Volume 42 - Issue 3 - March 2002

Consultant

04/30/2011
Ingrid Hriljac, MD; Ira S. Nash, MD
A 34-year-old woman presents to the emergency department (ED) with rapidly progressive dyspnea.
04/30/2011
Acute pericarditis
Acute pericarditis
04/30/2011
Sudhir R. Gogu, MD
<div id="article-content-body"><p>The mother of an 8-year-old girl sought medical care for her daughter who had complained of intermittent chest pain for 3 days. The patient denied...
04/30/2011
Dermatology
Dermatology
04/30/2011
Alexander K.C. Leung, MD, MBBS, FRCPC, FRCP; Massoud Rafaat
<div id="article-content-body"><p>For the past 3 years, comedones, papules, pustules, and nodules had been erupting on the face of a 16-year-old boy. Acne vulgaris had been diagnosed....
04/30/2011
04/30/2011
Ronald N. Rubin, MD
A 59-year-old woman comes to your office for evaluation of her heart murmur. During the last several months, she has tired more easily and has had less ene
04/30/2011
04/30/2011
Navin M. Amin, MD
 
04/30/2011
04/30/2011
Seymour Diamond, MD; Betsy J. Pepper, MD
A man with a 15-year history of episodic migraine presents to the emergency department at 5 AM with a right-sided throbbing headache of 4 hours' duration.
04/30/2011
04/30/2011
Alexander K.C. Leung, MD, MBBS, FRCPC, FRCP; C. Pion Kao, MD; Andrew L. Wong, MD
This obstruction results from hypertrophy of the circular and longitudinal muscularis of the pylorus and the distal antrum of the stomach.
04/30/2011
adhesive intestinal obstruction
adhesive intestinal obstruction
04/30/2011

By ALEXANDER K. C. LEUNG, MD
ANDREW L. WONG, MD
C. PION KAO, MD
Alberta Children’s Hospital

By ALEXANDER K. C. LEUNG, MDANDREW L....
<div id="article-content-body"><p>Adhesions (A) can form within the peritoneal cavity after abdominal surgery, especially if there is an underlying inflammatory condition such as...
04/30/2011
04/30/2011
March 1, 2002
March 1, 2002
 
04/30/2011
04/30/2011
David L. Kaplan, MD
Case 1:
04/30/2011
04/30/2011
Gary E. Ruoff, MD
Rheumatoid arthritis (RA) affects 1% of adults during their most productive years and can result in significant disability.
04/30/2011
cervical lymphadenitis
cervical lymphadenitis
04/30/2011
March 1, 2006
March 1, 2006
I enjoyed the Photo Essay by Drs Alexander K. C. Leung and C. Pion Kao on infectious diseases in children (CONSULTANT, March 2001, page 459).
04/30/2011
04/30/2011
David Araujo, MD; Donald Pulver, Jr., MD
<div id="article-content-body"><p> </p><p><em>I found Joe Monroe's Photoclinic case of a patient with dermatitis artefacta very interesting (CONSULTANT,...
04/30/2011
04/30/2011
March 1, 2006
March 1, 2006
Delanty N (ed) SEIZURES: MEDICAL CAUSES AND MANAGEMENT Totowa, NJ, Humana Press, 2002, 380 pages, $125 hardcover
04/30/2011
04/30/2011
David Araujo, MD; Donald Pulver, Jr., MD
 
04/30/2011
erythema
erythema
04/30/2011
Robert P. Blereau, MD
A 0.5-cm mass with overlying erythema on the forehead of a 5-monthold girl was first noticed after she had been hit on the head with a rattle.
04/30/2011
04/30/2011
Jessica M. Garfin, MPT; Steven R. Garfin, MD
 
04/30/2011
04/30/2011
Gopi Rana-Mukkavilli, MD
Many patients with diabetes have to perform finger sticks—sometimes several times a day—to monitor their glucose levels and adjust medication or insulin dosages.
04/30/2011
04/30/2011
Bernard M. Karnath, MD; Akua Agyeman, MD; Albert Lai, MD
Sir William Osler once called pneumococcal pneumonia “the captain of the men of death.”1 Pneumonia is the sixth leading cause of death in the United States and the fourth l
04/30/2011
midgut volvulus
midgut volvulus
04/30/2011
Gopi Rana-Mukkavilli, MD
<div id="article-content-body"><p>This disorder occurs in fetal development, when the midgut supplied by the superior mesenteric artery grows too rapidly to be accommodated in the...
04/30/2011
subcutaneous fat necrosis
subcutaneous fat necrosis
04/30/2011
David Araujo, MD; Donald Pulver, Jr., MD
This practice should be avoided. Intramuscular triamcinolone acetonide can last for 4 to 6 weeks in the body and can inhibit normal adrenal function. If the injection is given in hip fat tissue, it can...
04/30/2011
Chesapeake
Chesapeake
04/30/2011
Patients who are told how to breathe into a peak flow meter often try for maximum volume rather than flow.
04/30/2011
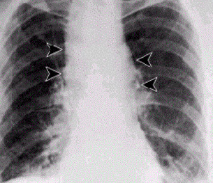
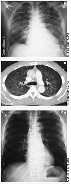
respiratory distress
respiratory distress
04/30/2011
Bijoy E. John, MD; Amado Freire, MD
<p>A 58-year-old man with a history of a seizure disorder was hospitalized with acute-onset shortness of breath immediately following a tonic-clonic seizure. He was afebrile; in respiratory distress;...
04/30/2011
vomiting
vomiting
04/30/2011
Khalid Aziz; Tausif Zar
Persistent bloating, epigastric discomfort, and increased gastric acidity prompted a 47-year-old woman to seek medical care.
04/30/2011
Anal canal
Anal canal
04/30/2011
March 1, 2006
March 1, 2006
To facilitate insertion of an anoscope or sigmoidoscope in a tense and anxious patient, ask him or her to bear down, simulating defecation.
04/30/2011
04/30/2011
Timothy H. Self, PharmD
Numerous factors, including other drugs, diseases, and diet, affect the response to warfarin(. Some of these fa
04/30/2011
04/30/2011
Thomas L. Petty, MD
  Q:What is the best and most efficient method of evaluating pulmonary function in primary care office practice?
04/30/2011
medication error
medication error
04/30/2011
Timothy H. Self, PharmD
Recent headlines in the nation’s newspapers have riveted public attention on medication errors—a problem that has long plagued the medical community.
04/30/2011
04/30/2011
David Araujo, MD; Donald Pulver, Jr., MD
<div id="article-content-body"><p> </p><p><em>A 3-year Australian study found that when patients who underwent bypass surgery were given coenzyme Q10 for a...
04/30/2011
04/30/2011
Ronald N. Rubin, MD; Adam M. Rubin, MD
An 83-year-old man complains of weakness, easy fatigability, and poor appetite that began 4 to 6 weeks ago.
04/30/2011
04/30/2011
Jessica M. Garfin, MPT; Steven R. Garfin, MD
Low back pain affects up to 80% of Americans at some point in their lives.1 This common ailment can be mentally and physically debilitating. The cause is o
04/30/2011
04/30/2011
Roy T. Rapp, MD
<div id="article-content-body"><p>Concerned about a lesion between her eyes, a 91-year-old woman sought medical evaluation (A). She had not seen a physician for 23 years. Dr Roy T....
04/30/2011
04/30/2011
David A. Relman, MD; Jed E. Olson, MD
In 1978, a ricin-filled pellet—which was injected with a spring-loaded device disguised in an umbrella—was used to assassinate Bulgarian defector Georgi Markov.
04/30/2011
04/30/2011
David Araujo, MD; Donald Pulver, Jr., MD
Many of the approximately 12.4 million Americans who have cardiovascular disease are not being treated with the most up-to-date risk-reduction therapies.
04/30/2011
Feature
Feature
04/30/2011
Allen L. Ginsberg, MD
Brief case histories of patients who have similar liver enzyme abnormalities but dissimilar clinical backgroundsare examined.
04/30/2011
endo
endo
04/30/2011
William Yaakob, MD; Leonie Gordon, MD
A 35-year-old woman has been losing weight and has had worsening abdominal pain and fullness for the past 2 months. She denies nausea, vomiting, and fever. Medical history is significant only for asthma. ...
04/30/2011
Dermclinic
Dermclinic
04/30/2011
David L. Kaplan, MD
04/30/2011