Volume 44 - Issue 13 - November 2004

Consultant

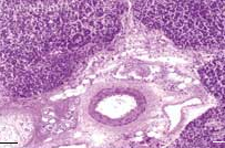
Acute Disseminated Histoplasmosis
Acute Disseminated Histoplasmosis
04/30/2011

Virendra Parikh, MD

Virendra Parikh, MD
<div id="article-content-body"><p>A 48-year-old man with jaundice, nausea, vomiting, and abdominal pain was hospitalized. The patient— a recovering <span...
04/30/2011
Diabetes mellitus
Diabetes mellitus
04/30/2011
Ibrahim Seki, MD; Tulay Kural, MD
High-grade fever, chills, fatigue, malaise, and anorexia developed in a 35-year-old man following subclavian catheterization because of chronic renal failure of unknown cause.
04/30/2011
Lisfranc Fracture and Dislocation
Lisfranc Fracture and Dislocation
04/30/2011
Bernardo B. Fernandez, MD
A man with type 2 diabetes mellitus sought evaluation of a hot, swollen right foot that seemed to have become “flat," consistent with Charcot joint.
04/30/2011