Volume 44 - Issue 8 - August 2004

Consultant

11/30/2016
Alexander K.C. Leung, MD, MBBS, FRCPC, FRCP; C. Pion Kao, MD
11/30/2016
Graves disease
Graves disease
04/30/2011
C. Pion Kao, MD; Alexander K.C. Leung, MD, MBBS, FRCPC, FRCP
Exophthalmos, lid retraction, diffuse enlargement of the thyroid gland, and hand tremor are typical findings in Graves disease.
04/30/2011
peritonsillar abscess
peritonsillar abscess
04/30/2011
David Effron, MD
<div id="article-content-body"> <p>A 17-year-old boy has had severe pharyngitis, fever, and dysphagia for the past 2 days. Although he took an NSAID and tried gargling with hydrogen...
04/30/2011
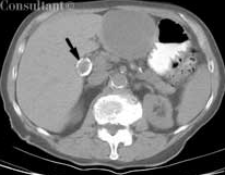
Porcelain Gallbladder
Porcelain Gallbladder
04/30/2011

Virendra Parikh, MD

Virendra Parikh, MD
<div id="article-content-body"><p>During an evaluation to detect metastatic disease in a 75-year-old woman with recently diagnosed cecal cancer, a CT scan of the abdomen and pelvis...
04/30/2011
Thyrotoxic Periodic Paralysis
Thyrotoxic Periodic Paralysis
04/30/2011
Justine H.S. Fong, MD; Alexander K.C. Leung, MD, MBBS, FRCPC, FRCP
<div id="article-content-body"><p>A 17-year-old adolescent experienced an episode of generalized paralysis of acute onset after physical exertion and consumption of a high-carbohydrate...
04/30/2011
Hemolytic Uremic Syndrome
Hemolytic Uremic Syndrome
04/30/2011
Lucia C. Fry, MD; Klaus E. Mönkemuller, MD
<div id="article-content-body"> <p>For 24 hours, a 62-year-old woman had had severe weakness, abdominal pain, and watery diarrhea that had become bloody in the past 12 hours. She had...
04/30/2011
Waterborne Infection
Waterborne Infection
04/30/2011
Bibas Reddy, DO, MPH; Hugh Durham, MD; Sandra A. Kemmerly, MD
<p>A 79-year-old man presents to the emergency department with a painful lesion on his right forearm. Three days earlier, he had scratched his arm while removing crabs from a trap. Initially, the...
04/30/2011
Hyperthyroid Hyperpigmentation
Hyperthyroid Hyperpigmentation
04/30/2011
Robert P. Blereau, MD
Hyperpigmentation is seen on the cheeks and eyelids of a 36-year-old woman. She became hyperthyroid at age 19 years, with accompanying exophthalmos and hyperpigmentation, following the birth of her first...
04/30/2011
Chest Pain and Dyspnea
Chest Pain and Dyspnea
04/30/2011
Ira S. Nash, MD; Ram Y. Gordon, MD
<div id="article-content-body"> <p>A 48-year-old woman with a history of hypertension and mild asthma has been transferred to the medical service because of an abnormal postoperative...
04/30/2011
Erythema Nodosum
Erythema Nodosum
04/30/2011
Robert Levine, MD, DO
<div id="article-content-body"><p>A mildly painful, nonpruritic rash on the forearms and legs prompted a 42-year-old man to go to the emergency department (ED). The patient noted the...
04/30/2011
staphylococcal infection
staphylococcal infection
04/30/2011
David L. Kaplan, MD
<div id="article-content-body"><strong>Case 1:</strong> This crusted eroded area on the lower lip of a 67-year-old man has been present for several months. Which of the following...
04/30/2011
stuff
stuff
04/30/2011
Russell D. White, MD
An Elderly Man With Recent Atrial Fibrillation,
04/30/2011
Cellulitis With Felon
Cellulitis With Felon
04/30/2011
D. Brady Pregerson, MD
<div id="article-content-body"><p>For 3 days, a 47-year-old woman had a painful red swelling on her finger. The patient—a cellist—had tried to lance the lesion at home, but it...
04/30/2011
Rashes
Rashes
04/30/2011
<div><strong></strong>A 78-year-old man presents with an asymptomatic acute eruption on both legs that extends from the ankles to just above the knees. Individual macules range from 4 to...
04/30/2011
Pretibial Myxedema
Pretibial Myxedema
04/30/2011
William M. Bailey, MD, FHRS; Leslie 'Les' Trope, MD; John DiTredici, MD
<div id="article-content-body"> <p>Swelling of the lower legs brought this 57-year-old woman to a family practice clinic. She had a history of hyperthyroidism with weight loss,...
04/30/2011
COPD
COPD
04/30/2011
Thomas L. Petty, MD
Drugs on the horizon include the phosphodiesterase-4 inhibitors, 2 of which—cilomilast and roflumilast—are in phase 3 clinical trials.
04/30/2011
Macrolide-Drug Interactions
Macrolide-Drug Interactions
04/30/2011
Timothy H. Self, PharmD; Peggy S. Yam, PharmD
<div id="article-content-body"> <p>Macrolides are commonly used to treat a variety of infections. Erythromycin has long been recognized as having numerous highly important drug...
04/30/2011
Gastric Banding
Gastric Banding
04/30/2011
Camelia Davtyan, MD; David Davtyan, MD
<div id="article-content-body"> <p>Given the rapid rise in the prevalence of obesity—which now stands at 27% of the adult US population<sup>1</sup>—there is an urgent need...
04/30/2011