Volume 44 - Issue 7 - July 2004

Consultant

Tinea Pedis and Onychomycosis
Tinea Pedis and Onychomycosis
04/30/2011
Joe R. Monroe, PA-C, MPAS, PA
A 50-year-old man had a long-standing rash on both soles. The patient’s toenails were yellow and dystrophic. These physical findings strongly suggested moccasin- variety tinea pedis and onychomycosis (also...
04/30/2011
Keratosis Pilaris
Keratosis Pilaris
04/30/2011
Robert P. Blereau, MD
<div id="article-content-body"><p>For 2 months, an asymptomatic rash had been present on the upper arms of a 16-year-old boy of normal weight. The rash, as seen on the patient’s right...
04/30/2011
Port-Wine Stain
Port-Wine Stain
04/30/2011
C. Pion Kao, MD; Alexander K.C. Leung, MD, MBBS, FRCPC, FRCP
<div id="article-content-body"><p>A 10-month-old infant was referred for evaluation of possible Sturge-Weber syndrome. According to his parents, the discoloration on the child’s face...
04/30/2011
Acute pericarditis
Acute pericarditis
04/30/2011
<div id="article-content-body"><p>A 35-year-old woman (gravida 3, para 2) presented at 25 weeks’ gestation with a 24-hour history of continuous, pressure-like, retrosternal chest pain,...
04/30/2011
Tinea Manuum
Tinea Manuum
04/30/2011
Joe R. Monroe, PA-C, MPAS, PA
<div id="article-content-body"><p>For years, a 39-year-old man had an eruption on his hand, which seemed to be controlled with topical corticosteroids. The patient was a rancher. The...
04/30/2011
Baghdad Boil
Baghdad Boil
04/30/2011
Kenneth S. Brooks, CPT, PA-C
<div id="article-content-body"><p>A 33-year-old active-duty soldier who had been in Iraq for 6 months presented with a depressed lesion on his left lateral elbow of several months’...
04/30/2011
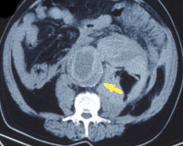
Ruptured Aortic Aneurysm
Ruptured Aortic Aneurysm
04/30/2011
George Pappas, MD; Nikolaso K. Akritidis, MD; Konstantinos Paparounas, MD, PhD
Severe abdominal pain radiating to the back prompted a 72-year-old man to go to the emergency department (ED). The patient had experienced similar pain 2 days earlier and was treated at another hospital for...
04/30/2011
Rapid-Acting Insulin
Rapid-Acting Insulin
04/30/2011
<div id="article-content-body"> <p>Apidra (insulin glulisine injection) from Aventis is approved by the FDA for use in adult patients with type 1 or type 2 diabetes mellitus for the...
04/30/2011
Sebaceous Cyst
Sebaceous Cyst
04/30/2011
Leslie 'Les' Trope, MD; Schlomo Trope, MD; Hillel Trope, MD
<div id="article-content-body"><p>A painless swelling on the dorsum of the scalp had been present for many years in a 36-year-old man. An increase in the size of the lesion prompted...
04/30/2011
Steroid-Exacerbated Tinea Corporis
Steroid-Exacerbated Tinea Corporis
04/30/2011
Joe R. Monroe, PA-C, MPAS, PA
<div id="article-content-body"><p>The continuous use of a corticosteroid cream briefly relieved the pruritus of an annular, papulosquamous eruption on the left anterior thigh of a...
04/30/2011
Long-Standing Tinea Corporis
Long-Standing Tinea Corporis
04/30/2011
Robert P. Blereau, MD
<div id="article-content-body"><p>For more than 20 years, a 55-year-old man had a faintly erythematous, papulosquamous rash with arciform borders on his groin and waistline. The rash...
04/30/2011
Tinea Corporis
Tinea Corporis
04/30/2011
<div id="article-content-body"><p>For 1 year, a 30-year-old man had an intermittent rash that was confined to the area of his jockey shorts; no other part of the body was affected. The...
04/30/2011
Peroneal Ganglion
Peroneal Ganglion
04/30/2011
Justine H.S. Fong, MD; Alexander K.C. Leung, MD, MBBS, FRCPC, FRCP
<div id="article-content-body"><p>A 7-year-old boy presented with an asymptomatic cystic lesion on the lateral aspect of the left ankle of 4 months’ duration. There was no history of...
04/30/2011
Q&As
Q&As
04/30/2011
Donald G. Vidt, MD
Hypertensive crises encompass a spectrum of clinical situations that have in common elevated blood pressure (BP) and progressive or impending target organ damage.
04/30/2011