharing in his recent article that benzodiazepines are contraindicated in pain management as well as for stating the...
11/23/2011