Skip to main content
Menu
Menu
Main navigation
Home
Education
Featured Topics
AAEM 32nd Annual Scientific Assembly
Depression Care 360
Emergency Medicine Excellence Forum
Emergency Medicine
GSK Partner Spotlight
Gynecologic Oncology
HIV Management
HIV Prevention
Migraine Excellence Hub
Severe Hypertriglyceridemia (sHTG)
Transthyretin Amyloid Cardiomyopathy (ATTR-CM)
Vaccines
Resources
Atlas of Lumps and Bumps
Case Presentations
Commentary
Disease State and Specialty Directory
FDA Alerts
Multidisciplinary Roundtables
Pearls
Podcasts
Polls
Q&A
Quizzes
Research Summaries
Slideshows
Videos
Featured Conferences
67th ASH Annual Meeting & Exposition
AAEM 32nd Annual Scientific Assembly
AANA 2025 Annual Congress
ANESTHESIOLOGY Annual Meeting
AANP National Conference
AAOMS 107th Annual Meeting
AAPM - PainConnect 2025
ACOG Annual Clinical & Scientific Meeting
ACR Convergence
ADA 85th Scientific Sessions
American Academy of Orthopaedic Surgeons 2025 Annual Meeting
American Association of Clinical Endocrinology 2025
American College of Cardiology 2025 Annual Meeting
American College of Foot and Ankle Surgeons 2025
American College of Physicians Internal Medicine Meeting
American Society of Clinical Oncology 2025
American Society of Hematology Annual Meeting & Exposition
APG Spring Conference 2025
APMA 2025 Annual Scientific Meeting
ASCO Annual Meeting
ASCRS Annual Scientific Meeting
ASHP Midyear Clinical Meeting and Exhibition
ASMBS 2025 Annual Meeting
ASRA Spring 2025
Consultant360's Practical Updates in Primary Care
Conference on Retroviruses and Opportunistic Infections
ENDO 2025
Kidney Week 2025
NCQA Health Innovation Summit
Plastic Surgery: The Meeting
SGO Annual Meeting on Women's Cancer
Society of Gynecologic Oncology Annual Meeting
Society of Hematologic Oncology's Annual Meeting
Society of Hospital Medicine Converge
Clinical Updates
Allergic Asthma
Alzheimer Disease
Atopic Dermatitis
Cardiovascular Disease
Chronic Obstructive Pulmonary Disease
COVID-19
Endometrial Cancer
Endometrial Hyperplasia
Endometriosis
Eosinophilic Disorders
Exocrine Pancreatic Insufficiency
Familial Chylomicronemia Syndrome
Generalized Pustular Psoriasis
Major Depressive Disorder
Myelofibrosis
Nasal Polyps
Ovarian Cancer
Rheumatoid Arthritis
Schizophrenia
Ulcerative Colitis
Uterine Polyps
Publication
About Consultant
Advertising With Consultant360
Author Guidelines
Call for Papers
Case Report Templates
Consultant Current Issue
Consultant Archive
Consultant Early View
FAQ
Get Permissions
Get Permissions
Search
Contact
Login
Menu
Menu
Main navigation
Home
Education
Featured Topics
AAEM 32nd Annual Scientific Assembly
Depression Care 360
Emergency Medicine Excellence Forum
Emergency Medicine
GSK Partner Spotlight
Gynecologic Oncology
HIV Management
HIV Prevention
Migraine Excellence Hub
Severe Hypertriglyceridemia (sHTG)
Transthyretin Amyloid Cardiomyopathy (ATTR-CM)
Vaccines
Resources
Atlas of Lumps and Bumps
Case Presentations
Commentary
Disease State and Specialty Directory
FDA Alerts
Multidisciplinary Roundtables
Pearls
Podcasts
Polls
Q&A
Quizzes
Research Summaries
Slideshows
Videos
Featured Conferences
67th ASH Annual Meeting & Exposition
AAEM 32nd Annual Scientific Assembly
AANA 2025 Annual Congress
ANESTHESIOLOGY Annual Meeting
AANP National Conference
AAOMS 107th Annual Meeting
AAPM - PainConnect 2025
ACOG Annual Clinical & Scientific Meeting
ACR Convergence
ADA 85th Scientific Sessions
American Academy of Orthopaedic Surgeons 2025 Annual Meeting
American Association of Clinical Endocrinology 2025
American College of Cardiology 2025 Annual Meeting
American College of Foot and Ankle Surgeons 2025
American College of Physicians Internal Medicine Meeting
American Society of Clinical Oncology 2025
American Society of Hematology Annual Meeting & Exposition
APG Spring Conference 2025
APMA 2025 Annual Scientific Meeting
ASCO Annual Meeting
ASCRS Annual Scientific Meeting
ASHP Midyear Clinical Meeting and Exhibition
ASMBS 2025 Annual Meeting
ASRA Spring 2025
Consultant360's Practical Updates in Primary Care
Conference on Retroviruses and Opportunistic Infections
ENDO 2025
Kidney Week 2025
NCQA Health Innovation Summit
Plastic Surgery: The Meeting
SGO Annual Meeting on Women's Cancer
Society of Gynecologic Oncology Annual Meeting
Society of Hematologic Oncology's Annual Meeting
Society of Hospital Medicine Converge
Clinical Updates
Allergic Asthma
Alzheimer Disease
Atopic Dermatitis
Cardiovascular Disease
Chronic Obstructive Pulmonary Disease
COVID-19
Endometrial Cancer
Endometrial Hyperplasia
Endometriosis
Eosinophilic Disorders
Exocrine Pancreatic Insufficiency
Familial Chylomicronemia Syndrome
Generalized Pustular Psoriasis
Major Depressive Disorder
Myelofibrosis
Nasal Polyps
Ovarian Cancer
Rheumatoid Arthritis
Schizophrenia
Ulcerative Colitis
Uterine Polyps
Publication
About Consultant
Advertising With Consultant360
Author Guidelines
Call for Papers
Case Report Templates
Consultant Current Issue
Consultant Archive
Consultant Early View
FAQ
Get Permissions
Get Permissions
Volume 43 - Issue 4 - April 2003
Consultant
An Enlarging Nodule, Itchy Bumps, and a Scaling Lesion
04/30/2011
David L. Kaplan, MD
A blue-black nodule has been present next to a 19-year-old woman's left eye since birth. After recent accidental trauma, the lesion has enlarged.
04/30/2011
Phytophotodermatitis
04/30/2011
Justine H.S. Fong, MD; Alexander K.C. Leung, MD, MBBS, FRCPC, FRCP
The parents of a 6-year-old girl were concerned about the hyperpigmentation of their child’s fingers.
04/30/2011
Portal Vein Thrombosis
04/30/2011
Manisha Balwani; Asif Merchant; Parthas Narashimhan; Hamida Merchant
A 60-year-old man presented to the emergency department (ED) with fever of 1 day’s duration and midabdominal pain.
04/30/2011
Meckel Diverticulum
04/30/2011
By Dr Virendra Parikh
By Dr Virendra Parikh
During surgical resection for colon cancer, an 8.5-cm diverticulum was found incidentally in a 70-year-old man.
04/30/2011
Herpes Zoster
Herpes Zoster
Atypical Herpes Zoster
04/30/2011
Robert P. Blereau, MD
Several lesions had appeared 1 week earlier on the left distal thigh of a 47-year-old woman.
04/30/2011
Foreign Body
04/30/2011
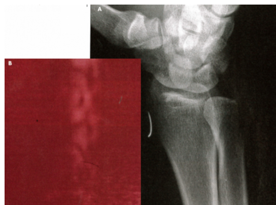
Rahul Gupta; Seema Gupta
A 40-year-old man presented to the emergency department with moderate to severe pain over the left lateral wrist. Earlier in the day, an iron rod had accidentally struck his...
04/30/2011