Volume 47 - Issue 8 - August 2007

Consultant

severe gag reflex
severe gag reflex
04/28/2011
<div id="article-content-body"><p>The next time you need to perform a routine oral examination in a patient with a severe gag reflex, try this: have the patient use the tongue blade to...
04/28/2011
Ocular Genetic Disease
Ocular Genetic Disease
04/28/2011
Golder N. Wilson, MD, PhD
A 23-year-old woman is brought to the emergency department after being found unconscious in her apartment.
04/28/2011
Exercise
Exercise
04/28/2011
<div id="article-content-body"><p>When patients' deep tendon reflexes in the ankle and knee are diminished, have them clasp their hands together and pull outward with both...
04/28/2011
Tea Tree Oil
Tea Tree Oil
04/28/2011
Amber Stonehouse, MD; James Studdiford, MD
<div id="article-content-body"> <p>The sudden appearance of a pruritic confluent erythematous rash on the anterior neck and upper back prompted a 30-year-old woman to seek medical...
04/28/2011
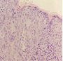
Staphylococcal folliculitis
Staphylococcal folliculitis
04/28/2011
David L. Kaplan, MD
<p><img src="/sites/default/files/old/img_4db964e8564c9.jpg" alt="Figure" width="150" height="150" style="margin-left: 8px; margin-right: 8px; float:...
04/28/2011
04/28/2011
Hani Raoul Khouzam, MD, MPH
<div id="article-content-body"> <p>Depression is a common, recurrent, often debilitating, and potentially lethal disorder. About 1 in 10 outpatients have clinical, or major,...
04/28/2011
Apologies
Apologies
04/28/2011
<div id="article-content-body"><p>Apologies and appreciation can work wonders for both patient and physician. One afternoon at our noon-to-5 clinic, a flood of patients arrived all at...
04/28/2011
Antibiotic Resistance
Antibiotic Resistance
04/28/2011
Gregory W. Rutecki, MD
<p><strong><em><img alt="" src="/sites/default/files/images/Gregory%20W%20Rutecki%2C%20MD.jpg" style="height:176px; margin-left:8px; margin-right:8px;...
04/28/2011
Cryotherapy
Cryotherapy
04/28/2011
<p>Young children are prone to scrapes and bruises. I recommend to their parents keeping a tray of miniature party-type ice cubes in the freezer.</p>
04/28/2011
acute myocardial infarction
acute myocardial infarction
04/28/2011
Donald Wickline, MD; Jonathin Siff, MD; Janet Poponick, MD
A 67-year-old woman arrived via ambulance in ventricular tachycardia. She had been experiencing crushing substernal chest pain and shortness of breath that had worsened over the past several hours. She...
04/28/2011
Lipoprotein(a)
Lipoprotein(a)
04/28/2011
Peter P. Toth, MD, PhD
<div id="article-content-body"><p>Should I prescribe niacin for a patient whose lipoprotein(a) (Lp[a]) level is 65 mg/dL?</p></div>
04/28/2011
04/28/2011
Henry Schneiderman, MD
One facet of the rarity of making a diagnosis of penile in situ cancer in the primary care setting is underexamination of the genitalia.
04/28/2011
04/28/2011
Tracey Liakos, DO; Susan Schwartz, DO
The incidence of melanoma has risen faster than any other malignancy and is currently the leading cause of death from diseases of the skin.
04/28/2011
Eye Pain
Eye Pain
04/28/2011
John Bower, MD; David Effron, MD; Michael D. Smith, MD
<div id="article-content-body"><!-- START FIGURE CODE --> <p>A 42-year-old man presents with severe pain, decreased vision, photophobia, and purulent discharge in his right...
04/28/2011
Virtual Patient
Virtual Patient
04/28/2011
Faith T. Fitzgerald, MD
<div id="article-content-body"><p>As a teacher of medical students and residents in an academic medical center hospital, I am more and more concerned about the increasing distance...
04/28/2011
Tripod Sign
Tripod Sign
04/28/2011
Dr Henry Schneiderman invited readers to examine the photograph of a man with severe obstructive airways disease and psoriasis and offer additional observations.
04/28/2011
Heart failure
Heart failure
04/28/2011
Wai Hong Wilson Tang, MD
<div id="article-content-body"><p>Heart failure is prevalent in both primary care and cardiology practices. It develops in about 1 in 5 persons during their lifetime and in about 1 in...
04/28/2011
Nail-Patella Syndrome
Nail-Patella Syndrome
04/28/2011
Chris Buatti, DO
<div id="article-content-body"><p>This 33-year-old Guatemalan man presented to a medical mission camp with generalized bilateral knee pain and inability to extend his leg without...
04/28/2011
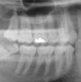
Paramandibular Abscess
Paramandibular Abscess
04/28/2011
Francis Chuidian, MD
<p><img alt="Figure" class="imageBorderBlue" src="/sites/default/files/old/img_4db964da1df94.jpg" style="height:100px; margin-left:8px; margin-right:8px;...
04/28/2011
Labile Blood Pressure
Labile Blood Pressure
04/28/2011
Ronald N. Rubin, MD
<div id="article-content-body"> <p>At a routine blood pressure check, a 63-year-old woman has 2 readings of 165/100 mm Hg. The patient has had essential hypertension since age 41...
04/28/2011