Volume 46 - Issue 1 - January 2006

Consultant

Cutis Marmorata
Cutis Marmorata
04/30/2011
Alexander K.C. Leung, MD, MBBS, FRCPC, FRCP; Alex H.C. Wong, MD
<div id="article-content-body"><p><img src="http://imaging.cmpmedica.com/consultantlive/images/articles/2006/01012006/0601ConPECutisB.jpg" style="padding-bottom:...
04/30/2011
Folliculitis
Folliculitis
04/30/2011
David L. Kaplan, MD
<p class="MsoNormal"><img src="/sites/default/files/images/ConDC3.jpg" width="150" height="89" style="margin-left: 8px; margin-right: 8px; border: 1px...
04/30/2011
Frostbite
Frostbite
04/30/2011
<div id="article-content-body"><p><img src="http://imaging.cmpmedica.com/consultantlive/images/articles/2006/01012006/0601ConPEFrostA.jpg" style="padding-bottom:...
04/30/2011
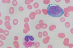
Thrombocytopenia
Thrombocytopenia
04/30/2011
Gregory W. Rutecki, MD; Melanie R. Drake, MD
<div id="article-content-body"> <p><img alt="" src="/sites/default/files/images/ConCPRutecki4.jpg" style="border:1px solid black; height:93px;...
04/30/2011
Raynaud Phenomenon
Raynaud Phenomenon
04/30/2011
Gregory W. Rutecki, MD; Melanie R. Drake, MD
<div id="article-content-body"> <p><img alt="" src="/sites/default/files/images/Raynaud%20Phenomenon.jpg" style="border:1px solid black; height:83px;...
04/30/2011
Asteatotic Eczema
Asteatotic Eczema
04/30/2011
With the onset of winter, dry and scaly skin accompanied by pruritus prompted this patient to seek medical attention. Topical corticosteroids and a change in bathing habits eased the eczematous symptoms. ...
04/30/2011
hypotension
hypotension
04/30/2011
William J. Brady, MD; Richard A. Harrigan, MD; Theodore Chan, MD
<div id="article-content-body"><p><img src="/sites/default/files/images/ConECG1_1.jpg" width="200" height="60" style="border: 1px solid black;...
04/30/2011
Holocaust Survivors
Holocaust Survivors
04/30/2011
<div><img src="/sites/default/files/images/ConCC.jpg" style="margin-left: 8px; margin-right: 8px; border: 1px solid black; float: left;" width="150"...
04/30/2011
Breast Cancer Survivors
Breast Cancer Survivors
04/30/2011
Gregory W. Rutecki, MD
Are aromatase inhibitors safe and effective as adjuvant therapy for postmenopausal women with estrogen receptor-positive breast cancer?
04/30/2011
Pain
Pain
04/30/2011
Jeffrey A. Burgess, DDS
Most pain in or around the oral cavity is attributable to tooth or mucosal pathology.
04/30/2011
Vision Loss
Vision Loss
04/30/2011
Leonid Skorin, Jr., DO, MS, OD
Temporal arteritis (giant cell arteritis or cranial arteritis) is an inflammatory disease involving blood vessels that supply the optic nerve, retina, and brain.
04/30/2011
Swollen Leg and Fever
Swollen Leg and Fever
04/30/2011
Navin M. Amin, MD
<div id="article-content-body"> <p>A 16-month-old previously healthy child is hospitalized after 36 hours of worsening painful edema and erythema of the right lower leg and high fever...
04/30/2011
diabetic kidney disease
diabetic kidney disease
04/30/2011
Gregory W. Rutecki, MD
<p>The benefits of ACEIs and ARBs in diabetic renal disease are consistent with a critical pathophysiology. An activated renin-angiotensin system leads to deleterious effects on the kidneys of...
04/30/2011
Thrombocytopenia
Thrombocytopenia
04/30/2011
Gregory W. Rutecki, MD; Melanie R. Drake, MD
<div id="article-content-body"> <p><strong>ABSTRACT: A scheme-based approach, supported by a simple mnemonic, can narrow the broad differential diagnosis of thrombocytopenia....
04/30/2011
Photoclinic
Photoclinic
01/01/2006
Man with a history of injection drug use was diagnosed based on 3 sets of blood cultures, which were positive for methicillin-sensitive Staphylococcus aureus.
01/01/2006
01/01/2006
Man with a history of injection drug use was diagnosed based on 3 sets of blood cultures, which were positive for methicillin-sensitive Staphylococcus aureus.
01/01/2006