Volume 47 - Issue 12 - December 2007

Consultant

Questions to ask
Questions to ask
04/27/2011
James L. Justice, MD
<div id="article-content-body"><p>I end my review of systems with 3 questions that help patients reflect constructively on the state of their health.</p></div>
04/27/2011
Pitted Keratolysis
Pitted Keratolysis
04/27/2011
Jonathan Stuart Crane, DO, MD; David Ohashi, MD; Mary Lou Courrege, MD
<div id="article-content-body"><p><img src="/sites/default/files/images/Pitted_Keratolysis.jpg" width="150" height="80" style="float: left;...
04/27/2011
Ticks
Ticks
04/27/2011
Maureen Breese, NP
<div id="article-content-body"><p>As a new resident of "tick country" in northern California, I was recently introduced to a great way to remove ticks—both those that are...
04/27/2011
Retropharyngeal Abscess
Retropharyngeal Abscess
04/27/2011
Jason M. Erickson; Joshua S. Coren, DO, MBA
<div id="article-content-body"><p>Sharp, shooting posterior neck pain prompted a 29-year-old man to seek medical attention. The pain began 4 days earlier and progressed to the point...
04/27/2011
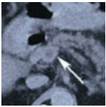
Mesenteric Venous Thrombosis
Mesenteric Venous Thrombosis
04/27/2011
Sumeeta Mazzarolo, MD; Jose Lezama, MD; Kevin O'Brien, MD
A 63-year-old man with a history of hypertension and gastroesophageal reflux disease presented with progressive, sharp mid-abdominal pain.
04/27/2011
Interatrial Septal Aneurysms
Interatrial Septal Aneurysms
04/27/2011
Azam Ansari, MD; Ryan Devine, BS 
<div id="article-content-body"><p><img...
04/27/2011
Clot Stopper
Clot Stopper
04/27/2011
Gregory W. Rutecki, MD
<div id="article-content-body">Your patient with peripheral vascular disease (PVD) or atrial fibrillation who is receiving therapeutic anticoagulation sustains a hemorrhagic stroke. This is...
04/27/2011
04/27/2011
Rachmel Cherner, MD
<div id="article-content-body"><p>An increasing number of patients with diabetes have difficulty in managing their blood glucose levels. It used to be that patient education, a...
04/27/2011
Unilateral Headaches
Unilateral Headaches
04/27/2011
Seymour Diamond, MD; Alexander Feoktistov, MD, PhD
Woman with recurring sharp, stabbing headaches was diagnosed with migraines.
04/27/2011
Emerging Infections
Emerging Infections
04/27/2011
Thomas Fekete, MD
<div id="article-content-body"><p><img src="/sites/default/files/old/img_4db8d944c850b.jpg" alt="Figure 1" style="margin-left: 8px; margin-right: 8px;...
04/27/2011
Shoulder Abscess
Shoulder Abscess
04/27/2011
Mark Dixon, DO; Lael Desmond, MD; Richard Paula, MD
<p><img alt="Figure 1" class="imageBorderBlue" src="/sites/default/files/old/img_4db8d942aac6a.jpg" style="height:150px; margin-left:8px; margin-right:8px;...
04/27/2011
Tongue Depressor
Tongue Depressor
04/27/2011
Thomas M. Whiteneck, DO
<div id="article-content-body"><p>When you need to jot down the name of a medicine, condition, or specialist for a patient and you're in a hurry, just grab a tongue...
04/27/2011
Abdominal Pain
Abdominal Pain
04/27/2011
Ronald N. Rubin, MD
<div id="article-content-body"> <p>Forty-eight hours ago, a 39-year-old man presented to the emergency department with emesis and severe upper abdominal pain of semi-acute onset, which...
04/27/2011
Nummular Eczema
Nummular Eczema
04/27/2011
David L. Kaplan, MD
<p id="article-content-body"><img src="/sites/default/files/old/img_4db8d93ec4f2b.jpg" alt="Figure" width="150" height="150"...
04/27/2011
tips and tricks
tips and tricks
04/27/2011
Richard A. Honaker, MD
<div id="article-content-body"><p>For resistant pruritus ani, have patients try using cholestyramine topically.</p></div>
04/27/2011
Mycosis Fungoides
Mycosis Fungoides
04/27/2011
Muhammad Wasif Saif, MD
<div id="article-content-body"><p>For more than 3 years, a 63-year-old man with a long history of parapsoriasis had multiple hyperpigmented, erythematous plaqueswith scaling on the...
04/27/2011
Virtual Age
Virtual Age
04/27/2011
<div id="article-content-body"><p>At the end of her Guest Commentary, "The Virtual Patient" (CONSULTANT, July 2007), Dr Faith Fitzgerald asks: "How shall my students...
04/27/2011
Keratoacanthoma
Keratoacanthoma
04/27/2011
Robert P. Blereau, MD
<div id="article-content-body"><p><img...
04/27/2011
Tightening Loose Sutures
Tightening Loose Sutures
04/27/2011
<div id="article-content-body"><img src="/sites/default/files/old/img_4db8d93b21125.jpg" alt="Figure 1" style="margin-left: 8px; margin-right: 8px; float:...
04/27/2011
Primary Care
Primary Care
04/27/2011
D. Brady Pregerson, MD
Although many lacerations are treated in the emergency department, primary care clinicians still see their share of such wounds.
04/27/2011
Sudden Loss of Consciousness
Sudden Loss of Consciousness
04/27/2011
Navin M. Amin, MD; J. Paul Miller, MD
<div id="article-content-body"> <p>A<strong> </strong>comatose 82-year-old woman is brought to the emergency department. Her husband reports that after dinner she began to...
04/27/2011