Volume 44 - Issue 10 - October 2004

Consultant

Herpes zoster
Herpes zoster
04/30/2011
When vesicles developed on a man’s right sole, the pain and tenderness in the area suggested herpes zoster.
04/30/2011
Herpes zoster
Herpes zoster
04/30/2011
Herpes zoster usually affects a single dermatome and can result from any of a host of factors that decrease the immune response.
04/30/2011
Herpes zoster
Herpes zoster
04/30/2011
Herpes zoster usually affects a single dermatome and can result from any of a host of factors that decrease the immune response.
04/30/2011
Asymptomatic Herpes Zoster
Asymptomatic Herpes Zoster
04/30/2011

September 1, 2004

September 1, 2004
<div id="article-content-body"><p>A 65-year-old woman sought evaluation of a unilateral, asymptomatic rash that involved the oral mucosa and lips. The rash consisted of ulcerations and...
04/30/2011
Herpes zoster
Herpes zoster
04/30/2011
When vesicles developed on a man’s right sole, the pain and tenderness in the area suggested herpes zoster.
04/30/2011
Herpes zoster
Herpes zoster
04/30/2011
Herpes zoster usually affects a single dermatome and can result from any of a host of factors that decrease the immune response.
04/30/2011
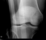
Knee pain following a soccer injury
Knee pain following a soccer injury
04/30/2011
William Yaakob, MD; Stephen Schabel, MD
<p>A 23-year-old woman presents with severe right knee pain that resulted from a collision with another player during a soccer game. The majority of the force of the blow was to the right knee. The...
04/30/2011
Diabetes and Celiac Disease
Diabetes and Celiac Disease
04/30/2011
<div id="article-content-body"> <p>Celiac disease may be associated with abdominal symptoms, such as crampy diarrhea or bloating. Often, however, it is silent. Untreated celiac disease...
04/30/2011