Volume 46 - Issue 5 - May 2006

Consultant

04/30/2011
<div id="article-content-body"><p>For 2 months, a 35-year-old woman has been troubled by a bilateral pruritic eruption on her neck. The condition did not respond to a 3-week course of...
04/30/2011
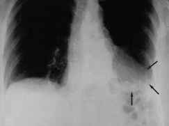
Cough and Dyspnea
Cough and Dyspnea
04/30/2011
Timothy J. Barreiro, DO; Anthony Pietropaoli, MD
<div id="article-content-body"> <p><em><img alt="" src="/sites/default/files/images/Con2CPLipoid2.jpg" style="border:1px solid black; height:91px;...
04/30/2011
tips and tricks
tips and tricks
04/27/2011
<div id="article-content-body"> <p><strong>Dust Off Those Stirrups</strong></p> <p><strong>Monthly Breast Exam...
04/27/2011