Volume 46 - Issue 12 - December 2006

Consultant

new medications
new medications
04/30/2011
<div id="article-content-body"> <p>Ezetimibe/simvastatin (Vytorin) recently became available for the treatment of high LDL cholesterol levels, as adjunctive therapy to dietary...
04/30/2011
Oral and Perioral Lesions
Oral and Perioral Lesions
04/30/2011
<p><img src="/sites/default/files/old/img_4dbc2b842b78e.jpg" alt="Figure 3" style="float: left; margin-left: 8px; margin-right: 8px;" width="150"...
04/30/2011
Sprained ankle
Sprained ankle
04/30/2011
Edward Shahady, MD; Willis Paull, PhD; Renna Hemrajani
<p><img alt="" src="/sites/default/files/images/acute-ankle-pain-runner.jpg" style="height:169px; margin-left:8px; margin-right:8px; width:150px; float:left" />A...
04/30/2011
Treatment of Protozoal Diarrhea in Children
Treatment of Protozoal Diarrhea in Children
04/30/2011
<div id="article-content-body"><p>Nitazoxanide (Alinia), from Romark Laboratories, has been approved by the FDA for the treatment of children who have diarrhea caused by...
04/30/2011
Gastric Obstruction
Gastric Obstruction
04/30/2011
John C. Rhee, MD
<div id="article-content-body"><p><img src="/sites/default/files/images/Gastric%20Outlet%20Obstruction2.jpg" style="float: left; margin-left: 8px; margin-right:...
04/30/2011
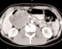
Abdominal Pain
Abdominal Pain
04/30/2011
Kurt Mathews, MD, MS; James Gulizia, MD, PhD
<p><img alt="Figure 2" height="114" src="/sites/default/files/old/img_4dbc2b7e270d8.jpg" style="float:left" width="150" />A 23-year-old woman...
04/30/2011
Cleidocranial Dysostosis
Cleidocranial Dysostosis
04/30/2011
Douglas P. Beall, MD; John Whyte, MD, MPH
These findings are consistent with the midline fusion anomalies typically seen in cleidocranial dysostosis.
04/30/2011
Vulvar Intraepithelial Neoplasia
Vulvar Intraepithelial Neoplasia
04/30/2011
William Keenan, MD
<div id="article-content-body"><p><img src="/sites/default/files/images/Vulvar%20Intraepithelial%20Neoplasia.jpg" style="margin-left: 8px; margin-right: 8px; float:...
04/30/2011