Volume 46 - Issue 10 - October 2006

Consultant

In-flight Clotting
In-flight Clotting
04/30/2011
Gregory W. Rutecki, MD
<p>Recently, a well-designed crossover study assessed the risk of thrombosis during long flights.<sup>1,2</sup> Included were persons with such risk factors as factor V Leiden mutation and...
04/30/2011
Clostridium difficile Colitis
Clostridium difficile Colitis
04/30/2011
Gregory W. Rutecki, MD
<div id="article-content-body"> <p><img alt="" src="/sites/default/files/images/ConWWCol1.jpg" style="border:1px solid black; height:159px; margin-left:8px;...
04/30/2011
Asymptomatic Hepatomegaly
Asymptomatic Hepatomegaly
04/30/2011
Navin M. Amin, MD
<div id="article-content-body"> <p><img alt="" src="/sites/default/files/images/Con1WWAmin.jpg" style="border:1px solid black; height:117px;...
04/30/2011
Osteochondral Fracture
Osteochondral Fracture
04/30/2011
<div id="article-content-body"> <p><img alt="" src="/sites/default/files/images/Con1PESporOFa.jpg" style="border:1px solid black; height:118px;...
04/30/2011
Avulsion Fracture
Avulsion Fracture
04/30/2011
<div id="article-content-body"><p><img src="http://imaging.cmpmedica.com/consultantlive/images/articles/2006/09012006/0609Con1PESporAF1_thumbnail.jpg" style="float:...
04/30/2011
Cardiac Symptoms & Breast Cancer
Cardiac Symptoms & Breast Cancer
04/30/2011
Bizath Taqui, MD; Himani Shishodia, MD; Ronald N. Rubin, MD
Anthracyclines are the most common cause of cardiovascular complications in patients with cancer.
04/30/2011
Trichotillomania
Trichotillomania
04/30/2011
Charles C. Tran, DO, MBA
<div id="article-content-body"><p>Alopecia was noted on the right anterior scalp of a 53-year-old man who had been hospitalized for jaundice of 2 weeks' duration. The hairs in the...
04/30/2011
Prehypertension
Prehypertension
04/30/2011
Donald G. Vidt, MD
<div id="article-content-body"> <p>The term "prehypertension" was introduced in the Seventh Report of the Joint National Committee on Prevention, Detection, Evaluation, and...
04/30/2011
Case In Point
Case In Point
04/30/2011
S. Shane Rabin, BS; Jacob Dudelzak, MD; Jeffrey R. Lee, MD; Daniel J. Sheehan, MD
A 62-year-old man presents with a violaceous, nonpruritic eruption that arose 2 weeks earlier on the hands and feet, including the palms and soles, and spread to the arms and legs.
04/30/2011
Quiz
Quiz
04/30/2011
David L. Kaplan, MD
<p class="MsoNormal"><img src="/sites/default/files/old/img_4dbc2d14bf43c.jpg" alt="Dermclinic" style="margin: 5px 8px 10px; float: left; border: 1px solid...
04/30/2011
Headaches
Headaches
04/30/2011
Seymour Diamond, MD; Alexander Feoktistov, MD, PhD
<p>The patient is a 47-year-old white woman with frequent, intensely painful unilateral or bilateral headaches that occur behind her left eye or temporal area. These headaches cause throbbing pain...
04/30/2011
Bilateral Epiblepharon
Bilateral Epiblepharon
04/30/2011
An 11-month-old infant was referred by his pediatrician for possible surgical correction of a bilateral entropion.
04/30/2011
Olfactory Illusions
Olfactory Illusions
04/30/2011
<div id="article-content-body"> <p>My patient, in whom allergic rhinitis has been diagnosed, has been receiving weekly allergy shots since June 2003 for allergies to dust, grass,...
04/30/2011
stuff
stuff
04/30/2011
Rolando Rivera, MD; Marc S. Cohen, MD
Erectile Dysfunction
04/30/2011
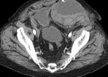
Psoas Avulsion Fracture
Psoas Avulsion Fracture
04/30/2011
<div id="article-content-body"><p><img src="/sites/default/files/images/Con1PESporPAF.jpg" style="margin-right: 8px; margin-left: 8px; border: 1px solid black; float:...
04/30/2011
Barton Fracture
Barton Fracture
04/30/2011
<div id="article-content-body"><p><img src="/sites/default/files/images/Con1PESporBFa.jpg" style="float: left; margin: 4px 8px; border: 1px solid black;"...
04/30/2011
stuff
stuff
04/30/2011
Douglas S. Ross, MD
Erectile Dysfunction
04/30/2011
Pompholyx
Pompholyx
04/30/2011
Kathleen Ryan, MD; Melissa Blaker, MD; Maria N. Kelly, MD; Sanjeev Y. Tuli, MD; Sonal S. Tuli, MD; Deepak M. Kamat, MD, PhD
<div id="article-content-body"><p><img src="/sites/default/files/images/Con1PCPomp.jpg" style="margin-right: 8px; margin-left: 8px; border: 1px solid black; float:...
04/30/2011
Kidney
Kidney
04/30/2011
<div id="article-content-body"> <p>The risk of complications (such as lactic acidosis) that can be associated with metformin increases in patients with renal insufficiency. At what...
04/30/2011
Breaking News on Fracture Prevention
Breaking News on Fracture Prevention
04/30/2011
<div id="article-content-body"> <p><img alt="" src="/sites/default/files/images/Con1SSCalA.jpg" style="border:1px solid black; height:137px;...
04/30/2011
Rash and Fever
Rash and Fever
04/30/2011
<div id="article-content-body"> <p><strong><img alt="" src="/sites/default/files/images/Con1PQFeverC2A.jpg" style="border:1px solid black;...
04/30/2011
Quiz
Quiz
04/30/2011
Richard A. Harrigan, MD; Theodore Chan, MD; William J. Brady, MD
An 82-year-old man presents with shoulder pain resulting from a fall the day before. He has had intermittent episodes of light-headedness, chest pain, and "flutterings in the chest" over the past...
04/30/2011
Colonic Varices
Colonic Varices
04/30/2011
<div id="article-content-body"><p><img src="/sites/default/files/images/Con1PCColo.jpg" style="margin-right: 8px; margin-left: 8px; border: 1px solid black; float:...
04/30/2011
Rectus Sheath Hematoma
Rectus Sheath Hematoma
04/30/2011
Suresh Mamidala, MD; Albana B. Mihali, MD; Rishi Bajaj, MD
<div id="article-content-body"> <p><img alt="" src="/sites/default/files/images/Con1PCRectus.jpg" style="border:1px solid black; height:108px;...
04/30/2011
OTC Statins
OTC Statins
04/30/2011
<div id="article-content-body"> <p><em>The recent editorial by David T. Nash, MD, "OTC Statins: Panacea or Pandora's Box?" (CONSULTANT, July 2006, page 845),...
04/30/2011
Chronic Disease
Chronic Disease
04/30/2011
Edward Shahady, MD
<p><strong>ABSTRACT: Our knowledge of chronic diseases has advanced significantly in recent decades, but patient outcomes have not kept pace. This is largely because the traditional acute care...
04/30/2011
tips and tricks
tips and tricks
04/27/2011
<p><span style="font-family:symbol; font-size:small">"B" What?</span></p> <p><span style="font-family:symbol; font-size:small">Easy...
04/27/2011